亲测北京劲松口腔舌侧矫正,正规靠谱效果棒,收费合理性价比超高!

发布:2025-09-12 17:19:22 蘅芜

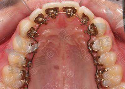
家人们,今天必须来给大家分享一下我在北京劲松口腔做舌侧矫正的亲身经历!我真的是亲测北京劲松口腔舌侧矫正,正规靠谱成效棒,收费合理性价比极高!以前我的牙齿那叫一个乱啊,参差不齐的,笑起来都不敢露牙,特别自卑。一直都想矫正牙齿,但是又怕传统的牙套太丑,影响美观,所以就一直拖着。后来偶然了解到了舌侧矫正,它是把矫治器安装在牙齿的舌侧面,从外面几乎看不出来,简直就是我的救星啊!在网上做了特别多功课,对比了好多家口腔医院,更终选择了北京劲松口腔。

舌侧矫正的过程初到北京劲松口腔

初到北京劲松口腔

我第一次去北京劲松口腔的时候,就被它的环境惊艳到了。整个医院装修得非常温馨舒适,一点都没有那种医院冷冰冰的感觉。前台的小姐姐特别热情,一进门就主动招呼我,帮我登记信息,还给我倒了水。等待的时候,还可以在休息区看看电视、翻翻杂志,感觉时间过得特别快。

特别快就轮到我看诊了,给我接诊的是一位经验多的正畸医生。医生先是仔细地询问了我的牙齿情况和矫正需求,然后给我做了全方面的口腔检查,包括拍X光片、取牙齿模型等。整个检查过程非常专精、细致,医生还一边检查一边给我讲解我的牙齿问题,让我对自己的牙齿情况有了更清楚的了解。

检查完之后,医生根据我的牙齿情况制定了详细的矫正方案。他给我介绍了舌侧矫正的原理、过程和优势,还给我看了特别多舌侧矫正的实例,让我对舌侧矫正有了更直观的认识。我听了医生的介绍后,觉得舌侧矫正真的特别适合我,就当场决定选择舌侧矫正。

舌侧矫正的过程

舌侧矫正的过程

确定好矫正方案后,就开始准备矫正了。首先是安装矫治器,这个过程大概花了一个多小时。医生的手法非常娴熟,动作特别轻柔,虽然在嘴里操作会有点不舒服,但是并没有想象中那么疼。安装好矫治器后,医生还耐心地教我如何清洁牙齿和矫治器,以及一些注意事项。

刚开始戴矫治器的时候,会有点不习惯,说话也会有点大舌头,牙齿还有点酸痛。但是这些不适症状在几天之后就慢慢消失了。在矫正过程中,我每隔一段时间就要去医院复诊一次,医生会根据牙齿的移动情况调整矫治器的力度。每次复诊,医生都会仔细地检查我的牙齿情况,还会和我沟通矫正的进展,让我心里特别踏实。

在北京劲松口腔做舌侧矫正,真的感受到了他们专精的服务。医院的护士小姐姐们也都特别贴心,每次复诊的时候都会提醒我注意事项,还会关心我的矫正感受。而且医院的环境也一直保持得特别干净整洁,让人感觉特别舒服。

矫正成效和费用

经过一段时间的矫正,我的牙齿真的有了明显的变化。原本参差不齐的牙齿变得越来越整齐了,笑起来也越来越自信了。现在我的矫正已经接近尾声了,牙齿基本上已经达到了我想要的成效,真的太开心了!

再来说说费用的问题,特别多人可能会觉得舌侧矫正会特别贵。其实在北京劲松口腔做舌侧矫正,收费是非常合理的。他们会根据每个人的牙齿情况和矫正方案来制定收费标准,不会存在乱收费的情况。而且和其他口腔医院相比,北京劲松口腔的性价比真的极高!他们的专精技术和优质服务,完全地对得起这个价格。

总结与建议

总的来说,我在北京劲松口腔做舌侧矫正的体验真的非常好。北京劲松口腔是一家十分正规靠谱的口腔医院,医生的专精水平高,服务态度好,环境也非常舒适。舌侧矫正的成效也让我非常满意,不仅让我的牙齿变得整齐美观,还没有影响到我的日常生活和工作。而且收费合理,性价比极高!

如果你也和我一样,有牙齿矫正的需求,又不想影响美观,那么我强烈推荐你选择北京劲松口腔的舌侧矫正。相信你也会和我一样,收获一口整齐漂亮的牙齿!如果你对北京劲松口腔舌侧矫正还有什么疑问,或者想了解更多的信息,欢迎随时询问哦!可以留下你的联系方式,会有专精的客服人员和你联系,为你解答疑问。赶紧行动起来吧,让自己也拥有自信的笑容!

下面我再给大家总结一下北京劲松口腔舌侧矫正的优势:

1. 专精的医生团队:医生经验多,技术不错,能够根据每个人的牙齿情况制定个性化的矫正方案。

2. 优质的服务:从就诊到矫正过程,都能感受到贴心的服务,让你没有后顾之忧。

3. 舒适的环境:医院装修温馨舒适,让你在轻松愉快的氛围中完成矫正。

4. 良好的矫正成效:舌侧矫正可以让牙齿在不知不觉中变得整齐美观,成效显著。

5. 合理的收费:收费透明合理,性价比高,让你花小钱办大事。

家人们,不要再犹豫了,赶紧去北京劲松口腔体验一下舌侧矫正吧!相信你一定会爱上它的!记得留下你的联系方式,开启你的牙齿矫正之旅哦!

 

评价(已有1人点评)

我在北京劲松口腔做舌侧矫正的体验真心不错!医生专业,服务热情,环境也很舒适。我的牙齿变化很明显,收费也合理,性价比高,强烈推荐!

2025-09-19 08:46:30

更多资讯

排行榜
惠州牙科医院排名前十:爱雅仕口腔门诊部拔牙项目值得信赖,专業优质服务尽显魅力
惠城区爱雅仕口腔门诊部惠州惠城区爱雅仕口腔门诊部是一家专注于口腔健康的连锁机构,作为惠州市健保定点单位,提供高性价比的口腔服务。在这里,拔牙项目备受关注,无论是因为蛀牙、牙齿拥挤,还是其他口腔问题,专業的牙医团队都会为您提供靠谱、舒适的拔牙体验。患者只需提前预约,诊所的热情工作人员将会在您到达之前进...
江西牙科医院排名前十:哪家更杰出?景德镇美阳口腔门诊部的牙齿美白项目令人惊艳!
景德镇美阳口腔门诊部美阳口腔位于江西省景德镇,是一家经过市卫生局注册的专業口腔医疗机构,以其先进的设备和专業的医生团队在当地及周边地区享有盛誉。该诊所不仅专注于口腔种植、口腔正畸和牙齿美容修复,还齐全开展口腔身体科、口腔外科、儿童口腔及口腔影像等多项服务。其中,牙齿美白项目尤为突出,通过先进的美白技术...
西安地区牙科医院排名前十,哪家更胜一筹?西安小白兔口腔(口腔正畸中心)洗牙项目值得信赖,专業高效率!
小白兔口腔(口腔正畸中心)西安小白兔口腔医院始终以提升普通民众的口腔健康为己任,致力于提供高品质的牙科服务。医院在西安、咸阳、宝鸡、安康、渭南、延安及乌鲁木齐等地设立了超过30家口腔医疗机构,旨在为每位顾客带来多方位、全家人的专業口腔护理体验。其中,洗牙项目尤为重要,它不仅能够有效去除牙齿表面的牙结...
武汉地区牙科医院排名前十,武汉大众口腔(盘龙城门诊)牙齿矫正项目值得信赖的选择!
大众口腔(盘龙城门诊)武汉黄陂区新添了一家专業的口腔门诊,2020年12月28日,武汉大众口腔盘龙城门诊隆重开业。这是大众口腔连锁的第67家医疗机构,标志着其在口腔健康领域的进一步拓展。门诊提供多种口腔服务,尤其在牙齿矫正项目上,拥有先进的技术和设备,能够为各年龄段的患者量身定制个性化的矫正方案。无...
太原地区牙科医院排名前十,哪家更具实力?太原达美门诊绿地口腔诊所全瓷牙项目值得信赖的选择!
达美门诊绿地口腔诊所太原达美门诊绿地口腔诊所自2017年成立以来,凭借其专業的医疗团队和先进的设备,快速成为太原市晋源区备受信赖的口腔医疗机构。该诊所经过太原市晋源区行政审批服务管理局的正式批准,位于交通便利的太原市晋源区新晋祠路300号绿地世纪城小区5期24幢1007商铺。特别值得一提的是,诊所主...
秦皇岛牙科医院排名前十,蓝天口腔全瓷牙项目助您焕发自信魅力!
蓝天口腔秦皇岛蓝天口腔,作为一家拥有15年历史的专業口腔医疗机构,经过很多国家卫生部门的严格审批,具备了正规的执业资格。多年来,蓝天口腔成功为数十万热爱牙齿的客户提供了个性化的齐全诊疗方案,逐渐发展成为国内颇具影响力和竞争力的口腔。在众多服务项目中,全瓷牙的治疗尤为突出。全瓷牙不仅具备优异的美观性和...
兰州地区牙科医院排名前十,哪家更出色?兰州牙王国数字化口腔门诊部活动义齿项目火热进行中,值得信赖的选择!
牙王国数字化口腔门诊部牙王国数字化口腔门诊部(原兰州市口腔医院分门诊部)专注于数字化口腔医疗的发展,致力于为患者提供高品质的口腔护理服务。我们引入了国内外先进的数字化口腔医疗设备,开展各类高、精、尖的临床诊疗技术。其中,活动义齿项目尤为突出,采用新的数字化设计和制作工艺,确保每一位患者都能获得舒适...
徐州牙科医院排名前十,诺恩口腔门诊部牙齿美白项目结果杰出,值得信赖的选择
诺恩口腔门诊部医院简介: 诺恩口腔是徐州本地一家有名的齿科医疗机构,自成立以来,一直致力于为广大牙友提供健康、舒适且美观的就诊体验。医院拥有先进的医疗设备和专業的医疗团队,确保每位患者都能享受到高质量的口腔护理服务。特别是在牙齿美白项目上,诺恩口腔采用先进的技术和材料,能够有效改善牙齿颜色,让...
杭州牙科医院排名前十,哪家优质?亮贝美口腔医院洗牙项目值得信赖,服务!
亮贝美口腔医院杭州亮贝美口腔医院是一所专業的口腔医疗机构,致力于为患者提供高品质的口腔服务。医院不仅开展数字化更准即刻种植、微创种植、成人及儿童牙齿矫正等多项先进治疗项目,还特别注重口腔健康的预防。洗牙作为医院的重要项目之一,旨在通过科学的清洁手段,去除牙齿表面的牙石和菌斑,帮助患者维护良好的口腔卫...
邯郸地区牙科医院排名前十,哪家更不错?邯郸正植口腔门诊部牙齿美白项目结果显著,值得信赖!
正植口腔门诊部正植口腔是一家化的专業口腔连锁机构,位于邯郸,是当地数字化口腔服务的先锋。作为我国口腔医学会的会员单位,我们同时也是市城镇职工健保的定点医疗机构。我们提供多样化的服务项目,包括牙齿美容中心、牙齿美白中心、牙齿种植中心、牙齿矫正中心以及儿童牙齿中心等。在众多项目中,牙齿美白尤为突出。...
青岛地区牙科医院排名前十,青岛伊美尔国宾整形外科医院口腔门诊部牙齿美白项目结果显著,值得信赖的选择
伊美尔国宾整形外科医院口腔门诊部青岛伊美尔国宾整形外科医院是伊美尔集团在青岛的直属机构,经过青岛市政府的严格审核,成为了当地一所特色专科医院。为了满足岛城爱美人士的多样化需求,医院提供齐全、优质的整形美容服务。其中,牙齿美白项目尤为受到关注。该项目采用先进的技术和设备,能够有效去除牙齿表面的污渍和...
江苏地区牙科医院排名前十:哪家更值得信赖?南京康美口腔中心拔牙项目专業高效率,服务优质!
南京康美口腔中心江苏南京康美口腔成立于2018年,隶属于实力雄厚的江苏康美医疗集团,致力于提供专業的齿科服务。该口腔中心在医师、技术和设备方面经过严格筛选,确保每位患者都能享受到高标准的医疗体验。在众多项目中,拔牙服务尤为突出。康美口腔采用先进的拔牙技术,配备专業的医师团队,确保手术过程靠谱、快速且...
江苏地区牙科医院排名前十,哪家更胜一筹?盐城通植口腔专業承接地包天项目,服务优质,口碑杰出!
盐城通植口腔盐城通植口腔门诊自2018年07月18日成立以来,致力于为广大患者提供优质的口腔医疗服务。位于盐城市豪德商务南广场的门诊,拥有现代化的设施和专業的医疗团队。法定代表人刘旭东带领着这支不错的团队,注册资本达到800万,确保了医疗服务的高标准。在众多项目中,地包天矫正治疗尤为引人注目。该项目...
宁波牙科医院排名前十,徐茂口腔门诊部烤瓷牙项目杰出表现!
徐茂口腔门诊部宁波徐茂口腔门诊部,坐落于宁波市鄞州区邱隘镇德厚街72号,是由拥有二十年丰富临床经验的徐茂主丨任倾心创办的。自开业以来,门诊部始终坚持“患者至上”的服务理念,致力于为广大市民提供专業、优质的口腔医疗服务。在众多项目中,烤瓷牙修复技术尤为突出,凭借其自然美观、耐磨性强及良好的生物相容性,深...
重庆地区牙科医院排名前十,重庆美莱口腔门诊部烤瓷牙项目值得信赖的选择!
美莱口腔门诊部重庆美莱口腔门诊部是美莱集团旗下的一家专業口腔医疗机构,自2018年在重庆落户以来,得到了重庆市江北区卫生健康委员会的正式批准,成为了当地居民信赖的口腔医疗服务中心。门诊部设有590平米的宽敞环境,提供舒适的就医体验。特别值得一提的是,烤瓷牙项目作为美莱口腔科室的重点服务之一,采用先进...
青岛地区牙科医院排名前十,青岛维乐口腔医院(保利分院)全瓷牙项目值得信赖的选择!
维乐口腔医院(保利分院)青岛维乐口腔医院作为青岛市健保定点单位,隶属于有名口腔医疗连锁美维乐医疗管理有限公司,致力于提供高品质的口腔医疗服务。医院不仅涵盖口腔保健、预防和治疗,还特别注重全瓷牙项目的推广与应用。全瓷牙因其优异的美观性和生物相容性,成为众多患者的优先选择。医院拥有专業的牙齿矫正、种植、...
兰州地区牙科医院排名前十:哪家更值得信赖?兰州牙王国数字化口腔门诊部全瓷牙项目,专業且先进!
牙王国数字化口腔门诊部牙王国数字化口腔门诊部,前身为兰州市口腔医院分门诊部,专注于数字化口腔医疗的创新与发展。我们引入了国内外先进的数字化口腔设备,致力于提升患者的就医体验。在众多项目中,全瓷牙技术尤为突出。全瓷牙不仅具备优异的美观性,能够良好还原自然牙齿的色泽和形态,还具备良好的生物相容性,确保...
哈尔滨地区牙科医院排名前十,优诺博士口腔门诊种植牙项目杰出非凡!
优诺博士口腔门诊哈尔滨优诺口腔自2017年5月进入哈尔滨市场以来,快速发展成为一家大型连锁口腔齿科机构,目前在文昌、哈西、群力和爱建等地设有四家分院。医院设有多个专業中心,其中种植中心尤为突出,专注于为患者提供高品质的种植牙服务。种植牙不仅能有效恢复缺失牙齿的功能,还能改善口腔美观,提升患者的自信心...
河南地区牙科医院排名前十,哪家更优质?新乡益尔口腔门诊部补牙项目值得信赖,专業可靠!
新乡益尔口腔门诊部新乡益尔口腔医院,作为新乡牧野区一家享有盛誉的口腔专科医疗机构,自1998年成立以来,已经走过了24个春秋。医院位于新乡北侧,交通十分便利,周围环境优雅,患者来院就诊非常方便,门前设有宽敞的停车场,确保患者能够轻松停车。尤其在补牙项目上,新乡益尔口腔凭借先进的技术和专業的团队,为每...
银川地区牙科医院排名前十,瑞德口腔诊所补牙项目值得信赖的选择
瑞德口腔诊所银川高新技术开发区瑞德口腔诊所坐落于银川市金凤区大连路,拥有超过300平米的宽敞经营空间,致力于为患者提供齐全的口腔护理服务。诊所不仅提供各种高中低档的烤瓷牙、全瓷牙和种植牙,还特别注重补牙项目的专業服务。我们的补牙技术先进,能够有效修复因龋齿或其他问题导致的牙齿缺损,恢复牙齿的功能与美...
重庆地区牙科医院排名前十,团圆口腔医院种植牙项目值得信赖,专業高效率!
团圆口腔医院重庆团圆口腔医院是一家集“预约诊疗、终身口腔顾问、口腔健康公益”等多重功能于一体的专業口腔医疗机构,致力于为患者提供高品质的口腔服务。在众多项目中,种植牙作为医院的重点特色之一,凭借先进的技术和丰富的经验,受到广泛好评。种植牙不仅能有效恢复缺失牙齿的功能,还能提升患者的美观和自信。医院配...
昆山牙科医院排名前十:哪家更不错?昆山鲸华口腔门诊部地包天项目值得信赖的选择!
鲸华口腔门诊部昆山鲸华口腔是一家在当地享有良好声誉的口腔医疗机构,提供多种专業的口腔服务,包括种植牙、牙齿矫正、牙齿美白、儿童牙科以及补牙等。特别值得一提的是,针对“地包天”这一常见的牙齿畸形问题,鲸华口腔拥有先进的矫正技术和经验很丰富的医师团队,能够为患者制定个性化的治疗方案。通过“一站式”的诊疗服...
乌鲁木齐地区牙科医院排名前十,哪家更不错?乌鲁木齐美奥口腔医院烤瓷牙项目,专業可靠!
美奥口腔医院乌鲁木齐美奥口腔医院作为美奥口腔集团的连锁,自2013年进驻新疆乌鲁木齐市以来,始终致力于为当地居民提供优质的口腔医疗服务。坐落于天山区光明路58号金碧华府B座的美奥口腔,借助东南沿海及先进的口腔医疗技术,为市民的口腔健康提供有力确保。其中,烤瓷牙项目尤为突出,采用高品质材料与先...
福州牙科医院排名前十,哪家更优?探秘福州牙立方松鼠口腔的牙齿美白项目,结果显著!
牙立方松鼠口腔2019年6月22日,牙立方松鼠口腔连锁机构正式落户福州,坐落于福州市晋安区。自成立以来,牙立方松鼠口腔始终致力于构建“全数字化、全信息化”的口腔医疗服务体系。其独特的“一患一医一诊疗”服务模式,使得患者能够享受到个性化的医疗体验。机构设立了六大就诊中心,提供包括牙齿美白在内的多种高科...
河南地区牙科医院排名前十,焦作军美口腔门诊部牙齿美白项目结果显著,值得信赖的选择!
焦作军美口腔门诊部河南省焦作市山阳区的少军口腔门诊,现已更名为军美口腔门诊部,自1990年成立以来,致力于为患者提供齐全的口腔健康服务。这家经过卫生局批准的正规口腔医疗机构,汇聚了专業的医疗团队,专注于口腔疾病的诊疗、预防及恢复。特别是在牙齿美白项目方面,军美口腔门诊部采用先进的技术和设备,帮助患者...
银川地区牙科医院排名前十,瑞德口腔诊所牙齿美白项目结果显著,值得信赖的选择!
瑞德口腔诊所银川高新技术开发区瑞德口腔诊所坐落于银川市金凤区大连路,诊所的营业面积超过300平方米,环境优雅,设施齐全。这里专注于提供各类口腔服务,涵盖高中低档的烤瓷牙、全瓷牙、种植牙等项目。在众多服务中,冷光美白项目尤为突出,采用先进技术,能够有效去除牙齿表面的污渍,恢复牙齿的自然光泽。无论是希望...
中山地区牙科医院排名前十,哪家更值得信赖?中山好民生口腔门诊部牙齿矫正项目杰出表现!
好民生口腔门诊部中山好民生口腔门诊部自2017年05月19日成立以来,已发展成为中山地区规模较大的口腔医疗机构之一。门诊部坐落于中山市石岐区民生大厦,整体占地面积达到1200平米,环境宽敞舒适。作为一家现代化专業口腔机构,我们提供多种服务,包括牙齿正畸、牙齿种植、牙齿修复、儿童牙科及基础口腔治疗等。...
天津地区牙科医院排名前十,平众大口腔门诊部种植牙项目值得信赖,专業可靠的选择!
和平众大口腔门诊部天津和平众大口腔门诊部是一家经过和平区卫生局正式批准的专業口腔医疗机构,拥有超过900平方米的设施,地理位置优越,乘坐地铁2号线即可轻松抵达。门诊部特别注重种植牙项目,引进了多个有名,包括韩国的登腾、瑞典的诺贝尔、以色列的科特斯以及德国的CAMLOG等。这些在种植牙领域...
广州地区牙科医院排名前十,哪家更不错?广州好大夫口腔门诊部活动义齿项目带来惊喜体验!
好大夫口腔门诊部广州好大夫口腔门诊部自2015年成立以来,始终坚持“医者仁心,大医精诚”的理念,致力于为广州市民提供优质的口腔医疗服务。在众多项目中,活动义齿作为一项重要服务,得到了患者的广泛认可。我们拥有专業的医疗团队,采用先进的技术和设备,为需要义齿修复的患者提供个性化的解决方案。活动义齿不仅能...
四川地区牙科医院排名前十,西昌牙博士口腔门诊部牙齿美白项目结果显著,值得信赖!
西昌牙博士口腔门诊部西昌牙博士口腔作为JCI认证的齿科连锁,位于四川西昌,是一家现代化的数字化口腔专科机构。该机构不仅致力于服务于凉山地区,还辐射至攀西,为广大市民提供齐全的口腔医疗解决方案。在众多服务项目中,牙齿美白尤为受到关注。通过先进的技术和专業的医疗团队,牙博士口腔为客户提供靠谱有效的牙...
威海地区牙科医院排名前十,德韩牙博仕口腔医院根管治疗项目杰出表现
德韩牙博仕口腔医院德韩口腔连锁集团凭借诚嘉集团17年的行业经验,已在国内20个城市开设了30余家医疗机构。作为一家跨国口腔医疗机构,德韩口腔不仅拥有中、美、德、意、韩、新等国的资源,更是在中、韩、美三国同时设有实体医院。自2018年8月22日成立以来,德韩口腔不断深化根管治疗项目的专業化服务。根...
哈尔滨牙科医院排名前十,优诺博士口腔门诊烤瓷牙项目值得信赖的选择!
优诺博士口腔门诊哈尔滨优诺口腔作为一家有名的大型连锁口腔齿科,自2017年5月在哈尔滨落地以来,快速发展,现已在文昌、哈西、群力和爱建等地设立了四家分院。医院内设有多个专業中心,包括种植中心、正畸中心、美学口腔中心、口腔综合中心以及儿童口腔中心。其中,烤瓷牙项目尤为受到患者的青睐。该项目采用先进的技...
湖北牙科医院排名前十,品冠口腔门诊部烤瓷牙项目值得信赖的选择
十堰品冠口腔门诊部十堰品冠口腔自2018年成立以来,凭借其杰出的医疗服务和专業的团队,快速在口腔医疗领域赢得了良好的声誉。现有的北京路和东岳路两家门诊均位于市中心,方便患者就医。作为经市卫健委批准的现代化口腔医疗机构,品冠口腔特别注重烤瓷牙项目的开展。该项目采用先进的技术和材料,为患者提供高质量的烤...
江西地区牙科医院排名前十,哪家更胜一筹?景德镇美阳口腔门诊部牙齿美白项目,结果显著,值得信赖!
景德镇美阳口腔门诊部美阳口腔位于江西省景德镇,是由市卫生局注册的专業口腔医疗机构,以其先进的医疗设备和高质量的医生团队而享誉于当地及周边地区。该诊所不仅专注于口腔种植、正畸和牙齿美容修复,还齐全开展口腔身体科、外科、修复、儿童口腔、影像学检查及预防保健等服务。其中,牙齿美白项目尤为受到患者的青睐。通过...
重庆地区牙科医院排名前十,哪家更优?重庆维乐口腔门诊部拔牙项目专業可靠,值得信赖!
维乐口腔门诊部重庆维乐口腔是一家经过认证的专業口腔医疗机构,现已在国内范围内拓展至35个城市,拥有超过100家的连锁分院。自2016年至2017年,维乐口腔连续被北京、上海、广州等地的主流媒体评选为“年轻人喜爱的美牙矫正专科医院”。其中,拔牙项目尤为受到患者的关注与青睐。凭借先进的技术和专業的团队...
浙江地区牙科医院排名前十,宁波恒美口腔门诊部牙齿矫正项目值得信赖的选择!
宁波恒美口腔门诊部浙江宁波恒美口腔门诊部是一家经过宁波市卫生部门正式批准的专業口腔医疗机构,致力于为广大市民提供优质的口腔健康服务。作为宁波城镇口腔健保定点单位,恒美口腔在牙齿种植、牙齿美白以及儿童齿科等领域均有出色表现。然而,值得特别强调的是其牙齿矫正项目。该项目采用先进的矫正技术,结合个性化的治...
山西地区牙科医院排名前十,忻州和平口腔医院拔牙项目值得信赖,专業优质服务尽显魅力
忻州和平口腔医院山西忻州和平口腔医院自2015年成立以来,始终致力于为患者提供专業的口腔医疗服务,获得了忻州市行政审批服务管理局的正式认可。医院坐落于忻州市和平西街供水公司东楼门面房,地理位置便利,方便患者前来就诊。特别是在拔牙项目方面,和平口腔医院拥有先进的医疗设备和经验很丰富的专業团队,能够为每位...
呼和地区牙科医院排名前十,华医医疗美容·口腔医院种植牙项目杰出非凡
浩特华医医疗美容·口腔医院华医医疗美容·口腔医院是一家综合性的民营医疗机构,专注于口腔和医疗美容领域,位于内蒙古地区,规模庞大,项目丰富。医院在医师团队、先进设备、专業技术、优雅环境、贴心服务和高效率管理等六个方面都实现了化的标准。尤其是在种植牙项目上,华医医疗美容·口腔医院凭借其高超的技术和丰富...
海口地区牙科医院排名前十,龙华鼎点口腔诊所洗牙项目优质推荐,专業可靠!
龙华鼎点口腔诊所鼎点门诊部是一家经过当地相关部门严格审核的正规医疗机构,致力于为患者提供优质的口腔护理服务。院内设有多种专業项目,包括种植牙、牙齿矫正、牙齿美白、全瓷牙和烤瓷牙等。其中,洗牙项目尤为重要,能够有效去除牙齿表面的牙菌斑和牙石,预防口腔疾病,保持口腔健康。定期洗牙不仅能让您的牙齿更加洁白...
呼和浩特地区牙科医院排名前十,华医医疗美容·口腔医院洗牙项目杰出出众!
浩特华医医疗美容·口腔医院华医医疗美容·口腔医院是一家综合性的大型民营医疗机构,专注于口腔及医美领域,致力于为患者提供优质的医疗服务。作为内蒙古地区规模大、项目全的医疗美容机构之一,华医医院在洗牙项目上尤为突出。洗牙不仅能够有效清除牙齿表面的污垢和牙石,还能预防牙龈炎等口腔疾病。医院配备先进的洗...
青岛地区牙科医院排名前十,哈美江山丽城口腔门诊部补牙项目值得信赖,专業高效率!
哈美江山丽城口腔门诊部青岛黄岛哈美江山丽城口腔门诊部是经过胶南市卫生局严格审核批准成立的一家专業口腔医疗机构,坐落于青岛市黄岛区榕江路154号、1541号、156号。门诊部提供多种口腔医疗服务,包括牙体牙髓病、牙周病、口腔粘膜病、儿童口腔、口腔修复、口腔正畸以及口腔颌面等。其中,补牙项目尤为重要,...
广东地区牙科医院排名前十,哪家更胜一筹?中山康美口腔门诊部拔牙项目值得信赖,专業可靠!
中山康美口腔门诊部中山康美口腔门诊部是由广东省中山市工商行政管理局正式批准成立的现代化口腔医疗机构,隶属于国内有名的康美连锁口腔。作为一家专業的口腔直营店,门诊部提供多种口腔医疗服务,包括牙齿种植、牙齿矫正、牙齿美白、牙齿美学修复、儿童牙科以及口腔保健等项目。其中,拔牙项目尤为重要,针对各类牙齿...
长春地区牙科医院排名前十,超龙牙博士口腔门诊洗牙项目专業可靠,服务
超龙牙博士口腔门诊长春超龙牙博士口腔作为备受推崇的口腔医学,始终致力于将先进医学理念引入到本地。自2018年在春城盛大开业以来,牙博士以其杰出的齿科技术和服务质量赢得了广泛赞誉。特别是在洗牙项目上,牙博士采用了标准的操作流程,结合先进的设备和专業的团队,为每位患者提供靠谱、舒适的洗牙体验...
苏州牙科医院排名前十,昆山嘉庆口腔医院洗牙项目专業可靠,值得信赖的选择
昆山嘉庆口腔医院苏州昆山嘉庆口腔医院成立已有20年,是一家享有良好声誉的华夏二级口腔医疗机构。医院环境优雅,致力于为患者提供平价的医疗服务,成为省级健保指定认证单位。除了牙齿种植、矫正、美白、修复和牙周治疗等多项专業服务外,洗牙项目尤为受到患者的青睐。洗牙不仅能有效去除牙齿表面的牙垢和牙石,预防口腔...
乌鲁木齐地区牙科医院排名前十,海融口腔(铁路局门诊)根管治疗项目值得信赖的选择!
海融口腔(铁路局门诊)乌鲁木齐海融口腔铁路局门诊部,坐落于新市区北京中路51号,正对铁路局站,交通便利,设备先进,致力于为患者提供优质的口腔医疗服务。特别是在根管治疗项目上,门诊部采用现代化的治疗技术,能够有效解决牙齿疼痛和感染问题。我们的专業团队将以严谨的态度和细致的服务,为每位患者提供个性化的治...
沈阳牙科医院排名前十,哪家更值得信赖?探秘沈阳米兰口腔门诊部全瓷牙项目的杰出品质!
米兰口腔门诊部沈阳米兰口腔作为一家致力于提供“一站式牙科服务”的私人口腔会所,凭借其杰出的医疗水平,已经成为30余家所有地区500强企业及国内100强企业员工的口腔医疗定点机构。在沈阳,米兰口腔设有7家分店,内部设有六大专業诊疗中心,包括牙齿种植中心、牙齿矫正中心、牙齿美白中心、牙齿美容中心、儿童齿科中...
中山地区牙科医院排名前十,哪家更值得信赖?中山卡卡口腔门诊部全瓷牙项目,品质杰出,服务!
卡卡口腔门诊部广东中山卡卡口腔自2019年成立以来,作为历史悠久的卡卡旗下的分门诊,致力于为患者提供优质的口腔医疗服务。门诊面积近1000平方米,设有11张综合性治疗牙椅,配备独立的多功能会议室和消毒供应区,以及层流手术室和儿童口腔成长宣教区,智能挂号体验区更是提升了就诊便利性。特别是在全瓷牙项...
西安牙科医院排名前十,哪家更胜一筹?西安小白兔口腔(口腔正畸中心)拔牙项目值得信赖,专業且细致!
小白兔口腔(口腔正畸中心)西安小白兔口腔医院始终致力于为广大普通百姓提供优质的牙科医疗服务。随着在西安、咸阳、宝鸡、安康、渭南、延安及乌鲁木齐等地开设的30余家口腔医院和门诊,医院的影响力不断扩大。在众多口腔项目中,拔牙服务尤为突出。无论是因蛀牙、牙齿拥挤还是其他原因需要拔牙,我们的专業团队都能提供...
武汉牙科医院排名前十,武汉清华口腔门诊部(汉阳总院)牙齿美白项目结果显著,值得信赖的选择
清华口腔门诊部(汉阳总院)武汉清华阳光口腔自2005年成立以来,快速发展成为国内有名的大型连锁医疗,隶属于美维口腔医疗集团。作为一家医疗保险定点单位,清华阳光口腔在2017年与天亿集团建立了战略合作关系,共同投资管理15个口腔连锁,覆盖35座城市的160家门诊。为了提升医疗服务质量,清华阳光...
大连地区牙科医院排名前十,唯格口腔(桃园店)牙齿矫正项目备受推崇,专業值得信赖!
唯格口腔(桃园店)大连唯格口腔医院自2018年成立以来,始终致力于为患者提供高品质的口腔医疗服务。医院的创办人和管理团队均由口腔医疗领域的医生组成,确保医疗资源的有效整合。特别是在牙齿矫正项目上,唯格口腔引入了先进的技术和设备,确保每位患者都能获得个性化的治疗方案。医院拥有一支高质量的医师团队,成员...
常州牙科医院排名前十,哪家更胜一筹?常州美奥口腔门诊部牙齿美白项目值得信赖的选择!
美奥口腔门诊部常州美奥口腔门诊部位于常州历史悠久的青果巷,拥有超过2730平方米的宽敞空间,设有16间独立诊室和25台先进牙椅。作为美奥的一部分,常州美奥口腔始终坚持高品质的服务理念,致力于为每位顾客提供优质的口腔医疗体验。特别值得一提的是,门诊部的牙齿美白项目,采用先进的技术和靠谱有效的材料,...
常州牙科医院排名前十,北极星口腔医院种植牙项目值得信赖的选择
北极星口腔医院常州北极星口腔医院致力于口腔医学的深入研究与实践,提供多方位的治疗、服务与培训。医院特别注重种植牙项目,结合先进技术,为患者提供个性化的种植牙解决方案。通过专業的口腔种植团队,医院能够根据每位患者的口腔结构与需求,量身定制种植方案,确保种植结果自然、美观且持久。此外,医院还提供口腔...
福州牙科医院排名前十,哪家更胜一筹?福州格莱美医美口腔医院补牙项目值得信赖,专業可靠!
格莱美医美口腔医院福州格莱美医疗美容医院是一家经过福州市卫生局严格审核的大型连锁整形美容机构。其口腔医院坐落于福州的核心地带,周边商圈繁华,交通便利。医院设有10层独立的诊疗空间,提供优雅且私密的医疗环境,充分考虑患者的舒适感与隐私需求。特别是在补牙项目上,医院引入了先进的技术和设备,致力于为每位患...
贵州地区牙科医院排名前十:哪家更值得信赖?贵州利美康口腔美容外科医院(总部)烤瓷牙项目杰出品质,值得推荐!
利美康口腔美容外科医院(总部)贵州利美康医院(总部)自1991年成立以来,凭借其8760平方米的宽敞空间,成为贵州省卫生厅认可的初级专科医院。作为一家拥有4级手术难度资质的精品整形医院,利美康在整形领域享有盛誉,特别是在烤瓷牙项目上更是杰出突出。医院不仅是贵州省和贵阳市的健保定点单位,还获得了ISO...
苏州牙科医院排名前十,昆山益达口腔门诊部根管治疗项目专業杰出!
昆山益达口腔门诊部昆山益达口腔在儿童牙科、数字化口腔和口腔正畸领域展现出独特的优势,尤其在根管治疗项目上更是备受推崇。根管治疗是解决牙齿深层感染和疼痛的有效方法,昆山益达口腔凭借先进的设备和专業的医疗团队,为患者提供高效率、靠谱的治疗方案。医院注重患者的舒适体验,采用数字化技术更准定位病灶,确保每一位...
青岛牙科医院排名前十:哪家更出色?青岛艾诺口腔诊所根管治疗项目值得信赖的选择!
艾诺口腔诊所青岛艾诺口腔诊所自2019年成立以来,快速发展成为一家现代化高端连锁口腔医疗机构,目前在青岛设有两家分院。诊所下设矫正齿科、种植齿科、美学齿科、儿童齿科、牙周齿科及常规齿科六大科室,致力于满足不同顾客的多样化需求。其中,根管治疗项目尤为突出。该项目专注于解决牙髓炎及根尖周病等问题,通过专...
昆明牙科医院排名前十,昆明爱雅仕口腔医院洗牙项目专業可靠,服务优质!
爱雅仕口腔医院昆明爱雅仕口腔医院作为昆明市的二级口腔专科医院,凭借其专業的口腔形象和全数字化的医疗设施,致力于为患者提供高质量的口腔护理服务。医院不仅是健保定点单位,且全年无节假日营业,方便患者随时就诊。在近2000平方米的营业面积内,医院特别注重洗牙项目的开展。洗牙作为口腔健康的重要一环,能够...
江苏地区牙科医院排名前十,南京康美口腔中心义齿项目活动火热进行中,服务优质值得信赖!
南京康美口腔中心江苏南京康美口腔成立于2018年,隶属于江苏康美医疗集团,是一家专注于口腔健康的专業齿科中心。凭借集团强大的实力,康美口腔在医师、技术和设备方面进行了严格的筛选,确保为患者提供高质量的医疗服务。特别是在活动义齿项目上,康美口腔采用先进的材料和技术,致力于为患者打造舒适、自然的义齿体验...
无锡牙科医院排名前十,佳士洁口腔门诊部种植牙项目值得信赖,专業可靠!
佳士洁口腔门诊部无锡佳士洁口腔门诊部作为有名的口腔连锁,在当地设有两个分院,分别位于欧风街和太湖广场。该机构自2017年起连续两年被无锡电视台评选为“3•15诚信承单位”,并在2019年荣获国旅游小姐大赛(无锡赛区)官方指定的口腔美容和护理机构,赢得了良好的社会口碑。特别是在种植牙项目方面,佳士...
浙江地区牙科医院排名前十,宁波恒美口腔门诊部拔牙项目值得信赖,专業优质服务!
宁波恒美口腔门诊部浙江宁波恒美口腔门诊部是经过宁波市卫生部门正式批准的专業口腔医疗机构,作为宁波城镇口腔健保定点单位,拥有十年的历史,深受患者信赖。门诊部不仅提供牙齿种植、牙齿矫正、牙齿美白、牙齿美学修复和牙周治疗等多项服务,还特别重视拔牙项目。拔牙在口腔治疗中至关重要,尤其是在牙齿重损坏或感...
四川地区牙科医院排名前十:哪家更胜一筹?绵阳恒齿口腔门诊部根管治疗项目值得信赖的选择!
绵阳恒齿口腔门诊部四川绵阳恒齿口腔门诊部是经过绵阳市涪城区行政审批局批准的正规口腔医疗机构,拥有超过1200平方米的营业面积,设有多种口腔科室,提供齐全的口腔医疗服务。其中,根管治疗作为一项重要的治疗项目,旨在有效解决牙齿内部感染问题,挽救受损牙齿。门诊部配备先进的医疗设备和技术,医生团队经验很丰富,...
廊坊地区牙科医院排名前十,鹏飞口腔门诊部牙齿矫正项目杰出非凡!
鹏飞口腔门诊部鹏飞口腔是一家经过廊坊卫生局严格审核的正规牙科门诊,致力于为每位患者提供专業的口腔医疗服务。门诊内设有儿童口腔、口腔颌面及正畸等多个科室,其中牙齿矫正项目尤为突出。我们的正畸医生团队拥有丰富的临床经验,能够根据每位患者的具体情况制定个性化的矫正方案,帮助患者实现美丽的微笑。此外,门诊还...
杭州牙科医院排名前十,哪家更胜一筹?齐尔口腔门诊部牙齿矫正项目杰出非凡!
齐尔口腔门诊部齐尔口腔作为省市健保定点单位,健保报销范围广泛,让患者在享受优质口腔医疗服务的同时,能够省心省钱。诊所营业面积达到600平方米,配备15张德国进口高品质牙椅和15间独立诊室,确保每位患者都能获得舒适的就诊体验。特别是在牙齿矫正项目上,齐尔口腔致力于为每位患者提供个性化的矫正方案,采用先...
湖南地区牙科医院排名前十:哪家更值得信赖?湖南利尔口腔(岳麓区门诊部)根管治疗项目专業高效率,值得推荐!
利尔口腔(岳麓区门诊部)湖南利尔口腔作为一家有名的口腔连锁,致力于为顾客提供优质的口腔医疗服务。其技术支持主要源自美国,确保了医疗水平的化。除了牙齿种植、牙齿矫正、牙齿修复和洁牙等项目外,根管治疗也是其重要服务之一。根管治疗针对牙髓炎等问题,能够有效减轻疼痛,挽救受损牙齿。利尔口腔的专業团队...
江门牙科医院排名前十,蓬江松鼠口腔门诊部洗牙项目杰出,服务!
蓬江松鼠口腔门诊部江门松鼠口腔是一家经过江门市蓬江区卫生健康局认证的正规口腔医疗机构,面积约1000平方米。该机构不仅专注于牙齿种植、矫正、修复、补牙和拔牙等项目,还特别注重洗牙服务。洗牙是维护口腔健康的重要环节,能有效去除牙齿表面的牙石和菌斑,预防牙周疾病。江门松鼠口腔为顾客提供舒适、温馨的就诊环...
江门地区牙科医院排名前十,蓬江松鼠口腔门诊部牙齿美白项目结果显著,值得信赖的选择
蓬江松鼠口腔门诊部江门松鼠口腔作为经过江门市蓬江区卫生健康局正式批准的口腔医疗机构,拥有约1000平米的宽敞空间,致力于为广大顾客提供专業的口腔护理服务。在众多项目中,牙齿美白尤为突出。通过先进的技术和设备,松鼠口腔为顾客提供靠谱、高效率的美白方案,帮助他们恢复自信的笑容。无论是因饮食习惯还是生活方式...
中山地区牙科医院排名前十,香山口腔医院牙齿矫正项目值得信赖,专業优质服务让您安心
香山口腔医院中山香山口腔医院是一家获得认证的二级优等口腔专科医院,坐落于广东省中山市东明路32号15层2,医院总建筑面积超过3000平米。医院内设有多个先进的医疗中心,其中数字化种植牙中心和牙齿隐形矫正中心尤为突出。特别是在牙齿矫正项目上,医院采用了新的隐形矫正技术,旨在为每位患者提供舒适、美观...
东莞牙科医院排名前十:哪家更优质?东莞瑞华口腔医院根管治疗项目值得信赖!
瑞华口腔医院东莞瑞华口腔医院是一家经东莞市卫生健康局正式批准的专業口腔医疗机构,医院总面积超过2200平方米,设有20余张现代化牙椅,配备齐全的专業科室,致力于为每位顾客提供优质的口腔护理服务。特别是在根管治疗方面,医院拥有经验很丰富的牙科医生和先进的治疗设备,能够有效解决牙齿疼痛及炎症问题,帮助患者...
太原地区牙科医院排名前十,太原恒伦口腔门诊(茂业天地店)地包天项目结果显著,值得信赖!
恒伦口腔门诊(茂业天地店)太原恒伦口腔茂业天地店是恒伦口腔集团旗下的一家专業口腔门诊,致力于为患者提供齐全的口腔医疗服务。该门诊开设了口腔外科、牙齿种植、牙齿矫正、牙齿修复、牙周病治疗以及儿童牙科等多项服务。其中,地包天矫正项目尤为突出,针对这一常见的牙齿畸形问题,门诊拥有经验很丰富的专業医师团队,运...
江西地区牙科医院排名前十,辉煌口腔门诊部全瓷牙项目值得信赖与推荐!
南昌辉煌口腔门诊部南昌辉煌口腔是一所由江西省口腔医院的不错医师与国内外口腔医学医生共同创办的医疗机构,致力于成为所有地区有名的口腔连锁。该院提供多种口腔医疗服务,包括牙齿种植、牙齿矫正、牙齿修复等。其中,全瓷牙项目尤为突出,采用先进的材料与技术,能够实现自然美观的结果,良好贴合患者的牙齿形态,恢复其...
太原地区牙科医院排名前十,哪家更专業?太原恒伦口腔门诊(茂业天地店)根管治疗项目杰出表现!
恒伦口腔门诊(茂业天地店)太原恒伦口腔茂业天地店,隶属于恒伦口腔集团,是太原地区的一家知家族诊。该诊所提供多种专業的口腔医疗服务,包括口腔外科、牙齿矫正、牙齿修复、牙周病治疗、牙齿美容以及儿童牙科等。此外,根管治疗作为重要的牙科项目,旨在有效解决牙髓炎和根尖周病等问题,帮助患者减轻并保留自然牙齿...
厦门牙科医院排名前十,哪家更胜一筹?厦门麦芽口腔医院牙齿美白项目结果显著,值得信赖的选择!
麦芽口腔医院在厦门市医学学术与技术领军人物姚江武教丨授的指导下,厦门麦芽口腔医院组建了一支由博硕士医生组成的高质量口腔医疗团队。这支专業团队不仅具备前沿的口腔理论知识,还拥有丰富的临床经验,致力于为患者提供优质的口腔健康服务。特别是在牙齿美白项目方面,麦芽口腔医院采用先进的技术和设备,能够有效改善...
成都牙科医院排名前十:哪家更不错?探秘成都百龄康贝口腔诊所的牙齿美白项目,结果显著!
百龄康贝口腔诊所成都百龄康贝口腔诊所坐落于青羊区光华东三路389号,拥有近200平米的宽敞营业面积,设有4间独立的诊室。自2016年成立以来,经过相关部门的严格审核,已成为一家值得信赖的正规口腔专科诊所。在这里,我们特别注重牙齿美白项目,采用先进的技术和优质的材料,旨在为每位顾客提供亮丽、健康的笑容...
温州牙科医院排名前十,温州爱牙故事口腔门诊(巴黎大厦店)根管治疗项目结果显著,值得信赖的选择
爱牙故事口腔门诊(巴黎大厦店)温州爱牙故事口腔门诊自2012年成立以来,凭借其杰出的医疗服务和专業的技术,快速发展成为温州市民众信赖的口腔医疗机构。该门诊经过很多国家卫生健康委员会的批准,登记号为:PDY10097733030217D1522,现已成为温州市民营口腔医疗协会的秘书长单位及学术培训基地。特...
合肥牙科医院排名前十,哪家更优质?合肥壹加壹整形美容口腔医院拔牙项目值得信赖,专業高效率!
壹加壹整形美容口腔医院合肥院作为壹加壹医美全连锁的总院,提供多种医美服务,涵盖面部年轻化、眼部整形、鼻部整形、面部轮廓塑造、胸部整形、水光嫩肤、形体雕塑、吸脂瘦身、皮肤美容、毛发种植、口腔美容以及微整形等项目。在众多项目中,拔牙服务尤为重要。拔牙不仅是口腔美容的一部分,更是确保整体口腔健康的关键环节...
乌鲁木齐地区牙科医院排名前十,优佳贝口腔(经开万达店)地包天项目值得信赖,专業且高效率!
优佳贝口腔(经开万达店)乌鲁木齐优佳贝口腔(经开万达店)自2020年成立以来,作为优佳贝口腔的连锁分院,致力于为患者提供高品质的口腔医疗服务。诊所占地面积超过800平方米,设有12间独立诊室和2间儿童专用诊室,配备12张先进的牙椅,整体规模相对较大。其中,地包天矫正项目是我们重点推广的治疗项目之一。...
惠州牙科医院排名前十,哪家更值得信赖?惠州勤泰口腔门诊部烤瓷牙项目质量杰出,服务!
勤泰口腔门诊部勤泰口腔门诊部作为惠州地区健保认可的口腔医疗机构,致力于为患者提供齐全的口腔健康服务。我们专業开展牙齿种植、牙齿矫正、牙齿美容和牙齿美学修复等项目。其中,烤瓷牙作为一种高端的牙齿修复选择,因其自然美观和优越的耐磨性受到广泛欢迎。烤瓷牙不仅能有效改善牙齿的外观,还能恢复咀嚼功能,是追求美...
郑州地区牙科医院排名前十,齐白美口腔诊所地包天项目杰出表现,值得信赖的选择
(金水)齐白美口腔诊所郑州金水齐白美口腔自2021年成立以来,致力于提供齐全的口腔医疗服务。作为一家全科口腔诊所,医院以牙齿矫正、牙齿美白、儿童齿科及疑难智齿拔除等特色诊疗项目而有名。特别是在地包天的矫正项目上,医院拥有专業的技术团队和先进的设备,能够为患者提供个性化的治疗方案。医院的面积达到180...
常州牙科医院排名前十,北极星口腔医院义齿项目活动优惠,专業值得信赖!
北极星口腔医院常州北极星口腔医院致力于口腔医学的深入研究与齐全服务,提供专業的口腔治疗和培训。医院创新了一套专为国人量身打造的现代化医疗服务模式,涵盖了口腔种植、正畸、修复、治疗、保健及儿童齿科等多个领域。其中,活动义齿项目尤为突出,针对缺牙患者,医院提供个性化的义齿设计与制作,确保患者在功能和美观...
上海牙科医院排名前十,哪家更优质?上海雅洁口腔医院义齿项目活动火热进行中,值得信赖的选择!
雅洁口腔医院上海雅洁口腔医院,作为同济大学附属第十人民医院杨浦口腔分院,致力于为患者提供高质量的口腔医疗服务。医院设有多个专業科室,包括口腔正畸科、口腔种植科、口腔综合科、儿童齿科、牙周科、VIP特需门诊以及舒适洁牙科等。其中,活动义齿项目尤为突出,针对缺失牙齿的患者,提供个性化的义齿解决方案,帮助...
吉林地区牙科医院排名前十,延吉朗朗博士德口腔门诊部全瓷牙项目值得信赖的选择!
延吉朗朗博士德口腔门诊部医院介绍:朗朗口腔是一家拥有超过1000家牙科医疗连锁机构,覆盖24个省、市和自治区的有名牙科连锁。吉林省延吉朗朗博士德口腔门诊部作为其分支机构之一,前身为延边大学口腔医院,经过延吉市卫生健康局的审核,成为了一家正规的民营口腔机构。 该门诊部的面积达到1500平方米,空...
宁波地区牙科医院排名前十,哪家更优?宁波美呀植联口腔门诊部牙齿美白项目,助您绽放迷人笑容!
美呀植联口腔门诊部宁波美呀植联口腔门诊部经过宁波市鄞州区卫生健康局的正式批准,是一家值得信赖的口腔医疗机构。作为国内有名的连锁口腔之一,该门诊部以种植牙为主打项目,尤其擅长allon4、穿颧穿翼等复杂的种植技术。此外,门诊部还提供专業的牙齿美白服务,帮助顾客恢复自信的笑容。我们采用先进的美白...
呼和浩特牙科医院排名前十,华医医疗美容·口腔医院根管治疗项目杰出专業
浩特华医医疗美容·口腔医院华医医疗美容·口腔医院作为内蒙古地区先进的综合性民营医疗机构,融合了口腔与医美服务,致力于为患者提供高品质的医疗体验。医院在根管治疗项目上尤为突出,拥有先进的设备和专業的医疗团队,能够有效解决各种牙齿问题。根管治疗不仅能够缓解患者的疼痛,还能有效挽救受损的牙齿,恢复口腔健康...
烟台地区牙科医院排名前十,烟台圣贝口腔医院根管治疗项目杰出专業,值得信赖的选择
圣贝口腔医院烟台圣贝口腔医院始终秉持德国口腔医疗标准,致力于为患者提供杰出的口腔护理服务。医院设立了多个专業中心,包括“数字化种植中心”、“数字化正畸中心”、“数字化修复中心”、“综合诊疗中心”和“儿童齿科中心”。其中,根管治疗作为一项关键的牙齿修复项目,能够有效解决因龋齿、牙髓炎等引发的疼痛问题,...
青岛牙科医院排名前十,哪家更不错?青岛维乐口腔医院(保利分院)烤瓷牙项目值得信赖,专業高效率!
维乐口腔医院(保利分院)青岛维乐口腔医院作为青岛市健保定点单位,隶属于有名的美维乐医疗管理有限公司,致力于提供齐全的口腔健康服务。医院不仅涵盖口腔保健、预防及医疗,还特别注重烤瓷牙项目的推广与实施。烤瓷牙以其自然美观和优良的耐用性,成为了众多患者的优先选择。医院配备了先进的设备和专業的医疗团队,为每位患...
山东地区牙科医院排名前十,泰安雅美口腔门诊牙齿矫正项目值得信赖,专業高效率!
泰安雅美口腔门诊泰安市雅美口腔是一家经过泰安市卫生行政主管部门批准设立的综合性口腔专科机构。该机构由原泰安市人民医院口腔科主丨任赵传森于2009年创办,并且是健保定点单位,深受患者信赖。门诊位置优越,位于泰安市泰山区岱道庵路,紧邻东岳中学和泰安市住房公积金管理中心,交通十分便利。特别值得一提的是,雅美...
无锡地区牙科医院排名前十,贝壳口腔门诊部全瓷牙项目值得信赖的优选选择!
贝壳口腔门诊部贝壳口腔作为国内有名的连锁机构,在无锡、宜兴和湘潭等地均设有分院,其中无锡地区更是拥有六家分院。无锡贝壳口腔门诊部致力于提供齐全的口腔治疗、口腔保健服务,并积极传播口腔卫生知识。在众多项目中,全瓷牙修复尤为受到患者的青睐。全瓷牙以其优越的美观性和生物相容性,能够有效恢复牙齿的自然形...
天津地区牙科医院排名前十,南开爱齿口腔医院牙齿矫正项目值得信赖的选择!
南开爱齿口腔医院天津南开爱齿口腔医院作为国内有名的连锁口腔医疗机构,自1997年成立以来,一直致力于为患者提供高质量的口腔健康服务。在1993年举办的北京口腔植体研究会上,医院曾受到中央领导的亲切接见,彰显了其在行业中的影响力。爱齿口腔的服务项目丰富多样,涵盖了牙齿种植、牙齿修复、牙齿美白、牙周...
上海地区牙科医院排名前十,哪家更不错?上海文博口腔医院烤瓷牙项目值得信赖的选择!
文博口腔医院上海文博口腔医院,坐落于上海市青浦区盈港路499弄2号楼,拥有宽广的4000平方米的医疗空间,是一家专注于口腔健康的大型二级专科医院。作为上海市医疗中心口腔科及上海市牙防所(市口腔医院)的技术合作伙伴,医院在口腔治疗领域享有盛誉。特别是在烤瓷牙项目上,医院凭借先进的技术和专業的团队,...
潍坊地区牙科医院排名前十,张宏鹏口腔诊所补牙项目杰出品质解析
高新张宏鹏口腔诊所潍坊高新区张宏鹏口腔诊所自2019年4月25日成立以来,致力于为患者提供齐全的口腔健康服务。诊所的统一社会信用代码为92370700MA3PM3K86M,营业面积达到309平方米,属于中型口腔医疗机构。除了牙齿种植、矫正、牙周治疗、美容修复和洁牙等项目外,补牙服务尤为重要。补牙不仅...
洛阳地区牙科医院排名前十,九龙口腔门诊部(瀍河店)全瓷牙项目值得信赖的选择!
九龙口腔门诊部(瀍河店)洛阳九龙口腔门诊部作为洛阳地区较早成立的本土口腔连锁医疗机构,自2005年由郑淑敏博士创办以来,始终致力于为患者提供高质量的口腔医疗服务。经过多年的不断努力与创新,门诊部在全瓷牙项目上取得了显著的成就。全瓷牙以其优越的美观性和生物相容性,成为现代牙齿修复的热门选择。九龙口腔门...
长春牙科医院排名前十,哪家更优质?长春朝阳区欣雅口腔门诊部牙齿美白项目结果显著,值得信赖的选择!
朝阳区欣雅口腔门诊部欣雅口腔拥有十万例丰富的病例库,广泛覆盖长春及整个东北地区,致力于为每位患者提供优质的口腔医疗服务。其医疗团队由一群技艺娴熟、严谨治医的专業人士组成,确保每项治疗的靠谱与有效。在众多项目中,牙齿美白尤为引人注目。通过引进先进的美白技术,欣雅口腔能够帮助患者恢复牙齿的自然亮白,让笑...
潍坊地区牙科医院排名前十:哪家更胜一筹?潍坊高新张宏鹏口腔诊所全瓷牙项目,专業杰出,值得信赖!
高新张宏鹏口腔诊所潍坊高新区张宏鹏口腔诊所自2019年4月25日成立以来,致力于为患者提供优质的口腔医疗服务。诊所的统一社会信用代码为92370700MA3PM3K86M,营业面积达到309平米,属于中型口腔医疗机构。除了牙齿种植、矫正、牙周治疗、美容修复和洁牙等多项口腔服务外,特别值得一提的是,全...
福建地区牙科医院排名前十,福州维乐口腔门诊(台江中亭街店)牙齿美白项目结果显著,值得信赖的选择
福州维乐口腔门诊(台江中亭街店)福建维乐口腔专注于从预防出发,推动全民整体健康管理,致力于打造一个开放的“华夏口腔医疗平台”。作为一家连锁机构,福建维乐口腔在福州地区设有12家分店,其中台江中亭店位于台江路15号城投大厦的1楼及34楼。特别值得一提的是,维乐口腔提供专業的牙齿美白项目,通过先进的技...
呼和地区牙科医院排名前十,哪家更优质?呼和浩特华医医疗美容·口腔医院洗牙项目值得信赖,结果显著!
浩特华医医疗美容·口腔医院华医医疗美容·口腔医院是一家综合性的大型民营医疗机构,专注于口腔与医疗美容的结合,致力于为客户提供齐全的服务。作为内蒙古地区规模大、项目齐全的医疗美容机构之一,医院在医资力量、设备、技术、环境、服务和管理六大领域实现了高标准的接轨。其中,洗牙项目尤为突出,采用先进的洁牙...
廊坊地区牙科医院排名前十,哪家更胜一筹?固安牙卫士口腔门诊部洗牙项目值得信赖,服务贴心!
固安牙卫士口腔门诊部廊坊固安牙卫士口腔是牙卫士口腔连锁的一部分,遍布西安、台州、重庆、宝鸡、徐州、东莞、延安、邯郸、庆阳等多个城市,采用统一的管理和运营模式,集团成立已有十余年,积累了丰富的口腔医疗经验。在众多项目中,洗牙服务尤为受到患者的青睐。洗牙不仅能有效去除牙齿表面的牙垢和污渍,还能预防牙周疾...
广东地区牙科医院排名前十,东莞仁华口腔医院烤瓷牙项目值得信赖的优选!
东莞仁华口腔医院东莞仁华口腔医院,作为政府批准设立的二级口腔专科医疗机构,是东莞市仅有的三家口腔专科医院之一,拥有超过3000平米的正规诊疗区域。医院提供齐全的口腔服务,包括种植、正畸、儿牙、洁牙、修复等多项功能。而在众多项目中,烤瓷牙修复尤为突出。烤瓷牙以其自然美观、耐磨损及良好的生物相容性,成为...
云南地区牙科医院排名前十,昆明康倍口腔门诊部根管治疗项目值得信赖,专業高效率!
昆明康倍口腔门诊部云南昆明康倍口腔自2001年成立以来,始终秉持着“医者仁心、匠心精神”的信念,致力于为患者提供高质量的口腔医疗服务。在众多门诊项目中,根管治疗尤为重要。根管治疗是一种针对牙齿内部感染的专業技术,能够有效清除感染组织,保护牙齿的健康。通过这一治疗,患者不仅可以减轻,还能避免因牙齿...
洛阳牙科医院排名前十,拜尔口腔门诊洗牙项目值得信赖,专業优质服务!
拜尔口腔门诊拜尔口腔作为口腔行业的先锋,肩负着推动整个行业发展的重要使命。我们不仅要通过实际行动将“尽善尽美”的理念贯彻到底,还要发挥开拓者的精神,积极寻求创新与变革。在众多项目中,洗牙服务尤为重要,它不仅能有效清除牙齿上的牙垢和菌斑,还能预防口腔疾病的发生。拜尔口腔致力于将前沿的管理理念与医疗技...
徐州牙科医院排名前十,哪家更值得信赖?徐州诺恩口腔门诊部牙齿矫正项目结果显著,值得推荐!
诺恩口腔门诊部医院简介: 诺恩口腔是徐州地区一家享有盛誉的本土齿科医院,自成立以来,始终致力于为每一位牙友提供健康、舒适且美观的就诊环境。医院拥有先进的设备和技术,尤其在牙齿矫正方面,积累了丰富的经验和专業知识。我们的团队由多位资历高口腔医生组成,能够为患者量身定制个性化的矫正方案,帮助他们实现理想...
昆山牙科医院排名前十,哪家更优?昆山美奥口腔门诊部牙齿矫正项目值得信赖与专業!
美奥口腔门诊部昆山美奥口腔门诊部隶属于美奥口腔,这是一家在国内享有盛誉的大型口腔连锁机构。美奥口腔在19个主要城市设有近40家分支机构,所有分支均遵循统一的管理模式和运作流程,充分共享资源,从而形成强大的核心竞争力,赢得了广大顾客的信赖与好评。自2018年成立以来,昆山美奥口腔专注于提供高品质的...
武汉地区牙科医院排名前十,固德口腔门诊部补牙项目质量杰出,值得信赖!
固德口腔门诊部武汉固德口腔门诊部作为固德口腔集团的一部分,自2020年成立以来,致力于为患者提供高质量的口腔医疗服务。该门诊部不仅涵盖种植牙、牙周病治疗、隐形矫正、美学修复和牙齿美白等项目,还特别注重补牙技术的提升。补牙是修复龋齿的重要手段,能够有效恢复牙齿的功能和美观。门诊部配备先进的设备和专業的...
秦皇岛牙科医院排名前十,蓝天口腔种植牙项目值得信赖的优选之地!
蓝天口腔秦皇岛蓝天口腔是一家拥有15年建院历史的专業口腔医疗机构,经过很多国家卫生部门的严格审批,具备正规齿科的资质。多年来,该院成功为数十万爱牙人士提供了齐全且个性化的诊疗方案,树立了良好的口碑,成为国内颇具影响力和竞争力的口腔医疗机构。特别是在种植牙项目方面,蓝天口腔凭借先进的技术和专業的团队,...
青岛牙科医院排名前十,青岛牙博士口腔门诊部义齿项目活动火热进行中,品质杰出!
牙博士口腔门诊部牙博士口腔自2013年在青岛落地以来,快速发展,现已在青岛开设了六家分院,分别位于延安三路的台中店、城阳区、李沧区等地。牙博士口腔致力于为患者提供齐全的口腔健康服务,涵盖口腔种植、牙齿矫正、牙齿美容修复、综合齿科、儿童齿科等六大科室。其中,活动义齿项目尤为突出,专为缺牙患者设计,帮助...
佛山牙科医院排名前十,佛山美莱整形口腔医院洗牙项目杰出专業!
美莱整形口腔医院佛山美莱整形口腔医院作为美莱整形医院的独立科室,在29个城市设有专属机构,致力于为广大市民提供优质的口腔医疗服务。位于广东佛山禅城汾江南路季华园地铁站A出口,医院拥有超过万平米的宽敞诊疗空间,配备先进的医疗设备和技术。尤其在洗牙项目上,佛山美莱口腔医院注重为每位患者提供专業的洗牙服务...
云南牙科医院排名前十,哪家更不错?云南长鹏口腔连锁门诊部活动义齿项目火热进行中,值得信赖的选择!
长鹏口腔连锁门诊部云南长鹏口腔自2007年成立以来,经过13年的不断发展,已成为云南地区大的口腔连锁诊疗机构之一。我们致力于提供齐全的口腔健康服务,包括牙体病、牙髓病、牙根尖周病、牙周病等多种口腔疾病的治疗。在众多项目中,活动义齿的制作与修复尤为重要。我们采用先进的技术与优质的材料,为患者提供舒适...
乌鲁木齐地区牙科医院排名前十,洪志口腔门诊根管治疗项目专業可靠,值得信赖的选择
洪志口腔门诊乌鲁木齐洪志口腔门诊自2003年成立以来,凭借其专業的医疗服务和优质的患者体验,快速在口腔医疗领域赢得了良好的声誉。该门诊经新疆维吾尔自治区新市区卫生局批准,是一家正规的私立口腔医疗机构,坐落于乌鲁木齐市北京南路372号银通大厦一楼,交通十分便利。特别值得一提的是,洪志口腔门诊在根管治疗...
长春地区牙科医院排名前十,哪家更不错?长春超龙牙博士口腔门诊拔牙项目专業可靠,值得信赖的选择!
超龙牙博士口腔门诊长春超龙牙博士口腔作为备受赞誉的口腔医学,始终致力于与所有地区医学界进行深入对话。自2018年在春城盛大开业以来,牙博士不断传承牙科的娴熟技艺,秉持JCI认证理念,努力推动口腔医疗的标准化进程。特别是在拔牙项目上,牙博士拥有一支经验很丰富的专業团队,采用先进的技术和设备,为患者提...
山东地区牙科医院排名前十:日照凯思口腔根管治疗项目值得信赖的优质选择
日照凯思口腔山东日照凯思口腔门诊部自2000年成立以来,专注于口腔健康,尤其在牙齿矫正领域享有盛誉。门诊部占地约430平方米,作为市健保定点单位,为更多患者提供优质服务。创办人周茂强医生是国内有名的矫正医生,同时也是诺贝正畸教育的领军人物。除了牙齿矫正,门诊部还特别注重根管治疗项目,致力于为患者提供...
惠州牙科医院排名前十,爱雅仕口腔门诊部全瓷牙项目值得信赖的优选选择!
惠城区爱雅仕口腔门诊部惠州惠城区爱雅仕口腔门诊部是一家专注于口腔健康的连锁机构,作为惠州市健保定点单位,其服务质量备受认可。在众多口腔诊所中,爱雅仕以其高性价比而脱颖而出,成为患者的优选之地。特别是在全瓷牙项目方面,爱雅仕口腔采用先进的技术和优质的材料,为患者提供自然美观且耐用的全瓷牙修复方案。无论...
金华地区牙科医院排名前十,华康口腔医院补牙项目杰出无比,值得信赖的选择!
华康口腔医院金华华康口腔医院作为一家正规的二级口腔专科医院,致力于为患者提供高质量的口腔医疗服务。医院不仅是金华市医疗保险的定点单位,还被评为市价格信得过单位及市口腔协会的常务理事单位,充分体现了其专業性和可信赖性。补牙项目是医院的特色服务之一,采用先进的材料和技术,确保患者在舒适的环境中得到很不错的...
广东地区牙科医院排名前十:潮州极至口腔医院烤瓷牙项目值得信赖的优质选择
潮州极至口腔医院广东潮州极至口腔医院由潮州极至医疗投资管理有限公司全力打造,是潮州地区一家二级专科口腔医院。该院专注于多个领域的口腔医疗服务,尤其在烤瓷牙项目上具备显著优势。烤瓷牙以其自然美观、耐磨性强和良好的生物相容性,成为众多患者修复牙齿的优选方案。医院的专業团队运用先进的技术和设备,为每位客户...
广西地区牙科医院排名前十:百色唯美口腔门诊部牙齿美白项目,专業可靠的选择!
百色唯美口腔门诊部广西百色市的唯美口腔门诊,亦被称为百色右江唯美口腔,自2019年创立以来,致力于为每位顾客提供专業的口腔护理服务。门诊拥有480平方米的宽敞营业面积,设有6张舒适的牙床和7名注册医生,确保患者享受到高效率、优质的医疗体验。在众多口腔护理项目中,牙齿美白尤为受到顾客的青睐。通过先进的美...
山东地区牙科医院排名前十:青岛牙博士口腔(延安三路门诊)牙齿美白项目值得信赖的选择!
青岛牙博士口腔(延安三路门诊)牙博士口腔连锁自2013年在山东青岛落地以来,快速发展至拥有6家门诊,其中位于市北区延安三路116号金环大厦的医院规模大。牙博士口腔配备了多项先进设备,包括专業的牙科治疗仪、3D口腔扫描仪、双激光治疗仪以及全景口腔仪等,确保为每位患者提供高质量的口腔服务。特别是在牙齿...
浙江地区牙科医院排名前十,名禾口腔门诊部牙齿美白项目结果显著,值得信赖的选择
丽水名禾口腔门诊部浙江丽水名禾口腔门诊部作为政策扶持的口腔医疗机构,致力于为患者提供优质的牙科服务。门诊部与宁波牙科产业园共享丰富的牙科病例与资料,拥有一支由国内外资质医生组成的专業团队,开展多种口腔治疗项目。其中,牙齿美白项目尤为突出,采用先进的美白技术和设备,帮助患者恢复自信的笑容。无论是牙齿种...
广州牙科医院排名前十,哪家更值得信赖?全家福口腔门诊部的烤瓷牙项目,专業又贴心!
全家福口腔门诊部广州全家福口腔医院拥有强大的医疗实力,汇聚了众多国内有名的口腔医学医生。医院采用国内先进的牙科技术,致力于为患者提供高品质的牙科诊疗服务。特别是在烤瓷牙项目方面,医院引进了先进的材料和设备,确保每一位患者都能享受到靠谱、舒适的治疗体验。烤瓷牙不仅美观自然,还具有优良的耐磨性和生物相容...
郑州地区牙科医院排名前十,哪家更胜一筹?郑州植得口腔医院(金水总院)专業承接地包天项目,值得信赖的选择!
植得口腔医院(金水总院)郑州植得口腔医院是一家二级专科医院,拥有多个分院,覆盖国内13家门店,其中郑州金水路的总院位于金水区金水路276号。医院提供多项先进的口腔医疗服务,包括3D导板种植、前牙美学种植、即刻种植及Allon4半口种植等。此外,医院还提供全隐形矫正、半隐形矫正、自锁托槽矫正及...
南昌牙科医院排名前十,德韩口腔门诊部义齿项目活动火热进行中,专業值得信赖!
德韩口腔门诊部南昌德韩口腔门诊部作为一家有名的口腔连锁机构,源自德韩,致力于为患者提供先进的口腔医疗服务。我们引入了所有地区先进的医疗科技和成熟的诊疗模式,涵盖了口腔身体科、口腔外科、口腔正畸、口腔种植及口腔修复等多个专業领域。其中,活动义齿项目尤为突出,专为缺失牙齿的患者设计,旨在恢复口腔功能与美观...
江西地区牙科医院排名前十,哪家更不错?景德镇美阳口腔门诊部牙齿矫正项目值得信赖!
景德镇美阳口腔门诊部美阳口腔位于江西景德镇,是市卫生局正式注册的口腔医疗机构,以其先进的设备和专業的医生团队在当地及周边地区享有盛誉。该诊所不仅专注于口腔种植和牙齿美容修复,更以口腔正畸项目为特色,致力于为每位患者提供个性化的牙齿矫正方案。无论是成人还是儿童,专業的口腔正畸医生都会根据患者的具体需求...
郑州牙科医院排名前十,哪家更优质?郑州集美整形口腔医院拔牙项目值得信赖,专業可靠!
集美整形口腔医院郑州集美口腔作为郑州集美美容医院的一个重要分支,专注于高端口腔美容服务,尤其在拔牙项目上积累了丰富的经验。多年来,医院致力于为顾客提供专業、舒适的拔牙体验,确保每位患者在治疗过程中感受到关怀与靠谱。凭借先进的医疗设备和技术,集美口腔的拔牙服务不仅高效率,还能大程度减少患者的不适感。无...
河南牙科医院排名前十:哪家更出色?新乡益尔口腔门诊部拔牙项目值得信赖,专業可靠!
新乡益尔口腔门诊部新乡益尔口腔作为新乡牧野区内一家专業的口腔医疗机构,自1998年成立以来,已经拥有了24年的丰富经验。医院位于新乡的北部,周围交通十分便利,方便患者前来就诊。此外,医院门前设有停车场,停车十分便捷,确保患者无后顾之忧。特别是在拔牙项目方面,新乡益尔口腔拥有一支经验很丰富的专業团队,能...
青岛地区牙科医院排名前十,青岛艾诺口腔诊所烤瓷牙项目值得信赖的选择
艾诺口腔诊所青岛艾诺口腔诊所是一家致力于提供高品质口腔医疗服务的现代化高端连锁机构,自2019年成立以来,已在青岛开设了两家诊所。诊所设有矫正齿科、种植齿科、美学齿科、儿童齿科、牙周齿科及常规齿科六大科室,能够齐全满足顾客的多样化需求。其中,烤瓷牙项目尤为突出,采用先进的技术与优质的材料,为患者提供...
厦门牙科医院排名前十,哪家更胜一筹?厦门峰煜口腔门诊部牙齿矫正项目值得信赖,专業可靠!
峰煜口腔门诊部厦门峰煜口腔门诊部,经过19年的不断努力与发展,已经成为厦门地区口腔医疗的佼佼者。作为一家专業的医疗机构,峰煜口腔致力于提供高品质的牙齿矫正服务,帮助患者实现理想的笑容。门诊部拥有一支经验很丰富的专業团队,运用先进的技术和设备,为每位患者量身定制个性化的矫正方案。无论是传统的金属托槽还是...
哈尔滨地区牙科医院排名前十,优诺博士口腔门诊地包天项目值得信赖,专業优质服务!
优诺博士口腔门诊哈尔滨优诺口腔作为一家有名的大型连锁口腔齿科,自2017年5月扎根于哈尔滨以来,现已在文昌、哈西、群力和爱建等地开设了四家专業机构。院内设有多个功能齐全的中心,包括种植中心、正畸中心、美学口腔中心、口腔综合中心以及儿童口腔中心等,致力于为患者提供齐全的口腔健康服务。其中,地包天项目尤...
四川地区牙科医院排名前十,眉山市现代口腔门诊部根管治疗项目值得信赖,专業高效率!
眉山市现代口腔门诊部四川眉山现代口腔门诊部位于风景如画的东坡湖畔,环境优雅,设施齐全,医疗技术娴熟。我们致力于为患者提供高效率的口腔保健服务,特别是在根管治疗方面,凭借先进的设备和专業的医疗团队,为每一位患者提供靠谱、卫生、舒适的治疗体验。我们的医生团队经过严格培训,能够更准诊断和治疗各种牙齿问题,确...
温州牙科医院排名前十,温州爱牙故事口腔门诊(巴黎大厦店)牙齿美白项目结果显著,尽显魅力与自信!
爱牙故事口腔门诊(巴黎大厦店)温州爱牙故事口腔门诊自2012年成立以来,凭借其杰出的医疗服务获得了国卫生健康委员会的正式批准,登记号为:PDY10097733030217D1522。作为温州市民营口腔医疗协会的秘书长单位及学术培训基地,爱牙故事口腔致力于为市民提供专業的口腔护理服务。目前在温州设有三...
深圳牙科医院排名前十,哪家更值得信赖?深圳拜尔口腔门诊部活动义齿项目,品质杰出!
拜尔口腔门诊部深圳市拜尔口腔门诊部作为一家先进的口腔连锁机构,始终致力于高端医疗改革的先锋。凭借对口腔行业的深厚专注和专業精神,拜尔口腔在技术和医德方面赢得了广大患者的信赖与好评。特别是在活动义齿项目上,拜尔口腔不断创新,提供个性化的解决方案,以满足不同患者的需求。通过先进的技术和优质的服务,拜尔口...
长春地区牙科医院排名前十,长春环球口腔医院地包天项目杰出表现,值得信赖的选择
环球口腔医院环球口腔作为吉林省内有名的高端口腔医院,致力于为患者提供杰出的数字化口腔诊疗服务。医院的就诊面积达到1300平方米,环境优雅舒适,配备先进的医疗设备。特别是在地包天矫治项目方面,环球口腔拥有丰富的临床经验与专業技术。该项目针对儿童和青少年的牙齿畸形问题,采用科学的矫正方案,帮助患者恢...
广州地区牙科医院排名前十,哪家更值得信赖?广州好大夫口腔门诊部拔牙项目专業可靠,服务优质!
好大夫口腔门诊部广州好大夫口腔门诊部自2015年成立以来,始终坚持“医者仁心,大医精诚”的理念,致力于为广州市民提供优质的口腔医疗服务。在众多口腔项目中,拔牙服务尤为突出。我们拥有经验很丰富的专業团队,采用先进的技术和设备,确保拔牙过程靠谱、舒适。无论是智齿拔除还是其他牙齿的拔除,我们都提供个性化的治...
合肥地区牙科医院排名前十,哪家更值得信赖?合肥维多利亚整形口腔门诊部牙齿矫正项目结果显著,值得推荐!
维多利亚整形口腔门诊部安徽维多利亚整形外科医院,坐落于蜀山区望江西路268号,专注于重现维多利亚女性时代的独特魅力。医院致力于帮助女性展现出勇敢、执着、自信的个性,使她们更懂得品味生活、享受美丽人生。在众多美容项目中,牙齿矫正尤为突出。通过专業的牙齿矫正技术,医院能够有效改善牙齿排列不齐的问题,提升...
秦皇岛牙科医院排名前十,哪家更值得信赖?秦皇岛蓝天口腔牙齿矫正项目专業优质服务!
蓝天口腔秦皇岛蓝天口腔,成立已有15年历史,是一家经过很多国家卫生部门严格审批的正规齿科机构。凭借丰富的经验和先进的技术,蓝天口腔每年为数十万爱护牙齿的患者提供个性化的齐全诊疗方案,逐渐发展成为国内具有广泛影响力和竞争力的口腔医疗。在众多项目中,牙齿矫正尤为突出。蓝天口腔拥有专業的矫正团队,采用新...
贵阳地区牙科医院排名前十,哪家更不错?贵阳德韩口腔医院拔牙项目专業可靠,值得信赖!
德韩口腔医院贵阳德韩口腔医院致力于将先进的口腔技术与国内的美学设计理念相结合,特别是在拔牙项目上,体现了这一创新理念。拔牙不仅仅是一个简单的医疗过程,更是提升面部美感的重要环节。医院的专業团队会在充分评估患者口腔健康的基础上,制定个性化的拔牙方案,确保在确保牙齿健康的同时,大程度地维护面部的整...
湖北地区牙科医院排名前十:品冠口腔门诊部洗牙项目值得信赖,专業又贴心!
十堰品冠口腔门诊部十堰品冠口腔自2018年成立以来,凭借其优越的地理位置,分别在北京路和东岳路设立了两家门诊,均位于市中心。作为市卫健委批准的现代化口腔医疗机构,品冠口腔致力于为患者提供高质量的医疗服务。特别是在洗牙项目上,我们采用先进的设备和技术,确保每位患者都能享受到专業而细致的清洁体验。门诊实...
山东地区牙科医院排名前十,日照凯思口腔义齿项目活动精彩纷呈,值得信赖的选择!
日照凯思口腔山东日照凯思口腔门诊部自2000年成立以来,始终致力于口腔健康,尤其在牙齿矫正领域享有盛誉。作为一家占地约430平方米的连锁机构,凯思口腔不仅是市健保定点单位,更是许多患者信赖的选择。创办人周茂强医生,作为国内有名的矫正医生,带领团队不断创新,提升医疗服务水平。在口腔修复方面,门诊部特别...
上海地区牙科医院排名前十,尤旦口腔门诊部根管治疗项目杰出服务,值得信赖的选择
尤旦口腔门诊部尤旦口腔诊所采用了“独立”诊室的标准化设计,融合了专業性与人性化的理念,致力于为每位患者提供一个私密且专属的治疗空间。在这里,优雅的就诊环境让患者在温馨舒适的氛围中完成整个治疗过程,享受靠谱美齿的杰出体验。特别是在根管治疗项目中,尤旦口腔坚持“理解顾客需求、确保顾客满意”的原则,通过细...
上海牙科医院排名前十,哪家更优质?聚焦上海文博口腔医院根管治疗项目,专業高效率值得信赖!
文博口腔医院上海文博口腔医院,坐落于上海市青浦区盈港路499弄2号楼,拥有4000平方米的广阔空间,是一家致力于口腔健康的大型二级专科医院。作为上海市医疗中心口腔科及上海市牙防所(市口腔医院)的技术合作单位,医院在口腔治疗领域享有盛誉。特别是在根管治疗方面,医院配备了先进的设备和经验很丰富的专業团...
大连地区牙科医院排名前十,哪家更胜一筹?大连沙医生口腔医院义齿项目活动火热进行中,值得信赖的选择!
沙医生口腔医院大连沙医生整形美容口腔专科医院是由大连市西岗区卫生健康局正式批准的专業医疗机构。作为该院的重点科室,口腔科一直以来专注于数字化齿科的创新与发展。该科室占地面积超过2000平方米,拥有30多年的丰富经验。特别是在活动义齿项目上,医院引进了美国先进的治疗管理理念,致力于为患者提供舒适、高效率...
沈阳地区牙科医院排名前十:米兰口腔门诊部补牙项目值得信赖的优质选择
米兰口腔门诊部沈阳米兰口腔作为一家专注于“一站式牙科服务”的私人口腔医疗机构,致力于为客户提供齐全的口腔健康解决方案。作为30余家所有地区500强企业及国内100强企业的指定口腔医疗服务机构,米兰口腔在沈阳设有7家分店,配备六大专業诊疗中心。尤其在补牙项目方面,米兰口腔采用先进的技术与材料,确保患者能够...
三亚牙科医院排名前十,吉阳鼎点口腔门诊部洗牙项目备受推崇,专業优质服务!
吉阳鼎点口腔门诊部鼎点牙科连锁机构在海南省的海口和三亚设有多家门诊,同时在南昌也有两处分支。特别是三亚鼎点口腔,经过吉阳区的行政审批,提供多样化的牙科服务,包括种植牙、牙齿矫正、修复以及儿童牙科等项目,旨在满足不同年龄段人群的需求。其中,洗牙项目尤为重要,定期洗牙不仅能有效去除牙齿表面的牙石和菌斑,...
江门地区牙科医院排名前十:蓬江松鼠口腔门诊部地包天项目的杰出选择与专業服务
蓬江松鼠口腔门诊部江门松鼠口腔是经过江门市蓬江区卫生健康局正式批准的专業口腔医疗机构,拥有约1000平米的宽敞空间。该机构不仅提供牙齿种植、牙齿矫正、牙齿修复、补牙拔牙和牙齿美白等多项服务,更在地包天矫正项目上拥有显著的优势。地包天,即下颌前突的情况,常常影响患者的咀嚼功能和面部美观。松鼠口腔通过先...
扬州牙科医院排名前十,贝恩口腔医院牙齿矫正项目杰出非凡!
贝恩口腔医院扬州贝恩口腔医院坐落于邗江区兴城西路189号,正对琼都宾馆,医院占地面积近3000平方米,设有种植中心、儿童齿科等八大专業中心,涵盖预防、治疗、修复及美容等多项服务。特别是在牙齿矫正项目上,医院引入了先进的矫正技术,拥有一支经验很丰富的医生团队,致力于为每位患者提供个性化的矫正方案,帮...
南宁牙科医院排名前十,柏乐口腔门诊部(南湖总医院)全瓷牙项目值得信赖,专業优质服务尽显魅力
柏乐口腔门诊部(南湖总医院)南宁柏乐口腔医院引进了先进的华夏台澎金马口腔医疗技术,积极开展牙齿种植、口腔正畸、口腔疾病的治疗以及口腔美容等多项服务。特别值得一提的是,全瓷牙项目,它采用优质材料,能够良好模拟自然牙齿的外观与功能,解决了传统牙齿修复的诸多不足。医院致力于为南宁市民提供专業、细致的台式口腔医...
湖南地区牙科医院排名前十,湘潭赖尔口腔种植牙项目杰出专業,值得信赖的选择
省湘潭赖尔口腔湖南省湘潭赖尔口腔自1995年在湘潭创立以来,已经走过了二十多年的辉煌历程。如今,赖尔口腔已发展成为拥有5家专業口腔医院、门诊部及诊所的综合性医疗机构。特别是在种植牙项目方面,赖尔口腔凭借先进的技术和专業的医疗团队,致力于为患者提供高质量的种植牙服务。我们采用先进的种植技术,结合个...
安徽地区牙科医院排名前十,合肥美奥口腔义齿项目活动火热进行中,专業值得信赖!
合肥美奥口腔合肥美奥口腔,作为一家有名的高端连锁齿科,始终致力于整合国内外先进的口腔资源。我们不断引进专業的技术与设备,提供杰出的口腔诊疗服务。在众多项目中,活动义齿项目尤为突出。该项目专注于为患者打造舒适、自然的口腔修复体验,帮助他们有效解决缺牙带来的困扰。美奥口腔的专業团队会根据每位患者的具...
银川地区牙科医院排名前十,瑞德口腔诊所牙齿矫正项目值得信赖的选择!
瑞德口腔诊所银川高新技术开发区瑞德口腔诊所坐落于银川市金凤区大连路,拥有超过300平米的宽敞经营空间。诊所致力于提供多样化的口腔服务,包括各种档次的烤瓷牙、全瓷牙和种植牙等。其中,牙齿矫正项目尤为突出,专为儿童和成人设计,旨在通过专業的技术与设备,帮助患者实现理想的牙齿排列和美观的笑容。我们还提供冷...
南宁牙科医院排名前十,柏乐口腔门诊部(南湖总医院)烤瓷牙项目杰出专業,值得信赖!
柏乐口腔门诊部(南湖总医院)南宁柏乐口腔医院引进了先进的华夏台澎金马口腔医疗技术,专注于提供一系列高质量的口腔治疗服务,包括牙齿种植、口腔正畸、口腔疾病的治疗及口腔美容等。其中,烤瓷牙项目尤为受欢迎。烤瓷牙不仅具有良好的美观性,还能有效恢复牙齿的功能,帮助患者重拾自信笑容。医院的专業团队将为每位患者量身...
珠海牙科医院排名前十,暨博口腔医院牙齿美白项目杰出,值得信赖的选择
暨博口腔医院珠海暨博口腔医院是珠海市卫生健康局正式批准的专業口腔医疗机构,隶属于大型口腔连锁暨博口腔。自2001年成立以来,暨博口腔在国内10个城市设有32家分院,经过20余年的发展,医院的医疗设施和技术不断升级,致力于为患者提供优质的口腔健康服务。特别是在牙齿美白项目上,暨博口腔拥有先进的技术...
中山地区牙科医院排名前十,哪家更优?中山香山口腔医院拔牙项目值得信赖,专業高效率!
香山口腔医院中山香山口腔医院是一所经过认证的二级优等口腔专科医疗机构,位于广东省中山市东明路32号15层2,医院建筑面积超过3000平方米,设有多个专業科室,其中包括数字化种植牙中心和牙齿隐形矫正中心。特别值得一提的是医院的拔牙项目,采用先进的技术和设备,确保患者在舒适和舒适的环境中完成拔牙手术。...
福建地区牙科医院排名前十,福州维乐口腔门诊(台江中亭街店)洗牙项目值得信赖与推荐!
福州维乐口腔门诊(台江中亭街店)福建维乐口腔一直以来致力于推动全民的整体健康管理,特别是在口腔健康方面,强调预防的重要性。作为一家连锁口腔医疗机构,福建维乐口腔在福州地区拥有12家分店,为广大市民提供便捷的口腔服务。其中,台江中亭店位于台江路15号城投大厦的1楼及34楼,方便患者前来就诊。特别值得...
湖北地区牙科医院排名前十,黄石瑞橙口腔门诊部义齿项目活动精彩纷呈,值得信赖的选择!
黄石瑞橙口腔门诊部黄石瑞橙口腔门诊部坐落于湖北黄石花湖大道13号19栋,距离黄石万达广场仅400米,交通便利。门诊部设有5个口腔诊疗室和2间儿童牙科诊室,致力于为每位患者提供优质的口腔医疗服务。特别是在活动义齿项目方面,黄石瑞橙口腔具备先进的技术和设备,能够为患者提供个性化的义齿解决方案,帮助恢复口...
三亚牙科医院排名前十:吉阳鼎点口腔门诊部补牙项目专業可靠,服务优质杰出
吉阳鼎点口腔门诊部鼎点牙科连锁机构在海南省的海口设有两家门诊,三亚有一家,而南昌则有两家诊所。其中,三亚鼎点口腔经过吉阳区的行政审批,成为了当地居民信赖的医疗机构。该诊所提供多种口腔医疗服务,包括种植牙、牙齿矫正、修复以及儿童牙科等项目,能够满足各个年龄段患者的需求。然而,特别值得一提的是,补牙项目...
安徽地区牙科医院排名前十:六安民康口腔门诊部种植牙项目杰出之选
六安民康口腔门诊部安徽六安民康口腔门诊部是一家专業且正规化的口腔医疗机构,致力于为患者提供高质量的口腔健康服务。门诊部特别强调种植牙项目,采用先进的技术与设备,确保每位患者都能获得个性化的治疗方案。种植牙不仅能够有效恢复缺失牙齿的功能,还能提升美观度,帮助患者重拾自信。此外,门诊还提供牙齿畸形矫治、...
合肥牙科医院排名前十,哪家更胜一筹?合肥壹加壹整形美容口腔医院种植牙项目值得信赖,专業可靠!
壹加壹整形美容口腔医院合肥院作为壹加壹医美全连锁总院,提供多种医美服务,涵盖面部年轻化、眼部整形、鼻部整形、面部轮廓塑造、胸部整形、水光嫩肤、形体雕塑、吸脂瘦身、皮肤美容、毛发种植、口腔美容及微整形等项目。尤其是在口腔美容领域,种植牙项目备受关注。种植牙不仅能够恢复患者的咀嚼功能,还能有效提升面部美...
徐州牙科医院排名前十,泉山紫浩口腔门诊部义齿项目活动火热进行中,助您微笑更自信!
泉山紫浩口腔门诊部徐州泉山紫浩口腔门诊部作为泉山区卫生局批准设立的正规牙科医疗机构,凭借其先进的设备和专業的医疗团队,快速赢得了当地居民的信任与好评。特别是其活动义齿项目,致力于为缺牙患者提供个性化的解决方案。门诊部的博士级医生团队,凭借丰富的临床经验和娴熟的技术,能够为每位患者量身定制舒适、美观的...
常州牙科医院排名前十,北极星口腔医院地包天项目值得信赖的选择!
北极星口腔医院常州北极星口腔医院致力于口腔医学的深入研究、专業治疗、优质服务与系统培训,特别在地包天项目上取得了显著成效。医院针对华夏患者的独特需求,创新性地推出了一套综合性的“量身定制”医疗服务模式,涵盖口腔种植、正畸、修复、治疗、保健及儿童齿科等多个领域。尤其在地包天矫正方面,医院拥有专業的医疗...
南宁牙科医院排名前十,哪家更胜一筹?南宁牙之道口腔门诊部根管治疗项目专業可靠,值得信赖!
牙之道口腔门诊部南宁牙之道口腔门诊部是由广西医科大学的资历高教丨授、学科带头人倪加安博士及多位专業口腔医师共同创办的高端牙科机构。该门诊不仅专注于牙齿矫正、牙齿美白和种植牙,还提供镶牙、补牙、拔牙等综合性服务。特别值得一提的是,根管治疗项目在这里得到了高度重视。专業的医师团队运用先进的技术和设备,确保患...
中山地区牙科医院排名前十,哪家更优质?中山好民生口腔门诊部洗牙项目值得信赖,服务!
好民生口腔门诊部中山好民生口腔门诊部自2017年05月19日成立以来,凭借其1200平米的广阔空间,快速成为中山地区具规模的口腔医疗机构之一。位于中山市石岐区民生大厦的优越地理位置,使得就诊更加便利。该门诊部不仅提供牙齿正畸、种植、修复等多项专業服务,还特别注重口腔健康的基础护理,其中洗牙项目尤为...
昆山牙科医院排名前十,哪家更不错?昆山美奥口腔门诊部牙齿美白项目结果显著,值得信赖!
美奥口腔门诊部昆山美奥口腔门诊部是美奥口腔旗下的一部分,美奥口腔作为国内先进的口腔连锁,在19个主要城市设有近40家分支机构。所有分支均采用统一的管理模式和运作流程,充分共享资源,形成强大的核心竞争力,赢得了广大顾客的信赖与好评。自2018年成立以来,昆山美奥口腔致力于为顾客提供高品质的口腔...
贵州地区牙科医院排名前十:哪家更不错?贵州利美康口腔美容外科医院(总部)种植牙项目,专業可靠的选择!
利美康口腔美容外科医院(总部)贵州利美康医院(总部)自1991年成立以来,一直致力于为患者提供高质量的医疗服务。作为贵州省卫生厅认定的初级专科医院,医院占地面积达到8760平方米,具备4级手术难度资质,成为精品整形医院的佼佼者。同时,医院还是贵阳市市健保定点医院,获得ISO质量认证,确保医疗服务的专...
海口地区牙科医院排名前十,龙华鼎点口腔诊所种植牙项目杰出表现
龙华鼎点口腔诊所鼎点是一家经过当地相关部门严格审核的正规门诊部,致力于为患者提供高质量的牙科服务。院内设有多种专業项目,包括种植牙、牙齿矫正、牙齿美白、全瓷牙和烤瓷牙等。其中,种植牙项目尤为突出,采用先进的allon4种植技术,能够有效解决缺牙问题,恢复患者的咀嚼功能和美观。我们的专業团队通过精...
昆山地区牙科医院排名前十,昆山美奥口腔门诊部烤瓷牙项目值得信赖的选择
美奥口腔门诊部昆山美奥口腔门诊部是美奥口腔的一部分,美奥口腔在国内口腔行业中占据着重要地位,作为大的口腔连锁机构之一,在19个核心城市设有近40家分支机构。所有分支机构均采用统一的管理模式和运作流程,充分共享资源,形成了强大的核心竞争力,赢得了众多顾客的信赖与赞誉。自2018年成立以来,昆山美...
福建地区牙科医院排名前十,福州维乐口腔门诊(台江中亭街店)牙齿美白项目结果显著,值得信赖的选择!
福州维乐口腔门诊(台江中亭街店)福建维乐口腔致力于通过预防措施,推动全民整体健康管理,力求打造一个开放的“华夏口腔医疗平台”。作为一家连锁机构,福建维乐口腔在福州地区设有12家分店,其中台江中亭店位于台江路15号城投大厦的1楼及34楼。特别值得一提的是,维乐口腔提供专業的牙齿美白项目,采用先进技术...
惠州牙科医院排名前十,哪家更值得信赖?惠州勤泰口腔门诊部牙齿矫正项目优质推荐!
勤泰口腔门诊部勤泰口腔门诊部作为惠州地区健保指定的口腔医疗机构,致力于为广大患者提供优质的口腔健康服务。门诊部的主要项目包括牙齿种植、牙齿矫正、牙齿美容、牙齿美学修复以及儿童齿科等。其中,牙齿矫正项目尤为突出,针对不同年龄段的患者,提供个性化的矫正方案。通过先进的技术和设备,勤泰口腔确保每位患者都能...
长沙地区牙科医院排名前十,星雅医疗美容医院口腔门诊部牙齿矫正项目值得信赖的选择!
星雅医疗美容医院口腔门诊部长沙星雅整形是一家集医学美容、学术交流与科学研究于一体的现代化专業医疗整形美容机构,位于长沙市繁华的黄心北路89号上城金都北栋,靠近培元桥地铁口,环境优雅,建筑风格华丽大气,营业面积超过4000平方米。在众多项目中,牙齿矫正尤为突出,采用先进的技术与设备,为每位求美者提供个...
无锡牙科医院排名前十,佳士洁口腔门诊部义齿项目活动火热进行中,专業可靠!
佳士洁口腔门诊部无锡佳士洁口腔门诊部作为有名的口腔连锁,在当地设有两个分院,分别位于欧风街和太湖广场。凭借杰出的服务质量,佳洁士口腔在2017和2018年连续获得无锡电视台“3•15诚信承单位”称号,并成为2019年国旅游小姐大赛(无锡赛区)官方指定的口腔美容及护理机构,赢得了良好的口碑。特别是...
银川地区牙科医院排名前十,瑞德口腔诊所牙齿矫正项目值得信赖,服务优质!
瑞德口腔诊所银川高新技术开发区瑞德口腔诊所坐落于银川市金凤区大连路,诊所的经营面积超过300平方米,致力于提供多方位的口腔医疗服务。这里不仅有各种高中低档的烤瓷牙、全瓷牙和种植牙等项目,还特别注重牙齿矫正服务。无论是儿童的牙齿矫正,还是成人的快速美容牙方案,瑞德口腔都拥有专業的团队和先进的设备,为每...
金华地区牙科医院排名前十,华康口腔医院种植牙项目值得信赖与专業!
华康口腔医院金华华康口腔医院是一家正规的二级口腔专科医院,致力于为患者提供高质量的口腔医疗服务。作为金华市医疗保险定点单位和市口腔协会常务理事单位,该医院在行业内享有良好的声誉。特别是在种植牙项目方面,医院拥有先进的技术和设备,能够为患者提供个性化的种植方案,确保每位患者都能恢复自然的咀嚼功能与美观...
三亚牙科医院排名前十,吉阳鼎点口腔门诊部根管治疗项目值得信赖的优质选择
吉阳鼎点口腔门诊部鼎点牙科作为一家有名的连锁牙科机构,在海口设有两家门诊,三亚有一家,南昌则有两家。特别是三亚鼎点口腔,经过吉阳区的行政审批,提供专業的口腔医疗服务。除了种植牙、牙齿矫正、修复和儿童牙科等项目外,根管治疗也是其重要的服务内容之一。根管治疗旨在有效解决牙髓炎和其他牙齿病变,帮助患者缓解...
东莞牙科医院排名前十,哪家更值得信赖?东莞仁华口腔医院种植牙项目,专業可靠,值得推荐!
仁华口腔医院东莞仁华口腔医院作为一家专業的口腔连锁机构,经过政府批准成立为二级口腔专科医院,拥有超过3000平方米的诊疗空间。在这里,医院设有多个诊疗中心,包括口腔种植修复中心、口腔正畸中心、美学口腔中心、口腔综合中心、儿童口腔中心和VIP特诊中心等。其中,口腔种植修复中心尤为突出,致力于为患者...
海口牙科医院排名前十,龙华鼎点口腔诊所根管治疗项目杰出表现
龙华鼎点口腔诊所鼎点门诊部经过当地相关部门的严格审核,属于一家合规的正规医疗机构。院内提供多种牙科服务,包括种植牙、牙齿矫正、牙齿美白、全瓷牙和烤瓷牙等项目。其中,根管治疗是非常重要的一项服务,旨在有效治疗牙齿内部感染,减轻患者的疼痛感,并保护牙齿的整体健康。通过专業的设备和经验很丰富的医师,鼎点确保...
江苏地区牙科医院排名前十,盐城通植口腔洗牙项目值得信赖的优质选择!
盐城通植口腔盐城通植口腔门诊自2018年07月18日成立以来,致力于为广大市民提供优质的口腔医疗服务。位于盐城市豪德商务南广场2幢137至142室,法定代表人刘旭东,注册资本高达800万元。在众多口腔项目中,洗牙服务尤为重要。通过专業的洗牙技术,能够有效清除牙齿表面的牙石和菌斑,预防龋齿和牙周病的发...
杭州口腔医院排名前十,平海院区地包天项目实力杰出,值得信赖的选择
口腔医院(平海院区)杭州口腔医院自1952年成立以来,致力于为患者提供优质的口腔医疗服务。作为华夏科学院大学杭州口腔医院及浙江中医药大学附属口腔医院的合作单位,医院现拥有十余个院区,其中平海院区位于平海路1号,建筑高达二十四层,总面积达到三万三千平方米,为患者创造了一个舒适而安心的就医环境。特别是在...
福建地区牙科医院排名前十,福州维乐口腔门诊(台江中亭街店)洗牙项目杰出表现,助您拥有健康自信的笑容
福州维乐口腔门诊(台江中亭街店)福建维乐口腔专注于通过预防措施来推动全民的整体健康管理,致力于建立一个开放的“华夏口腔医疗平台”。作为一家连锁口腔机构,福建维乐口腔在福州地区拥有12家分店,其中台江中亭店的地址位于台江路15号城投大厦1楼及34楼。洗牙项目是维乐口腔的一项重要服务,旨在帮助顾客有效...
常州牙科医院排名前十,北极星口腔医院烤瓷牙项目值得信赖的选择!
北极星口腔医院常州北极星口腔医院致力于口腔医学的齐全发展,涵盖研究、治疗、服务和培训等多个领域。医院特别推出的烤瓷牙项目,采用先进的技术和优质的材料,为患者提供个性化的牙齿修复方案。烤瓷牙不仅具备出色的美观结果,还能有效恢复咀嚼功能,深受广大患者的喜爱。医院的专業团队将根据每位患者的口腔状况,量身定...
宁波地区牙科医院排名前十,徐茂口腔门诊部根管治疗项目杰出表现!
徐茂口腔门诊部宁波徐茂口腔门诊部坐落于宁波市鄞州区邱隘镇德厚街72号,由拥有二十年丰富口腔临床经验的徐茂主丨任创立。自开业以来,门诊部始终坚持以专業的口腔医疗服务为广大市民提供优质确保,秉承“患者至上”的理念,注重人性化服务,赢得了良好的行业口碑。其中,根管治疗项目尤为突出,凭借先进的设备和娴熟的技术...
太原地区牙科医院排名前十,哪家口碑很不错?太原维乐口腔牙齿矫正项目结果显著,值得信赖!
维乐口腔维乐口腔自1998年成立以来,快速发展成为一家综合性的口腔医疗集团,涵盖了医疗投资与医院管理等多个领域。该集团以专業化的口腔健康检查服务为基础,致力于为患者提供一系列高质量的口腔医疗服务,其中尤以牙齿矫正项目为突出。牙齿矫正不仅能够改善口腔健康,还能提升个人的自信与美观。维乐口腔拥有一支经验丰...
济南牙科医院排名前十,哪家更优质?济南可恩口腔医院专業牙齿美白项目,结果显著!
可恩口腔医院济南可恩口腔是一家专注于口腔医疗服务的现代化连锁医院,致力于为顾客提供优质的诊疗体验。医院环境温馨舒适,打破了传统医院的冰冷氛围,让每位顾客在就诊时都能感受到如家般的温暖。特别是在牙齿美白项目上,医院采用先进的技术,能够有效改善牙齿的色泽,让顾客展现自信的笑容。可恩口腔不仅提供免费的线上...
温州地区牙科医院排名前十,温州拜尔口腔医院地包天项目杰出表现,值得信赖的选择!
拜尔口腔医院温州拜尔口腔医院,前身为温州拜博口腔医院,自2014年成立以来,经过温州市鹿城区卫生健康局的严格审批,已发展成为一家集口腔疾病的预防、保健、诊疗、教学和科研于一体的现代化、智能化口腔专科医院。医院提供多种口腔服务,其中地包天矫正项目尤为突出。该项目针对儿童和青少年常见的地包天问题,通过专...
佛山排名前十的牙科医院推荐,佛山拜尔口腔门诊(金沙洲店)义齿项目活动火热进行中,服务优质!
拜尔口腔门诊(金沙洲店)佛山拜耳口腔(金沙洲店)作为华南地区广佛分支机构,由上海的专業种植团队精心打造,成立于2017年。该门诊不仅注重种植技术的先进性,更在活动义齿项目上尤为突出。我们为金沙洲及广佛地区的市民提供高品质的活动义齿服务,确保每位患者都能享受到舒适、靠谱的治疗体验。我们的专業团队通过个...
浙江地区牙科医院排名前十,名禾口腔门诊部地包天项目值得信赖的选择!
丽水名禾口腔门诊部浙江丽水名禾口腔门诊部作为政策扶持的口腔医疗机构,致力于为患者提供高品质的牙科服务。门诊部与宁波牙科产业园共享丰富的牙科病例和资料,汇聚了一批具有国内外资质的专業医生。这里不仅开展牙齿种植、矫正、治疗、美容和修复等齐全的口腔医疗服务,还特别注重儿童齿科的健康发展。尤其在地包天项目方...
苏州牙科医院排名前十,哪家更优质?苏州牙博士口腔种植牙项目专業可靠,值得信赖!
牙博士口腔牙博士口腔是一个在国内范围内快速发展的高端口腔连锁机构,旗下拥有11个城市的27家门店。自2012年在苏州工业园区成立以来,牙博士致力于为顾客提供优质的口腔医疗服务,特别是在种植牙项目方面,凭借先进的技术和专業的团队,赢得了众多患者的信赖。无论是在苏州湖西(总部)、湖东、新区,还是在观...
福州牙科医院排名前十,哪家更胜一筹?福州三颗牙口腔门诊部根管治疗项目值得信赖!
三颗牙口腔门诊部福州三颗牙口腔诊所坐落于晋安区秀峰路泰禾广场2号楼05店,自成立以来始终秉持“医生技术为先,医生技术是治疗结果的确保”的理念。作为一家现代化的综合口腔医疗机构,我们专注于为患者提供齐全而个性化的口腔诊疗服务。其中,根管治疗项目尤为重要,它能够有效解决牙髓炎等问题,减轻患者的疼痛并挽救...
福建地区牙科医院排名前十,哪家更胜一筹?福州维乐口腔门诊(台江中亭街店)地包天项目值得信赖,专業服务尽显杰出。
福州维乐口腔门诊(台江中亭街店)福建维乐口腔始终致力于从预防入手,推动全民整体健康管理,力求通过开放的方式打造“华夏口腔医疗平台”。作为一家连锁口腔医疗机构,维乐在福州地区拥有12家分店,其中台江中亭店坐落于台江路15号城投大厦的1楼及34楼。特别值得一提的是,维乐口腔在“地包天”项目上具有独特的...
广州牙科医院排名前十,德伦口腔门诊部根管治疗项目杰出表现!
德伦口腔门诊部德伦口腔是一家经过当地卫生部门严格审批的正规齿科机构,作为广州市健保定点单位,致力于为患者提供优质的口腔医疗服务。我们在多个城市设有分院,方便广大牙友就近就医。特别是在根管治疗项目上,德伦口腔拥有经验很丰富的中欧齿科医生全日制坐诊,采用先进的医疗设备和技术,确保每位患者都能接受到专業、细...
云南地区牙科医院排名前十,昆明康倍口腔门诊部洗牙项目值得信赖,服务优质令人满意!
昆明康倍口腔门诊部云南昆明康倍口腔自2001年成立以来,始终坚守“医者仁心、匠心精神”的信念,致力于为每一位患者提供高品质的口腔医疗服务。在众多项目中,洗牙作为基础而重要的口腔护理服务,尤为受到患者的关注。通过专業的洗牙技术,能够有效去除牙齿表面的牙结石和菌斑,预防口腔疾病,保持牙齿的健康与美观。我...
郑州牙科医院排名前十,杰出口腔医院烤瓷牙项目结果显著,值得信赖的选择
杰出口腔医院郑州这家私人口腔门诊自2003年成立以来,致力于为患者提供高质量的口腔医疗服务。门诊主要涵盖口腔种植、牙齿矫正、牙齿美容修复、儿童齿科及综合治疗等五大核心项目。其中,烤瓷牙项目尤为受到患者的青睐。烤瓷牙不仅能够有效改善牙齿的外观,还具备良好的生物相容性和耐磨性,深受追求美丽与健康的患者欢...
沈阳牙科医院排名前十,盛大口腔医院牙齿矫正项目值得信赖,专業杰出!
盛大口腔医院沈阳盛大口腔医院,坐落于沈阳市铁西区兴华北街,自2015年成立以来,已发展成为一家大型的二级口腔专科医院。医院的经营面积达到约3000平米,内部设施齐全,配备了现代化的口腔诊疗设备。特别是在牙齿矫正项目上,盛大口腔医院拥有一支经验很丰富的专業医师团队,致力于为每位患者提供个性化的矫正方案。...
深圳牙科医院排名前十,哪家更胜一筹?深圳登特口腔门诊部补牙项目,专業可靠,值得信赖!
登特口腔门诊部登特口腔自2003年在厦门创立以来,逐步拓展至福州、深圳、上海等多个城市,现已在这些地区设立了多家分店。尤其是在深圳,2019年正式开业的登特口腔,致力于为广大市民提供优质的口腔医疗服务。补牙项目是登特口腔的一项重点服务,针对不同患者的需求,采用先进的技术和材料,确保每位患者都能获得舒...
云南牙科医院排名前十,昆明康倍口腔门诊部根管治疗项目专業可靠!
昆明康倍口腔门诊部云南昆明康倍口腔自2001年成立以来,始终坚持“医者仁心、匠心精神”的信念,致力于为患者提供杰出的口腔医疗服务。门诊涵盖多种项目,包括牙齿矫正、牙齿种植、牙齿修复等。其中,根管治疗作为一项关键的牙科服务,旨在有效解决牙髓感染和牙齿疼痛问题。通过专業的技术和设备,康倍口腔确保患者在舒...
重庆地区牙科医院排名前十,乐乐欣口腔门诊(盘龙店)烤瓷牙项目备受好评,品质杰出!
乐乐欣口腔门诊(盘龙店)重庆乐乐欣口腔门诊(盘龙店)位于重庆市九龙坡区彩云大道8号附93号3楼,是乐乐欣口腔连锁的一个重要分支。该门诊致力于提供先进的数字化口腔医疗服务,涵盖了多种专業项目。其中,烤瓷牙作为一项备受欢迎的治疗方案,不仅能够有效改善牙齿的外观,还能恢复牙齿的功能。通过高品质的烤瓷材料,...
岳阳地区牙科医院排名前十,哪家更值得信赖?岳阳咿呀口腔医院烤瓷牙项目杰出推荐!
咿呀口腔医院岳阳咿呀口腔医院是一家经过湖南省岳阳市卫生局严格审查批准的现代化口腔专科诊疗机构。医院融合了口腔预防、治疗、修复与维护等多项服务,致力于为患者提供齐全的口腔健康解决方案。医院占地2200平方米,设有30个一对一的诊疗室和23张先进的牙椅。在众多项目中,烤瓷牙修复尤为突出。采用优质材料和先...
浙江地区牙科医院排名前十,哪家更胜一筹?柯城金衢口腔门诊部补牙项目值得信赖,专業高效率!
衢州市柯城金衢口腔门诊部浙江衢州市柯城金衢口腔门诊部自2021年成立以来,始终致力于为患者提供高质量的口腔医疗服务,获得了衢州市柯城区卫生健康局的正式批准,确保了医疗机构的合法性与专業性。门诊部位于交通便利的荷花街道,地址为浙江省衢州市柯城区荷四路275号201室,方便患者前来就诊。特别是在补牙项目...
洛阳地区牙科医院排名前十,拜尔口腔门诊烤瓷牙项目值得信赖,专業杰出!
拜尔口腔门诊拜尔口腔作为口腔行业的佼佼者,肩负着推动整个行业发展的重要使命。它不仅致力于将“尽善尽美”的理念落实到每一个细节,更以开拓创新的精神,引导行业变革。特别是在烤瓷牙项目上,拜尔口腔不断探索新技术和新材料,力求为患者提供更为美观、耐用的修复方案。通过引入前沿的管理理念和医疗技术,拜尔口腔希望...
西安牙科医院排名前十,哪家更具实力?西安圣贝口腔门诊全瓷牙项目值得信赖的选择!
圣贝口腔门诊西安莲湖圣贝口腔门诊部的建筑面积达到1500平方米,现有执业医生18名,其中包括3名主丨任医师和2名副主丨任医师,配备技师4名,整个医疗团队总人数达到60人。医院始终秉持“仁心、至善”的服务宗旨,致力于为西安市及周边省市的居民提供专業的口腔健康服务。特别是在全瓷牙项目上,门诊部引进了先进的技...
惠州牙科医院排名前十,哪家更胜一筹?惠州勤泰口腔门诊部种植牙项目值得信赖,专業可靠!
勤泰口腔门诊部勤泰口腔门诊部作为惠州地区健保认可的口腔医疗机构,致力于为患者提供高质量的口腔健康服务。我们专業开展的项目包括牙齿种植、牙齿矫正、牙齿美容、牙齿美学修复以及儿童齿科等。其中,牙齿种植项目尤为突出,采用先进的技术和材料,帮助患者恢复自然的咀嚼功能和美观的笑容。我们的种植牙医生经验很丰富,能...
长春地区牙科医院排名前十,哪家更不错?长春南关未来口腔门诊部根管治疗项目值得信赖,专業杰出!
南关未来口腔门诊部南关未来口腔门诊部是经过长春市南关区卫生健康局正式批准成立的专業口腔医疗机构,位于南关区东南湖大路88号。门诊部提供多种口腔医疗服务,其中根管治疗尤为重要。根管治疗是针对牙髓感染或损伤的一种有效治疗方式,通过清除感染的牙髓,能够有效减轻,保留自然牙齿,避免拔牙的必要。我们的专業...
广州牙科医院排名前十,广州懿美秀数字化口腔中心拔牙项目值得信赖的选择!
懿美秀数字化口腔中心广州懿美秀数字化口腔中心自2016年成立以来,隶属于广州懿美秀医疗美容整形医院,作为广州懿晟贸易有限公司旗下的专業口腔专科机构,致力于提供标准化的美学牙科服务。中心的项目涵盖了牙齿种植、数字化美学牙齿矫正、牙齿美学修复、牙齿美白、微创瓷贴面以及牙冠修复等多项服务。其中,拔牙项目尤...
珠海地区牙科医院排名前十,哪家口碑很不错?珠海鼎植口腔门诊部根管治疗项目专業可靠!
鼎植口腔门诊部珠海鼎植口腔门诊部是珠海市香洲区卫生健康局正式批准的专業牙科机构,隶属于鼎植医生集团,集团总部位于深圳。作为一家专注于口腔疑难种植技术的连锁,鼎植口腔不仅提供高质量的种植服务,还在根管治疗领域积累了丰富的经验。根管治疗是针对牙齿内部感染或损伤的一种有效治疗方法,旨在保留患者的天然牙...
广西地区牙科医院排名前十,柳州华心口腔门诊部地包天项目杰出表现,值得信赖的选择
柳州华心口腔门诊部柳州华心口腔门诊部自2015年成立以来,致力于为患者提供高质量的口腔医疗服务。拥有一支由20名专業医护人员组成的团队,确保每位患者都能获得优质的治疗。院长韦冠洁曾在柳州华心医院任职,并在某口腔医院担任CEO长达四年,积累了丰富的管理和临床经验。特别是在地包天矫正项目上,门诊部运用...
厦门牙科医院排名前十:哪家更值得信赖?厦门峰煜口腔门诊部全瓷牙项目,专業优质服务让您满意!
峰煜口腔门诊部厦门峰煜口腔门诊部致力于提供杰出的牙科服务,专注于美齿项目,已有19年的辉煌历程。作为厦门市的定点医疗单位,经过多年的发展,已在当地建立了多家医疗连锁机构,成为了口腔医疗领域的佼佼者。尤其是在全瓷牙项目上,峰煜口腔凭借先进的技术和专業的团队,为患者提供高品质的全瓷牙修复服务。这种材料不...
佛山牙科医院排名前十,佛山华美口腔医院根管治疗项目专業优质服务
华美口腔医院佛山华美口腔,坐落于广东省佛山市禅城区汾江南路29号财富金鸿大厦,是一家将口腔医学与整形美学良好结合的专業机构。凭借华美在国内40个城市的连锁优势及25年的积淀,华美口腔不断整合先进的口腔美学修复医师团队,致力于为每位求美者提供个性化的“欧美私人牙医”服务理念。特别是在根管治疗方面,...
青岛地区牙科医院排名前十,哪家更值得信赖?青岛牙博士口腔门诊部全瓷牙项目,专業可靠的选择!
牙博士口腔门诊部牙博士口腔自2013年在青岛落地以来,快速发展,目前已在青岛地区开设了六家分院,分别位于延安三路的台中店、城阳区、李沧区等地。其中,全瓷牙项目尤为受到患者的青睐。全瓷牙以其杰出的美观性和生物相容性,成为牙齿修复的理想选择。牙博士口腔的专業团队,采用先进的技术和材料,为每位患者提供个性...
临沂牙科医院排名前十,哪家更不错?临沂兰山松果口腔门诊部烤瓷牙项目值得信赖,服务专業。
兰山松果口腔门诊部临沂兰山松果口腔,前身为金锣口腔,自成立以来已有二十余年的历史,是本地有名的牙科医疗机构。经过多年的发展与积累,松果口腔不仅在技术上不断创新,更在服务质量上追求杰出,成为鲁南地区创始引入4D数字化种植技术的医院,同时也是丹麦3shape在鲁南的合作伙伴。在众多项目中,烤瓷牙修复技术...
大连牙科医院排名前十:哪家更不错?大连牙元素口腔门诊部洗牙项目值得信赖,服务!
牙元素口腔门诊部大连牙元素口腔是一家融合现代化牙科技术与人性化服务的专業牙科门诊。由医疗投资集团倾力打造,旨在为每位患者提供更为专業、科学且贴心的口腔健康服务。在众多项目中,洗牙服务尤为突出。我们的洗牙项目采用先进的设备和技术,能够有效去除牙齿表面的牙结石和牙菌斑,帮助您恢复牙齿的洁白与健康。我...
四川地区牙科医院排名前十,哪家更出色?西昌牙博士口腔门诊部全瓷牙项目值得信赖,品质杰出!
西昌牙博士口腔门诊部西昌牙博士口腔作为JCI认证的有名齿科连锁,位于四川西昌,秉承现代数字化技术,为凉山及攀西地区的市民提供优质的口腔医疗服务。其中,全瓷牙项目备受关注。全瓷牙以其自然美观、强度高、耐磨损等优点,成为许多患者修复牙齿的优先选择。该项目不仅能够有效改善牙齿的外观,还能保持口腔健康,恢复...
合肥地区牙科医院排名前十:哪家更不错?合肥壹加壹整形美容口腔医院地包天项目,结果显著!
壹加壹整形美容口腔医院合肥院作为壹加壹医美全连锁的旗舰医院,致力于提供齐全的整形美容服务。医院涵盖了面部年轻化、眼部整形、鼻部整形、面部轮廓、胸部整形、水光嫩肤、形体雕塑、吸脂瘦身、皮肤美容、毛发种植、口腔美容、微整形等多个项目。其中,地包天矫正项目尤为突出,受到众多求美者的关注。地包天不仅影响外观...
昆山地区牙科医院排名前十,哪家更值得信赖?美奥口腔门诊部根管治疗项目杰出非凡!
美奥口腔门诊部昆山美奥口腔门诊部是美奥口腔旗下的一部分,美奥口腔作为国内先进的口腔连锁,在19个主要城市设有近40家分支机构。各个分支通过统一的管理模式和运作流程,充分共享资源,形成强大的核心竞争力,赢得了广大顾客的信赖与好评。自2018年成立以来,昆山美奥口腔致力于为患者提供高品质的口腔医...
呼和浩特地区牙科医院排名前十,华医医疗美容·口腔医院地包天项目值得信赖的选择
浩特华医医疗美容·口腔医院华医医疗美容·口腔医院是一家集口腔医疗与美容整形于一体的综合性民营医院,凭借其在内蒙古地区的杰出规模和齐全的项目设置,成为了当地医疗美容行业的佼佼者。医院在医师团队、先进设备、技术水平、环境氛围、服务质量和管理体系六大领域均实现了化的标准。其中,针对“地包天”这一口腔问...
南通牙科医院排名前十,薄荷博士口腔门诊部牙齿矫正项目值得信赖的不错选择
薄荷博士口腔门诊部南通薄荷博士口腔门诊部是一家经过南通市崇州区卫生局审批的正规口腔医疗机构,致力于为患者提供专業的口腔护理服务。该门诊部在南通市设有三家分店,分别位于鸿鸣摩尔、青年西路和工农路,方便患者就近就医。尤其值得一提的是,薄荷博士在牙齿矫正项目上拥有丰富的经验和专業的团队,能够为每位患者量身...
嘉兴地区牙科医院排名前十,金铂利口腔门诊部牙齿美白项目值得信赖,结果显著!
金铂利口腔门诊部金铂利口腔始终致力于为国内中产社会层次及外籍人士提供高端的专科齿科服务。我们设有数字化种植中心、数字化正畸中心以及修复美容科等九大专業科室。特别值得一提的是,我们的牙齿美白项目,采用先进的3D数字化设计技术,由专業人员进行个性化操作,确保每位顾客都能拥有明亮洁白的笑容。我们的团队将为您提...
岳阳地区牙科医院排名前十:平江致远口腔预防所补牙项目的杰出选择与专業服务
平江致远口腔预防所平江致远口腔医院是一家经过卫生局严格审核的二级专科医疗机构,致力于为患者提供齐全的口腔健康服务。医院不仅设有先进的口腔CBCT设备,还开展了多项专業项目,包括种植牙、牙齿矫正和美学修复等。其中,补牙项目尤为突出,针对不同患者的需求,提供个性化的补牙方案,确保每位患者都能恢复健康的口...
湖南地区牙科医院排名前十,常德瑞佳口腔门诊部(桥南店)牙齿矫正项目值得信赖,专業优质服务!
常德瑞佳口腔门诊部(桥南店)常德瑞佳口腔坐落于湖南省常德市鼎城区大湖路187号,自2020年成立以来,致力于为患者提供优质的口腔医疗服务。门诊总面积达到900平方米,配备了10张先进的牙椅,能够满足不同患者的需求。特别值得一提的是,瑞佳口腔在牙齿矫正方面拥有独特的优势,采用现代化的技术和设备,帮助患...
广东地区牙科医院排名前十:哪家更值得信赖?惠州致美口腔医院的牙齿矫正项目专業而杰出!
惠州致美口腔医院惠州致美口腔医院作为国内有名的连锁口腔医疗机构,坐落于惠州地区,具备二级口腔医院的资质,且支持健保刷卡,深受当地居民的信赖与认可。该医院不仅是华夏平安的承保单位,更在口腔医疗领域享有极高的声誉。其主要诊疗项目涵盖了牙齿种植、牙齿美白、牙齿修复、牙周治疗及儿童齿科等。其中,牙齿矫正项目...
厦门牙科医院排名前十,哪家更优?厦门峰煜口腔门诊部烤瓷牙项目值得信赖的选择!
峰煜口腔门诊部厦门峰煜口腔门诊部以其娴熟的技术和杰出的服务,专注于美齿领域,已在口腔医疗行业耕耘了19年。作为厦门市的定点医疗单位,峰煜口腔不仅在当地建立了多家连锁机构,还不断提升自身的专業水平。尤其在烤瓷牙项目上,峰煜口腔凭借先进的技术和优质的材料,为患者提供了持久、美观的解决方案。烤瓷牙不仅能够...
福建地区牙科医院排名前十,哪家更值得信赖?莆田群益口腔门诊部洗牙项目结果显著,口碑非常好!
莆田群益口腔门诊部莆田群益口腔门诊部位于风景如画的妈祖故乡——福建省莆田市,是一家拥有近二十年历史的先进数字化口腔专科医疗机构。该门诊提供齐全的口腔医疗服务,技术力量雄厚,设有多个专業科室,包括牙齿种植、口腔身体科、口腔外科、口腔修复(全瓷牙美容修复)、正畸(牙齿矫正)、儿童齿科、影像科及预防保健科等...
潍坊地区牙科医院排名前十:张宏鹏口腔诊所全瓷牙项目值得信赖的优质选择
高新张宏鹏口腔诊所潍坊高新区张宏鹏口腔诊所自2019年4月25日成立以来,致力于为患者提供优质的口腔医疗服务。诊所的统一社会信用代码为92370700MA3PM3K86M,营业面积达到309平米,属于中型口腔诊所。我们专業开展牙齿种植、矫正、牙周治疗、美容修复、洁牙等多项服务,尤其在全瓷牙项目上,凭...
江苏地区牙科医院排名前十,徐州美奥口腔门诊部全瓷牙项目值得信赖的优选!
徐州美奥口腔门诊部徐州美奥口腔门诊部自2017年成立以来,一直致力于为患者提供高品质的口腔医疗服务。位于徐州市鼓楼区牌楼市场2号楼13层的该机构,设有多个专業科室,包括牙体牙髓病、牙周病、口腔粘膜病、儿童口腔、口腔颌面外科、口腔修复、口腔正畸、口腔麻醉及口腔医学影像等,确保患者能够得到齐全的口腔健...
沈阳地区牙科医院排名前十,亿美佳口腔门诊部全瓷牙项目值得信赖的选择!
亿美佳口腔门诊部沈阳亿美佳口腔门诊部是一家专業的齿科连锁机构,致力于为患者提供高品质的口腔医疗服务。作为沈阳市健保定点单位,亿美佳在本地区拥有两家分院,分别位于五中门诊和和平门诊。特别值得一提的是,门诊部的全瓷牙项目,采用先进的技术和优质的材料,为患者提供美观、耐用的修复解决方案。全瓷牙不仅能够良好...
广东地区牙科医院排名前十:中山香山口腔医院洗牙项目值得信赖,专業高效率!
中山香山口腔医院中山香山口腔医院是一家经过卫生主管部门认证的二级优等口腔专科医疗机构,坐落于广东省中山市东明路。医院综合了口腔保健、治疗、预防宣教和科研等多项功能,建筑面积超过三千平方米。作为数字化种植牙中心和牙齿隐形矫正中心的佼佼者,本院特别注重洗牙项目的推广与实施。洗牙不仅能有效去除牙齿表面的牙...
湖北地区牙科医院排名前十,品冠口腔门诊部拔牙项目值得信赖的选择!
十堰品冠口腔门诊部十堰品冠口腔自2018年成立以来,快速在市区核心地带开设了北京路和东岳路两家门诊,获得了市卫健委的正式批准,成为一家现代化的口腔医疗机构。门诊在服务患者方面实行首诊义务制,由首要位置接诊医生全程负责,确保患者得到持续的关怀与支持。特别是在拔牙项目上,门诊遵循严格的医疗标准,实施四手操作...
福建地区牙科医院排名前十,福州维乐口腔门诊(台江中亭街店)牙齿矫正项目杰出表现,值得信赖的选择!
福州维乐口腔门诊(台江中亭街店)福建维乐口腔专注于从预防出发,推动全民的整体健康管理,致力于构建一个开放的“华夏口腔医疗平台”。作为一家连锁机构,福建维乐口腔在福州地区设有12家分店,其中台江中亭店位于台江路15号城投大厦1楼及34楼。特别值得一提的是,维乐口腔在牙齿矫正方面拥有丰富的经验和专業的...
上海牙科医院排名前十:尤旦口腔医院拔牙项目值得信赖的专業选择
尤旦口腔医院上海尤旦口腔医院是经过上海市工商局和卫生局等相关部门批准成立的,致力于为患者提供齐全的口腔医疗服务。这是一家集医疗、预防、保健和科研于一体的数字化口腔连锁机构,隶属于上海尤旦投资管理有限公司。医院特别注重拔牙项目,拥有先进的设备和经验很丰富的医生团队,能够为患者提供靠谱、舒适的拔牙体验。无...
天津地区牙科医院排名前十,哪家更值得信赖?天津丽德卡尔口腔门诊部拔牙项目结果显著,专業可靠!
丽德卡尔口腔门诊部天津丽德卡尔口腔自2017年成立以来,致力于为患者提供齐全的口腔医疗服务。作为一所综合性的口腔医疗机构,除了设有口腔种植及修复中心、牙体牙髓科、口腔修复科、正畸科、牙体美容科、牙周科和儿童预防保健科等多个科室外,拔牙项目也是其重要的服务之一。在拔牙过程中,医院配备了经验很丰富的主丨任医...
山东地区牙科医院排名前十,泰安雅美口腔补牙项目值得信赖的优质选择!
泰安雅美口腔门诊泰安市雅美口腔是经过泰安市卫生行政主管部门认可的综合性口腔专科机构,成立于2009年,由原泰安市第人民医院口腔科主丨任赵传森创办,并且是健保定点单位。位于泰安市泰山区岱道庵路,紧邻东岳中学与泰安市住房公积金管理中心,交通十分便利。在雅美口腔,补牙项目受到广泛欢迎,采用先进的技术和优质的...
嘉兴牙科医院排名前十,金铂利口腔门诊部烤瓷牙项目值得信赖的优质选择
金铂利口腔门诊部金铂利口腔始终专注于为国内中产社会层次及外籍人士提供高品质的专業齿科服务。医院设有数字化种植中心、数字化正畸中心以及修复美容科等九大科室,致力于满足不同患者的需求。在烤瓷牙项目方面,金铂利口腔采用先进的3D数字化设计技术,由经验很丰富的专科医生进行个性化设计与操作,确保每一位患者都能获得理...
沈阳牙科医院排名前十,哪家更值得信赖?沈阳乐加口腔门诊牙齿美白项目结果显著,令人满意!
乐加口腔门诊沈阳乐加口腔门诊部坐落于沈阳市皇姑区华山路107号,作为一家拥有15年历史的专業口腔医疗连锁机构,乐加口腔致力于为每位患者提供优质的口腔服务。门诊部不仅设有齿科种植、正畸、美学修复、儿牙、牙周治疗及预防保健等多项服务,还特别强调牙齿美白项目。通过先进的技术和设备,乐加口腔帮助患者实现亮白...
株洲地区牙科医院排名前十,哪家更值得信赖?株洲欢笑口腔医院地包天项目结果显著,专業可靠!
欢笑口腔医院株洲欢笑口腔医院坐落于湖南株洲中心广场家润多商场的四楼,医院面积超过1500平方米,设有12个现代化诊室和25张先进牙椅,致力于为患者提供齐全的口腔医疗服务。医院汇聚了医疗、预防、保健、科研及教学等多项功能,尤其在地包天项目方面,拥有一支技术娴熟的专業团队。医院采用先进的治疗技术和设备,...
苏州牙科医院排名前十,苏州牙博士口腔种植牙项目专業可靠,值得信赖的选择
牙博士口腔牙博士口腔作为高端口腔,自2012年在苏州工业园区成立以来,快速扩展至国内,目前在11个城市开设了27家连锁门店。特别在种植牙项目上,牙博士口腔凭借先进的技术和专業的团队,致力于为每位患者提供个性化的种植方案。无论是在苏州湖西(总部)、湖东,还是在苏州新区、观前、相城、姑苏、吴中等地,...
太原地区牙科医院排名前十,哪家更佳?太原众牙口腔门诊部义齿项目活动,专業优质服务!
众牙口腔门诊部太原众牙口腔门诊自1953年成立以来,始终致力于为患者提供专業的口腔医疗服务。作为太原市卫生局批准的口腔专科机构,我们涵盖多个专業领域,包括牙体牙髓病、牙周病、口腔黏膜病、儿童口腔、口腔颌面外科、口腔修复、口腔正畸、口腔麻醉以及口腔影像等。特别值得一提的是,我们的活动义齿项目,旨在为需...
威海牙科医院排名前十,德韩牙博仕口腔医院洗牙项目专業杰出
德韩牙博仕口腔医院德韩口腔连锁集团凭借诚嘉集团在17年间积累的丰富经验,已在20个城市开设超过30家医疗机构,形成了强大的医疗络。作为一家跨国口腔医疗机构,德韩口腔在华夏、韩国和美国均设有实体医院,拥有来自中、美、德、意、韩、新等很多国家的化资源。自2018年成立以来,德韩口腔以武汉为总部,致力于...
长春地区牙科医院排名前十,欣雅口腔门诊部种植牙项目杰出表现,值得信赖的选择
朝阳区欣雅口腔门诊部欣雅口腔凭借十万例丰富的病例库,深度涵盖长春及东北地区,展现出其在口腔医疗领域的强大实力。医院汇聚了一支技术娴熟、严谨治医的专業团队,在牙齿矫正、牙齿美容等多个项目中均有杰出表现。特别是在种植牙项目上,欣雅口腔不断与美国、德国、瑞士等信赖口腔医疗机构进行深入的学术交流,确保采...
嘉兴地区牙科医院排名前十:哪家更值得信赖?探秘嘉兴金铂利口腔门诊部洗牙项目,专業与细致并存!
金铂利口腔门诊部金铂利口腔一直以来专注于为国内中产社会层次及外籍人士提供高质量的专業齿科服务。我们设有数字化种植中心、数字化正畸中心以及修复美容科等九大科室,致力于满足不同患者的需求。尤其是在洗牙项目方面,我们采用先进的3D数字化设计技术,由专業人员进行个性化操作,确保每位患者都能享受到细致入微的服务。...
东莞牙科医院排名前十:优质服务与技术的结合,东莞优贝口腔门诊部(凤岗店)牙齿美白项目杰出非凡!
优贝口腔门诊部(凤岗店)东莞优贝口腔门诊作为一家有名的高端牙科连锁,已经在东莞地区正式开业。该不仅在东莞凤岗设有机构,还在北京、深圳、上海及海口等地拓展了业务,方便市民根据自身位置选择就近的医疗服务。优贝口腔特别注重牙齿美白项目,采用先进的技术和设备,为顾客提供专業的美白方案,帮助他们恢复自...
合肥地区牙科医院排名前十,哪家更胜一筹?合肥壹加壹整形美容口腔医院牙齿矫正项目值得信赖,专業优质服务。
壹加壹整形美容口腔医院合肥院作为壹加壹医美全连锁的旗舰医院,提供齐全的医美服务,包括面部年轻化、眼部整形、鼻部整形、面部轮廓塑造、胸部整形、水光嫩肤、体型雕塑、吸脂瘦身、皮肤美容、毛发种植、口腔美容和微整形等众多项目。特别值得一提的是,牙齿矫正项目在这里备受关注。通过专業的技术和个性化的方案,合肥院...
长沙地区牙科医院排名前十,鹏爱口腔齿科牙齿矫正项目值得信赖,专業高效率!
鹏爱口腔齿科长沙市芙蓉区韶山北路湘农大厦鹏爱医疗美容医院的2楼设有专業的牙科诊所。作为一家位于写字楼内的口腔医疗机构,周边停车条件良好,方便患者前来就诊。该诊所专注于多种口腔治疗项目,尤其在牙齿矫正方面具有显著优势。无论是儿童还是成人,医师团队均能提供个性化的矫正方案,以改善牙齿排列和咬合问题。此外...
苏州牙科医院排名前十,哪家更值得信赖?苏州美奥口腔门诊部牙齿矫正项目专業可靠,值得推荐!
美奥口腔门诊部美奥口腔集团总部设立在上海,是一家综合性的口腔连锁机构。如今,集团在国内范围内已拓展至19个城市,拥有超过30家连锁门诊。院内设有多项特色齿科诊疗项目,其中牙齿矫正尤为突出。该项目通过先进的技术和设备,为患者提供个性化的矫正方案,帮助他们实现理想的口腔健康与美观。自2012年美奥在苏州...
南宁牙科医院排名前十,柏乐口腔门诊部(南湖总医院)牙齿美白项目结果杰出,值得信赖的选择!
柏乐口腔门诊部(南湖总医院)南宁柏乐口腔医院引进了来自华夏台澎金马的先进口腔医疗技术,致力于为南宁市民提供齐全的口腔健康服务。医院不仅开展牙齿种植、口腔正畸和口腔疾病的治疗,还特别注重口腔美容项目,尤其是牙齿美白。通过专業的美白技术和设备,医院帮助患者恢复自信的笑容,让每个人都能拥有洁白亮丽的牙齿。无论...
石家庄牙科医院排名前十,哪家更值得信赖?石家庄恒伦口腔门诊部(勒泰店)义齿项目活动火热进行中,服务优质,值得关注!
恒伦口腔门诊部(勒泰店)石家庄恒伦口腔门诊部隶属于恒伦医疗科技股份有限公司,是一家由专業医疗团队精心打造的现代化口腔专科机构。医院总面积达3000平方米,配备了30余台先进的全屏数字牙椅,致力于为患者提供优质的口腔医疗服务。除了牙齿种植、修复和正畸等项目外,活动义齿项目更是我们的特色之一。我们拥有国...
南昌牙科医院排名前十,南昌维乐口腔医院全瓷牙项目值得信赖的选择!
维乐口腔医院维乐口腔作为有名的连锁口腔医疗,在南昌地区已成功开设了四家门店,分别位于朝阳新城医院、红谷滩万达门诊、万达星城门诊和起凤路门诊。维乐口腔不仅提供高质量的口腔护理服务,还特别注重患者的就医体验。在这里,您可以享受到边购物边看牙的便利,充分利用等待时间,绝不会感到无聊。特别是全瓷牙项目,...
成都牙科医院排名前十,锦江贝臣口腔门诊部牙齿矫正项目值得信赖,专業优质服务!
锦江贝臣口腔门诊部成都贝臣齿科坐落于锦江区一环路东五段,毗邻九眼桥头北,正对阳光兴业,地理位置十分优越,方便患者前来就诊。这家牙科机构源自德国波恩,经过多年的不断发展,如今已在广州、深圳、上海等多个城市设立分支,致力于为更多口腔患者提供优质服务。尤其在牙齿矫正项目方面,贝臣齿科凭借先进的技术和专業的...
东莞牙科医院排名前十,哪家更值得信赖?东莞国贸口腔门诊部洗牙项目专業优质服务!
国贸口腔门诊部东莞国贸口腔医院,秉持德国口腔健康标准,致力于整合优质的医疗技术、专業人才与先进设备,打造的诊疗平台。我们以CMTH数字化医疗技术为核心,专注于CPRETTY数字化定位正畸,同时也提供MBEAUTY数字化智能美学修复、T度数字化高精种植牙、HSMILE数字化儿童齿科等多样化的...
四川地区牙科医院排名前十,宜宾喜牙口腔门诊部烤瓷牙项目值得信赖的选择!
宜宾喜牙口腔门诊部喜牙口腔是一家现代化、数字化、集团化运作的口腔医疗机构,旗下拥有广西柏乐口腔、重庆8020口腔、云南西南博大口腔、丽江德柏口腔等多个有名连锁。位于宜宾的喜牙口腔,拥有2100平方米的大型营业空间,依托四川华西口腔医师团队的专業技术,设有种植、矫正、口内、口外、牙体牙髓、儿童口腔...
合肥牙科医院排名前十,哪家更专業?合肥靓美口腔医院牙齿美白项目,结果显著,值得信赖!
靓美口腔医院合肥靓美口腔作为一家二级口腔专科医院,自成立以来凭借着杰出的诊疗技术和专業实力,赢得了广大患者的信赖,享有极高的声誉与影响力。该院提供多方位的口腔医疗服务,包括牙齿种植、牙齿美容修复、美学正畸、牙周病治疗及儿童齿科等。特别是在牙齿美白项目上,医院采用先进的技术和设备,帮助患者实现亮白笑容...
中山地区牙科医院排名前十,哪家更值得信赖?中山好民生口腔门诊部拔牙项目,专業可靠的选择!
好民生口腔门诊部中山好民生口腔门诊部自2017年05月19日成立以来,凭借其1200平米的宽敞空间,快速成为中山地区较具规模的口腔医疗机构之一。位于中山市石岐区民生大厦的门诊部,提供齐全的口腔服务,包括牙齿正畸、种植、修复、儿童牙科以及基础治疗等。特别是在拔牙项目方面,门诊部拥有专業的医疗团队和先进...
南昌牙科医院排名前十,南昌德韩口腔门诊部根管治疗项目值得信赖的选择
德韩口腔门诊部南昌德韩口腔门诊部作为一家有名的口腔连锁机构,源自于德韩,致力于为患者提供高品质的口腔医疗服务。我们采用所有地区先进的医疗技术和成熟的诊疗模式,涵盖了口腔身体科、外科、正畸、种植及修复等多个领域。其中,根管治疗项目尤为突出,它能够有效解决牙齿深层感染问题,缓解患者疼痛,恢复牙齿功能。我们...
四川地区牙科医院排名前十,哪家更值得信赖?西昌牙博士口腔门诊部全瓷牙项目,专業与品质并存!
西昌牙博士口腔门诊部西昌牙博士口腔作为一家获得JCI认证的齿科连锁,位于四川西昌,是一家现代化数字化口腔专科机构。该机构不仅服务于凉山地区,还辐射到攀西周边,致力于为广大市民提供齐全的口腔医疗服务。其中,全瓷牙项目尤为突出,采用先进的材料和技术,能够有效提升牙齿的美观度与功能性。全瓷牙不仅具有良...
浙江地区牙科医院排名前十,哪家更值得信赖?浙江丽水名禾口腔门诊部拔牙项目专業可靠,服务优质!
丽水名禾口腔门诊部浙江丽水名禾口腔门诊部作为政策扶持的口腔医疗机构,致力于为患者提供高品质的牙科服务。门诊部不仅与宁波牙科产业园共享丰富的牙科病例和资料,还汇聚了一批具备国内外资质的专業医生,确保每位患者都能接受到优质的医疗服务。特别是在拔牙项目上,名禾口腔拥有先进的技术和设备,能够为患者提供靠谱...
长沙地区牙科医院排名前十,长沙牙祖口腔(中山亭店)牙齿矫正项目结果显著,值得信赖的选择
牙祖口腔(中山亭店)长沙牙祖口腔(中山亭店)是一家现代化的专科口腔连锁机构,融合了医疗、教学、预防和保健等多种功能。医院致力于为患者提供高质量的口腔健康服务,特别是在牙齿矫正方面,采用先进的口腔智能技术和来自华夏台澎金马的健康管理理念。无论是青少年还是成人,牙祖口腔都能根据个体需求量身定制矫正方案,帮助...
义乌地区牙科医院排名前十,傅氏口腔根管治疗项目杰出专業,值得信赖的选择
傅氏口腔义乌傅氏口腔(原傅恭悌口腔诊所)自成立以来,已走过三十年的光辉历程。创办人傅恭悌医生,曾任济南军区总院口腔科的主治医师,凭借其专業技术和对患者的关怀,使得诊所不断壮大。如今,傅氏口腔设有多个科室,包括种植牙、正畸、牙齿修复、牙齿美白、儿童齿科及综合齿科等。其中,根管治疗项目尤为突出,采用先进...
厦门地区牙科医院排名前十,哪家更胜一筹?厦门麦芽口腔医院全瓷牙项目值得信赖,专業可靠!
麦芽口腔医院厦门麦芽口腔医院在厦门市医学学术与技术带头人姚江武教丨授的指导下,组建了一支由博硕医生为核心的高质量博士医生团队。该团队不仅具备先进的口腔医学理论,还拥有丰富的临床经验,尤其在全瓷牙项目方面表现突出。全瓷牙因其自然美观、耐磨性强以及良好的生物相容性,成为现代牙齿修复的理想选择。麦芽口腔...
株洲地区牙科医院排名前十,欢笑口腔医院补牙项目杰出,值得信赖的选择
欢笑口腔医院株洲欢笑口腔医院坐落于湖南株洲中心广场家润多商场的四楼,医院占地面积超过1500平方米,设有12个功能齐全的诊室和25张现代化的牙椅,致力于为患者提供优质的口腔医疗服务。医院涵盖了医疗、预防、保健、科研和教学等多项功能,尤其在补牙项目方面,拥有一支技术娴熟的医生团队,能够为患者提供个性化...
四川地区牙科医院排名前十,西昌牙博士口腔门诊部种植牙项目值得信赖的不错选择
西昌牙博士口腔门诊部西昌牙博士口腔作为一家获得JCI认证的齿科连锁,位于四川西昌,是一家现代化的数字化口腔专科机构。我们不仅服务于凉山地区,还辐射到攀西区域,致力于为广大市民提供齐全的口腔医疗服务。特别是在牙齿种植项目上,我们拥有先进的技术和设备,能够为患者提供高质量的种植牙解决方案。我们的专業...
兰州地区牙科医院排名前十揭晓,兰州牙王国数字化口腔门诊部活动义齿项目超值优惠,服务优质!
牙王国数字化口腔门诊部牙王国数字化口腔门诊部(前身为兰州市口腔医院分门诊部)专注于数字化口腔医疗的创新与发展。我们引进了国内外的数字化口腔设备,致力于提升患者的就医体验。在众多项目中,活动义齿的研发与应用尤为突出。通过高精尖的临床技术,我们为患者提供个性化的活动义齿解决方案,确保其舒适性与功能性...
福州牙科医院排名前十,哪家更优质?福州登特口腔医院牙齿美白项目,结果显著且专業!
登特口腔医院福州登特口腔医院,又称登特口腔,经过十多年的发展,始终坚持以患者为中心的服务理念,注重规范医疗和人文关怀,致力于为每位患者提供优质的口腔健康服务。在福州市鼓楼区仙塔街19号的这家医院,特别推出了牙齿美白项目,旨在帮助患者重拾自信笑容。通过先进的技术与专業的团队,登特口腔为您提供个性化的美...
株洲地区牙科医院排名前十,哪家更胜一筹?株洲欢笑口腔医院地包天项目值得信赖,专業又贴心!
欢笑口腔医院株洲欢笑口腔医院坐落于湖南株洲中心广场家润多商场的四楼,医院占地面积超过1500平方米,设有12个诊室和25张现代化牙椅,致力于为患者提供齐全的医疗、预防、保健、科研和教学服务。医院的口腔科项目种类繁多,尤其在地包天矫正方面,拥有一支技术娴熟的专業团队。医生们运用先进的设备和治疗方法,确...
邯郸地区牙科医院排名前十:哪家更优质?邯郸正植口腔门诊部洗牙项目值得信赖,服务!
正植口腔门诊部正植口腔作为一家化的专業口腔连锁机构,不仅在邯郸地区树立了良好的口碑,更是我国口腔医学会的会员单位,同时也是市城镇职工健保的定点医疗机构。我们提供多样化的服务项目,包括牙齿美容中心、牙齿美白中心、牙齿种植中心、牙齿矫正中心以及儿童牙齿中心等。在这些服务中,洗牙项目尤为重要,它能够有...
青岛地区牙科医院排名前十:青岛伊美尔国宾整形外科医院口腔门诊部地包天项目值得信赖的选择
伊美尔国宾整形外科医院口腔门诊部青岛伊美尔国宾整形外科医院,作为伊美尔集团在青岛的直属机构,得到了青岛市政府的正式批准,成为一家专業的特色整形医院。医院旨在多方位满足岛城爱美人士的需求,提供高质量的整形美容服务。其中,地包天矫正项目尤为突出,凭借先进的技术和经验很丰富的医师团队,为患者提供个性化的治疗...
江门地区牙科医院排名前十,蓬江松鼠口腔门诊部牙齿美白项目结果显著,值得信赖的选择!
蓬江松鼠口腔门诊部江门松鼠口腔是一家经过江门市蓬江区卫生健康局认证的正规口腔医疗机构,面积约1000平米,致力于为顾客提供专業的口腔服务。该院主要开展的项目包括牙齿种植、牙齿矫正、牙齿修复、补牙拔牙等,其中,牙齿美白项目尤为受到顾客的青睐。通过先进的技术与设备,松鼠口腔为每位顾客提供个性化的美白方案...
南京地区牙科医院排名前十,南京德牙联合口腔医院根管治疗项目杰出专業,值得信赖!
德牙联合口腔医院德牙联合口腔是一家地道的德系数字化口腔医院,拥有口腔种植中心、正畸中心、美白中心、牙齿修复中心等八大特色科室。医院引进了德国先进的设备和优质医材,严格筛选医生团队,联合德国硕士和博士,建立了中德医生智慧库。在5G信息数字化技术的支持下,德牙联合口腔致力于为每位顾客提供齐全优质的齿科服...
山西地区牙科医院排名前十,皓雅口腔门诊部牙齿美白项目结果显著,值得信赖的选择
太原皓雅口腔门诊部山西皓雅口腔门诊部,作为省卫生厅及太原市小店区的“文明单位”,是皓雅口腔连锁机构的一部分,致力于为广大患者提供高品质的口腔医疗服务。在国内范围内,皓雅口腔已在多个城市设立了30多家现代化综合口腔医院,赢得了百姓的广泛信赖,成为“平价口腔连锁医院”的代表。特别是在牙齿美白项目方面,皓...
厦门地区牙科医院排名前十,哪家更胜一筹?厦门峰煜口腔门诊部洗牙项目值得信赖!
峰煜口腔门诊部厦门峰煜口腔门诊部,凭借19年的专業经验,致力于提供杰出的口腔医疗服务,尤其在洗牙项目上更是表现突出。洗牙不仅能有效清除牙齿表面的污垢和牙石,还能预防牙龈炎等口腔疾病。作为厦门市的定点医疗单位,峰煜口腔在洗牙技术上不断创新,引入先进设备与专業团队,为每位患者提供个性化的护理方案。多年来...
嘉兴地区牙科医院排名前十,金铂利口腔门诊部地包天项目实力杰出,值得信赖的选择!
金铂利口腔门诊部金铂利口腔始终专注于为国内中产社会层次及外籍人士提供杰出的专科齿科服务。医院设有数字化种植中心、数字化正畸中心、修复美容科等九大专業科室,致力于满足不同患者的需求。其中,地包天项目尤为突出,通过先进的3D数字化设计技术,由专業医生团队进行个性化定制,确保每位患者都能获得很不错的治疗结果。金...
秦皇岛牙科医院排名前十,蓝天口腔牙齿美白项目结果显著,值得信赖的选择
蓝天口腔秦皇岛蓝天口腔,作为一家拥有15年历史的专業口腔机构,经过很多国家卫生部门的严格批准,致力于为广大爱牙人士提供高品质的口腔医疗服务。该院年均成功为数十万患者制定个性化的诊疗方案,赢得了良好的口碑和信任。在众多服务项目中,牙齿美白项目尤为突出,采用先进的技术和设备,帮助患者实现亮白自信的笑容。蓝天...
江西地区牙科医院排名前十,南昌辉煌口腔门诊部全瓷牙项目值得信赖与推荐!
南昌辉煌口腔门诊部南昌辉煌口腔是由江西省口腔医院的不错医师与国内外口腔医学医生共同创办的一家现代化口腔医疗机构,致力于成为所有地区有名的口腔连锁。我们提供多种口腔服务,包括牙齿种植、矫正、美白等。其中,全瓷牙项目尤为受到患者的青睐。全瓷牙采用先进材料,具备强大的美观性和耐用性,能够良好还原自然牙齿的...
河南地区牙科医院排名前十:新乡益尔口腔门诊部种植牙项目实力杰出,服务贴心专業
新乡益尔口腔门诊部新乡益尔口腔是新乡牧野区内一家享有盛誉的正规口腔专科医院,自1998年成立以来,已有24年的发展历程。医院位于新乡北部,周围交通便捷,设有专用停车场,方便患者前来就诊。在众多口腔医疗项目中,种植牙技术尤为突出。医院配备先进的设备和专業的医疗团队,为每位患者提供个性化的种植牙方案,旨...
岳阳地区牙科医院排名前十,平江致远口腔预防所牙齿美白项目结果显著,值得信赖的选择
平江致远口腔预防所平江致远口腔是一家经过卫生局严格审核的二级专科医院,致力于为患者提供高质量的口腔医疗服务。医院内设有先进的口腔CBCT机,支持多种口腔项目的开展,包括种植牙、牙齿矫正、美学修复、拔牙以及儿童牙科等。特别值得一提的是,牙齿美白项目在这里备受关注。通过专業的美白技术,患者能够有效去除牙...
山西地区牙科医院排名前十,哪家更具实力?晋中榆次莱特口腔门诊部活动义齿项目,专業值得信赖!
晋中榆次莱特口腔门诊部山西晋中榆次莱特口腔门诊部作为国内有名的莱特口腔连锁直营店,秉承欧美先进的口腔医疗理念,致力于为患者提供人性化的口腔服务。除了牙齿种植、牙齿矫正、牙齿美学修复等项目外,活动义齿项目尤为突出。该项目专为需要修复牙齿功能的患者设计,采用高品质材料,确保舒适性与美观性相结合。无论...
中山地区牙科医院排名前十,哪家更胜一筹?中山卡卡口腔门诊部烤瓷牙项目,品质杰出,值得信赖!
卡卡口腔门诊部广东中山卡卡口腔自2019年成立以来,作为有名卡卡的分支,快速发展成为一所设施齐全的口腔医疗机构。门诊占地近1000平方米,设有11张综合治疗牙椅,配备独立的多功能会议室和消毒供应区,具备层流手术室、儿童口腔成长宣教区及智能挂号体验区,确保每位患者享受到舒适的就诊体验。特别是在烤瓷...
福建地区牙科医院排名前十:福州维乐口腔门诊(台江中亭街店)牙齿矫正项目杰出表现,值得信赖的选择
福州维乐口腔门诊(台江中亭街店)福建维乐口腔,专注于通过预防措施推动全民的整体健康管理,致力于构建一个开放的“华夏口腔医疗平台”。作为一家有名的连锁机构,维乐口腔在福州地区设有12家分店,为广大市民提供便捷的口腔医疗服务。其中,台江中亭店位于台江路15号的城投大厦1楼及34楼,环境舒适,设备先进。...
四川地区牙科医院排名前十:哪家更具实力?西昌牙博士口腔门诊部根管治疗项目值得信赖的选择!
西昌牙博士口腔门诊部西昌牙博士口腔作为一家获得JCI认证的齿科连锁,位于四川西昌,致力于为凉山及攀西地区的居民提供专業的口腔医疗服务。除了牙齿种植、牙齿矫正、牙齿美学修复、牙齿美白、儿童齿科和牙周治疗等项目外,根管治疗也是其重要服务之一。该治疗能够有效解决牙齿内部感染问题,减轻患者的疼痛,保护自...
杭州地区牙科医院排名前十,哪家更胜一筹?杭州维多利亚口腔医院地包天项目值得信赖的优质选择!
维多利亚口腔医院杭州维多利亚口腔医院致力于引进国内外先进的技术设备,并结合不错的医生技术应用体系,为顾客提供高质量的口腔医疗服务。尤其在地包天项目上,我们采用先进的矫正技术,配合德国MELAG设备,确保治疗的高效率性和靠谱性。医院提供的服务包括美容冠、牙齿美白、洗牙及正畸等,旨在帮助患者改善口腔健康,...
临沂地区牙科医院排名前十,兰山德贝口腔门诊部牙齿矫正项目杰出非凡!
兰山德贝口腔门诊部临沂兰山德贝口腔门诊部是一家经过临沂市兰山区行政审批服务局严格审核的正规口腔医疗机构,致力于为广大患者提供优质的口腔健康服务。门诊部位于交通便利的临沂市兰山区新华路与银雀山路交汇处,具体地址为新华路38号,向南50米,方便患者前来就诊。我们特别强调牙齿矫正项目,采用先进的技术和设备...
扬州牙科医院排名前十,贝恩口腔医院洗牙项目值得信赖,专業高效率!
贝恩口腔医院扬州贝恩口腔医院,坐落于邗江区兴城西路189号(琼都宾馆斜对面),占地近3000平方米,设有种植中心、儿童齿科等八大专業中心,提供齐全的口腔预防、治疗、修复及美容服务。医院秉承着先进的健康治疗理念,拥有一支经验很丰富的医生团队,致力于打造德国品质的诊疗服务。在众多项目中,洗牙服务尤为突...
无锡地区牙科医院排名前十,推荐无锡美奥口腔门诊部的种植牙项目,专業可靠值得信赖!
美奥口腔门诊部无锡美奥口腔秉承了美奥的核心基因,融合了集团成熟的经营理念、服务标准和人才战略。凭借强大的技术支持和优质的服务质量,无锡美奥口腔致力于为无锡市民提供全新的口腔就诊体验,尤其在种植牙项目上更是表现杰出。我们拥有先进的种植技术和专業的医疗团队,能够为每位患者量身定制个性化的治疗方案,确...
海口牙科医院排名前十,哪家更具实力?海口龙华鼎点口腔诊所牙齿矫正项目值得信赖的选择!
龙华鼎点口腔诊所鼎点是一家经过当地相关部门严格审核的正规门诊部,致力于为患者提供高质量的口腔医疗服务。院内设有多项专業项目,包括种植牙、牙齿矫正、牙齿美白、全瓷牙和烤瓷牙等。其中,牙齿矫正项目尤为突出,采用先进的技术和设备,帮助患者实现美观与功能的双重提升。我们的专業团队将根据每位患者的具体情况,量...
扬州地区牙科医院排名前十,贝恩口腔医院全瓷牙项目值得信赖,专業优质服务尽显!
贝恩口腔医院扬州贝恩口腔医院坐落于邗江区兴城西路189号,正对琼都宾馆,医院占地近3000平方米,设有种植中心、儿童齿科等八大专業中心,涵盖了预防、治疗、修复和美容等多种服务。医院秉承先进的健康治疗理念,拥有一支专業的医生团队,致力于为患者提供高质量的诊疗服务。特别值得一提的是,全瓷牙项目,采用...
南宁牙科医院排名前十,恺泽恺贝口腔门诊部根管治疗项目杰出专業,值得信赖!
恺泽恺贝口腔门诊部恺泽口腔自2013年成立以来,经过多次演变,终于2019年正式更名为恺泽口腔。坐落于南宁凤岭北,拥有超过800平米的宽敞营业空间,致力于为患者提供优质的口腔医疗服务。在众多口腔项目中,根管治疗尤为重要。该项目专注于修复受损牙齿,缓解患者疼痛,防止牙齿进一步恶化。恺泽口腔的专業...
天津地区牙科医院排名前十,悦未来口腔门诊部补牙项目杰出表现,值得信赖的选择
悦未来口腔门诊部未来口腔成立于1998年,初位于北京,2005年迁至天津,至今已有23年的连锁历史。天津悦未来口腔门诊部在河西区和南开区设有两家分院,致力于为患者提供优质的口腔医疗服务。 河西店地址:天津市河西区黑牛城道与洪泽南路交口东南侧三诚里9号楼。我们的团队由博士级专業人士组成,涵盖了...
常州牙科医院排名前十,哪家更不错?北极星口腔医院地包天项目值得信赖,专業且高效率!
北极星口腔医院常州北极星口腔医院致力于口腔医学的深入研究与齐全服务,特别是在地包天项目方面,医院结合国内患者的需求,开发了一套独特的“量身定制”医疗服务模式。该模式涵盖了口腔种植、正畸、修复、治疗及保健等多个领域,为患者提供个性化的解决方案。地包天作为一种常见的口腔畸形,医院拥有先进的技术和经验很丰富...
济南地区牙科医院排名前十:哪家更优质?济南医大口腔医院烤瓷牙项目值得信赖,专業杰出!
医大口腔医院济南医大口腔医院自2017年成立以来,致力于提供齐全的口腔医疗服务,包括预防、保健、种植、修复、正畸等多个领域。医院设有化纤厂路院区、洪山路西院区和高新区奥林分院,作为省市医疗保定点,服务范围广泛。在众多口腔项目中,烤瓷牙的治疗尤为受到患者的青睐。烤瓷牙不仅能够有效修复牙齿缺损,还具备良...
贵州地区牙科医院排名前十,哪家更具实力?贵州利美康口腔美容外科医院(总部)种植牙项目,专業可信赖!
利美康口腔美容外科医院(总部)贵州利美康医院(总部)自1991年成立以来,一直致力于为患者提供高品质的医疗服务。医院占地面积达到8760平方米,经过贵州省卫生厅的严格审核,成为初级专科医院,具备4级手术难度资质的精品级整形医院,同时也是贵阳市市健保定点医院,获得ISO质量认证。医院在整形领域已获得7...
深圳牙科医院排名前十,哪家更出色?深圳麦芽口腔门诊部牙齿美白项目结果显著,值得信赖!
麦芽口腔门诊部麦芽口腔(MaiyaDental)作为大湾区有名的口腔连锁机构,致力于提供高质量的口腔健康服务。作为奥运口腔健康管理基地和深圳市健保定点单位,麦芽口腔在业内享有良好声誉。其在深圳罗湖、南山、宝安、福田、龙华,以及惠州、厦门等地设有七家分院,拥有超过30000平米的总诊疗空间和30...
江西地区牙科医院排名前十,南昌辉煌口腔门诊部地包天项目杰出非凡!
南昌辉煌口腔门诊部南昌辉煌口腔是一家由江西省口腔医院的不错医师与国内外口腔医学医生共同创办的机构,致力于成为所有地区先进的口腔连锁。该院不仅提供牙齿种植、矫正、修复、美白等多项服务,还特别注重地包天矫正项目。地包天是一种常见的牙齿畸形,影响美观与咀嚼功能。南昌辉煌口腔采用先进的技术和个性化的治疗方案...
湖南地区牙科医院排名前十,湖南优享口腔门诊部(连锁)根管治疗项目杰出表现,值得信赖的选择!
优享口腔门诊部(连锁)湖南优享口腔门诊部自2018年成立以来,凭借专業的医疗团队和杰出的运营管理,快速发展成为一家在省内拥有九家分院的有名口腔医疗连锁机构。我们提供多样化的口腔诊疗项目,包括口腔种植、牙齿矫正、美学修复、儿童齿科、牙周治疗及综合牙科等。其中,根管治疗是我们重点推荐的项目之一。...
青岛地区牙科医院排名前十,青岛天一牙博士口腔医院(城阳医院)种植牙项目值得信赖,专業优质服务!
天一牙博士口腔医院(城阳医院)青岛天一牙博士口腔医院,作为一家市健保单位,隶属于正宗的牙博士口腔连锁体系,专注于为患者提供高品质的口腔医疗服务。医院位于城阳区正阳中路1603号,交通便利,环境舒适。特别值得一提的是,医院的种植牙项目,采用先进的技术和设备,由经验很丰富的牙科医生团队进行操作,确保...
台州牙科医院排名前十,哪家更优?台州康贝佳口腔医院全瓷牙项目值得信赖的选择!
康贝佳口腔医院台州康贝佳口腔医院,营业面积接近3000平方米,配备了十余位专業的口腔医生,涵盖口腔种植、正畸、儿童牙科及全科医疗等多个领域。医院致力于提供先进的口腔医疗服务,尤其在全瓷牙项目上,凭借高端的数字化技术和个性化的治疗方案,帮助患者实现自然美观的牙齿修复。全瓷牙不仅具有良好的美观结果,还能...
贵阳地区牙科医院排名前十,哪家更具实力?贵阳丁泽鲤口腔地包天项目值得信赖,专業可靠!
丁泽鲤口腔丁泽鲤口腔门诊部成立于1987年,由华西医大毕业的丁泽鲤老先生创办。他曾担任贵阳市排名靠前人民医院口腔科主丨任,并在我国口腔医学会贵阳分会担任委员。经过多年的发展,门诊部于2005年成功升级为口腔门诊部,成为省市健保定点机构。特别是在地包天矫正项目方面,门诊部积累了丰富的经验,采用先进的技术和设...
株洲地区牙科医院排名前十,欢笑口腔医院牙齿矫正项目优质杰出!
欢笑口腔医院株洲欢笑口腔医院坐落于湖南株洲中心广场家润多商场的四楼,拥有超过1500平方米的宽敞空间,设有12个现代化诊室和25张先进的牙椅,致力于提供齐全的口腔医疗服务。医院不仅涵盖了医疗、预防、保健、科研与教学等多项功能,尤其在牙齿矫正方面更是表现突出。医院拥有一支技术娴熟的医生团队,运用先进的...
义乌地区牙科医院排名前十,傅氏口腔推出超值义齿项目,专業值得信赖!
傅氏口腔义乌傅氏口腔(原傅恭悌口腔诊所)自成立以来,已经走过了三十个春秋。由原济南军区总院口腔科的主治医生傅恭悌亲自创办,凭借其杰出的医术和对患者的关怀,赢得了广大百姓的信任与支持,逐步扩展了诊所的规模。如今,诊所内设有多种专業科室,包括种植牙、正畸、牙齿修复、牙齿美白、儿童齿科和综合齿科等,其中活...
潍坊地区牙科医院排名前十,潍坊高新张宏鹏口腔诊所根管治疗项目优质推荐,值得信赖的选择
高新张宏鹏口腔诊所潍坊高新区张宏鹏口腔诊所自2019年4月25日成立以来,凭借其专業的医疗服务和优质的患者体验,快速成为本地区口腔健康的先锋。诊所的统一社会信用代码为92370700MA3PM3K86M,营业面积达到309平米,属于中型口腔医疗机构。我们提供多种口腔服务,包括牙齿种植、矫正、牙周治疗...
河南地区牙科医院排名前十,范县正植口腔门诊部全瓷牙项目值得信赖的优选!
范县正植口腔门诊部范县正植口腔门诊,自1989年创办以来,已走过33个春秋,亦被称为张洋治口腔门诊。作为获得当地卫生部门认可的大型综合性口腔医疗机构,现已在濮阳地区开设了6家连锁门诊,总面积达到约1000平方米,涵盖四层楼的空间。门诊内设有多个专業科室,包括VIP种植专区、VIP矫正专区、修复专科、...
浙江地区牙科医院排名前十,名禾口腔门诊部拔牙项目值得信赖,专業优质服务!
丽水名禾口腔门诊部浙江丽水名禾口腔门诊部是一家受到政策支持的口腔医疗机构,致力于为患者提供优质的牙科服务。门诊部与宁波牙科产业园共享丰富的牙科病例和资料,汇聚了一批在国内外享有盛誉的专業医生,确保每位患者都能得到很不错的医疗方案。在众多服务项目中,拔牙项目尤为突出。无论是因蛀牙、牙齿拥挤还是其他口腔问...
上海地区牙科医院排名前十,哪家更胜一筹?上海博厚口腔医院烤瓷牙项目专業可靠,值得信赖!
博厚口腔医院上海博厚口腔医院是一所历史悠久的医疗机构,拥有76年的辉煌历史,凭借杰出的医术和高尚的医德,赢得了上海市民的广泛信赖。医院设有多个专業齿科中心,其中烤瓷牙项目尤为突出。烤瓷牙作为一种先进的修复技术,不仅能够有效改善牙齿的外观,还能恢复其功能,深受患者喜爱。医院的专業团队将为每位患者提供个...
西安牙科医院排名前十,哪家更胜一筹?西安圣贝口腔门诊牙齿矫正项目专業可靠,值得信赖!
圣贝口腔门诊西安莲湖圣贝口腔门诊部占地1500平米,现有18名执业医生,其中包括3名主丨任医师和2名副主丨任医师,以及4名技师,整个团队共计60名医疗专業人员。医院始终秉持“仁心、至善”的服务宗旨,致力于为西安市及周边地区的居民提供齐全的口腔健康服务。特别是在牙齿矫正项目方面,我们提供专業的技术支持和标...
武汉地区牙科医院排名前十,咿呀口腔门诊(光谷店)烤瓷牙项目值得信赖的选择!
咿呀口腔门诊(光谷店)武汉咿呀口腔光谷店,地处关山大道218附23号,距离武汉K11select仅有700米的便利位置。作为武汉大学口腔医院的合作单位,咿呀口腔不仅享有国内联保牙科医院的荣誉,还提供一系列专業的牙科服务。其中,烤瓷牙项目尤为突出,采用先进的材料与技术,能够有效提升牙齿的美观度和耐用性...
金华地区牙科医院排名前十,华康口腔医院根管治疗项目杰出表现,值得信赖的选择
华康口腔医院金华华康口腔医院作为一家正规的二级口腔专科医疗机构,不仅是金华市医疗保险的定点单位,也是市价格信得过单位和市口腔协会的常务理事单位。此外,医院还被指定为市区学生窝沟封闭的定点单位,方便了广大学生的口腔健康管理。医院交通便利,环境整洁明亮,空间宽敞舒适,为患者提供了良好的就医体验。特别是在...
青岛地区牙科医院排名前十,青岛维乐口腔医院(保利分院)根管治疗项目杰出专業
维乐口腔医院(保利分院)青岛维乐口腔医院作为青岛市健保定点单位,隶属于有名的口腔医疗连锁——美维乐医疗管理有限公司。该医院不仅提供口腔保健、预防和医疗服务,还设有多个专業中心,其中根管治疗项目尤为突出。根管治疗是针对牙齿内部感染或损伤的一项重要治疗,旨在消除病变组织,保留天然牙齿。医院拥有先进的...
廊坊地区牙科医院排名前十,哪家更胜一筹?廊坊舒雅口腔门诊部牙齿矫正项目专業可靠,值得信赖的选择!
舒雅口腔门诊部廊坊市舒雅口腔是经过卫生部正式批准的专業牙科机构,致力于为患者提供齐全的口腔健康服务。自2020年6月8日成立以来,医院在128平方米的门诊部内,开展了多项牙科项目,包括牙齿种植、牙齿修复、牙齿美白、口腔身体科及儿童牙科等。其中,牙齿矫正项目尤为突出,采用先进的矫正技术和设备,帮助患者改...
长春地区牙科医院排名前十,哪家更优质?优丽仕口腔门诊部牙齿美白项目结果显著,值得信赖!
优丽仕口腔门诊部长春优丽仕口腔门诊部作为高端口腔医疗的佼佼者,致力于为每位顾客提供杰出的美式牙科服务。我们引进了所有地区先进的口腔医疗技术,特别是在牙齿美白项目上,采用先进的美白技术,为您打造璀璨笑容。无论是黄牙、黑牙还是色素沉淀,我们的专業团队都能为您量身定制个性化的美白方案,确保结果显著且靠谱...
太原地区牙科医院排名前十,哪家更不错?太原维乐口腔牙齿矫正项目值得信赖,服务优质!
维乐口腔维乐口腔自1998年成立以来,已发展成为一个综合性的口腔医疗集团,涵盖医疗、投资及医院运营等多个领域。作为行业的先锋,维乐口腔特别注重专業化的口腔健康检查,致力于为患者提供高质量的医疗服务。其中,牙齿矫正项目尤为突出,采用先进的技术和设备,为每位患者量身定制个性化的矫正方案。无论是传统的金属牙套...
中山地区牙科医院排名前十,哪家更值得信赖?中山香山口腔医院补牙项目专業高效率,服务!
香山口腔医院中山香山口腔医院是一所具备专業资质的二级优等口腔专科医院,坐落于广东省中山市东明路32号15层2,医院建筑面积超过3000平方米,环境优雅,设施齐全。医院内设有多个先进的口腔科室,包括数字化种植牙中心和牙齿隐形矫正中心。其中,补牙项目尤为受到患者的青睐。医院采用先进的补牙技术,配合高质...
安徽地区牙科医院排名前十,黄山牙博士口腔门诊部烤瓷牙项目值得信赖的选择!
黄山牙博士口腔门诊部黄山牙博士口腔门诊部坐落于安徽黄山市的核心地带,经过上级卫生部门的严格审核,已成为一家现代化的国内连锁口腔医疗机构。门诊部下设阳湖和百大两个分院,总面积超过500平方米,配置了10余台先进的牙科综合治疗椅,致力于为患者提供高品质的口腔服务。在众多项目中,烤瓷牙修复尤为突出,凭借其...
嘉兴地区牙科医院排名前十,平湖爱尚口腔门诊部全瓷牙项目值得信赖的优选!
平湖爱尚口腔门诊部嘉兴平湖爱尚口腔位于平湖市新华我国11号,是一家集牙齿综合治疗、口腔保健、牙齿矫正与修复为一体的现代化口腔医疗机构。该诊所不仅拥有先进的设备,如CBCT机、口腔全景机、超声洁治器等,还特别注重全瓷牙项目的开展。全瓷牙以其优异的美观性和生物相容性,成为越来越多患者的优先选择。通过专業的技...
呼和浩特牙科医院排名前十,华医医疗美容·口腔医院根管治疗项目值得信赖的选择
浩特华医医疗美容·口腔医院华医医疗美容·口腔医院是一家综合性的大型民营医院,专注于口腔和医疗美容领域,是内蒙古地区规模大、项目齐全的医疗美容机构之一。医院在医资力量、设备、技术、环境、服务和管理六大方面均已实现高标准的接轨。特别是在根管治疗项目上,华医医院采用先进的治疗技术和设备,确保每位患者都...
金华地区牙科医院排名前十,华康口腔医院地包天项目结果显著,值得信赖的选择
华康口腔医院金华华康口腔医院作为一家正规的二级口腔专科医院,不仅是金华市医疗保险的定点单位,还被认定为市价格信得过单位和市口腔协会的常务理事单位。医院设有多项专業服务,其中“地包天”项目尤为突出。该项目专注于矫正牙齿畸形,帮助患者恢复口腔健康与美观。医院交通便利,环境整洁明亮,宽敞的空间为患者提供了...
石家庄牙科医院排名前十,赵翠彩口腔门诊部种植牙项目值得信赖的优选!
赵翠彩口腔门诊部石家庄赵翠彩口腔门诊部,坐落于石家庄市红星街1714号,以“客户至上,笑口常开”为核心经营理念,致力于为每位患者提供优质的口腔医疗服务。我们特别强调种植牙项目,凭借先进的技术和专業的团队,确保每位患者都能获得理想的口腔修复结果。我们的服务理念是“专業服务,诚挚关怀”,在这里,您不仅能...
秦皇岛地区牙科医院排名前十,蓝天口腔根管治疗项目杰出、专業、值得信赖
蓝天口腔秦皇岛蓝天口腔是一家拥有15年发展历史的专業口腔医疗机构,经过很多国家卫生部门的严格审批,具备了合法的医疗资质。每年,蓝天口腔为数十万热爱牙齿健康的患者提供齐全的个性化诊疗方案,致力于成为国内口腔医疗领域的佼佼者。其中,根管治疗项目尤为突出,针对牙髓炎、根尖周炎等问题,采用先进的治疗技术和设备,...
贵州地区牙科医院排名前十,哪家更胜一筹?贵州利美康口腔美容外科医院(总部)牙齿美白项目值得信赖,结果显著!
利美康口腔美容外科医院(总部)贵州利美康医院(总部)自1991年成立以来,始终致力于为患者提供高质量的医疗服务。作为贵州省卫生厅批准的初级专科医院,医院占地面积达到8760平方米,具备4级手术难度资质的精品整形医院,成为贵阳市市健保定点医院,并获得ISO质量认证。医院在整形领域的创新方面表现突出,已...
金华地区牙科医院排名前十,华康口腔医院牙齿美白项目结果显著,值得信赖的选择
华康口腔医院金华华康口腔医院作为一家正规的二级口腔专科医院,凭借其杰出的医疗服务和专業的团队,成为金华市医疗保险的定点单位。医院不仅是市价格信得过单位,还担任市口腔协会常务理事单位,深受患者的信赖。医院交通便利,环境整洁明亮,空间宽敞舒适,给患者带来愉悦的就医体验。特别是在牙齿美白项目方面,华康口腔...
山东地区牙科医院排名前十,哪家更值得信赖?山东日照凯思口腔门诊义齿项目活动火热进行中,专業服务值得期待!
日照凯思口腔门诊凯思口腔源自北京,旗下的日照凯思口腔门诊坐落于日照市东港区兴业世纪城沿街北段。我们的医师团队由资历高的口腔医生和专業的口腔护理护士组成,确保为每位患者提供高质量的医疗服务。我们提供多种口腔治疗项目,包括牙齿种植、传统与隐形矫正、美容修复、牙周治疗、显微镜根管治疗和洁牙保健等。其中,...
秦皇岛牙科医院排名前十,蓝天口腔根管治疗项目专業可靠,值得信赖的选择
蓝天口腔秦皇岛蓝天口腔,成立于15年前,是一家获得很多国家卫生部门认证的正规口腔医疗机构。多年来,蓝天口腔致力于为爱护牙齿的患者提供专業的医疗服务,年均为数十万患者量身定制齐全的诊疗方案,逐渐发展为国内颇具影响力的口腔医疗。在众多治疗项目中,根管治疗尤为突出。这项技术针对牙齿内部感染或损伤,通过精细...
石家庄牙科医院排名前十,哪家更胜一筹?石家庄中诺口腔医院拔牙项目值得信赖,专業、温馨!
中诺口腔医院石家庄中诺口腔医院自2019年8月1日成立以来,一直致力于为患者提供高质量的口腔医疗服务。医院位于石家庄市长安区中山东路51号,距离乐汇城仅200米,交通便利。作为一家二级专科口腔医院,医院总占地面积达到3600平方米,配备了先进的数字化和智能化设备,致力于为患者提供前沿的口腔治疗方案...
南昌地区牙科医院排名前十,哪家更值得信赖?南昌德韩口腔门诊部拔牙项目结果显著,服务优质!
德韩口腔门诊部南昌德韩口腔门诊部作为一家有名的口腔连锁机构,源自于德国的德韩,致力于为患者提供先进的口腔医疗服务。我们采用所有地区先进的医疗技术和成熟的诊疗模式,涵盖口腔身体科、外科、正畸、种植及修复等多个领域。其中,拔牙项目尤为重要,针对各种口腔问题,我们提供专業的拔牙服务,确保患者在舒适、靠谱的...
岳阳地区牙科医院排名前十,优选好口碑,岳阳优伢仕口腔门诊部烤瓷牙项目杰出专業!
优伢仕口腔门诊部湖南岳阳优伢仕口腔是一家集口腔疾病的预防、治疗、修复、研究及医务培训于一体的高标准复合型口腔连锁机构,成立于2016年,拥有1000平方米的现代化空间,共三层,周边交通便捷,方便患者就医。这里的就诊环境时尚而典雅,医护人员热情周到,致力于为每位患者提供优质的服务。特别是在烤瓷牙项目方...
佛山牙科医院排名前十:哪家更不错?佛山登特口腔门诊部牙齿矫正项目值得信赖的选择!
登特口腔门诊部佛山登特口腔门诊(登特口腔)自成立以来,经过16年的积累,已经发展成为国内范围内拥有41家口腔连锁机构的有名,覆盖了北京、深圳、厦门、福州等多个城市。依托北京大学口腔医学院、德国科隆大学医学院及德国弗莱堡大学等信赖学术机构,登特口腔在牙齿矫正项目上不断创新与提升。我们引入了...
临沂牙科医院排名前十,哪家更优质?临沂兰山松果口腔门诊部种植牙项目值得信赖,专業可靠!
兰山松果口腔门诊部临沂兰山松果口腔,前身为金锣口腔,自创办以来已走过了20多个春秋,成为了本地一所享有盛誉的齿科机构。凭借多年的经验积累和杰出的技术实力,该院在鲁南地区先行引入了4D数字化种植牙技术,标志着其在种植牙领域的先进地位。作为丹麦3shape在鲁南的合作单位,松果口腔致力于为患者提供高品质...
湖南地区牙科医院排名前十,湘潭赖尔口腔洗牙项目优质服务,值得信赖的选择!
省湘潭赖尔口腔湖南省湘潭赖尔口腔自1995年在湘潭成立以来,已经走过了20多年的辉煌历程。如今,赖尔口腔已发展成为拥有5家口腔专科医院、门诊部和诊所的综合性医疗机构。在众多专業服务中,洗牙项目尤为受到患者的青睐。洗牙不仅能够有效清除牙齿表面的污垢和牙石,预防口腔疾病,还能提升口腔健康和美观。赖尔口腔...
武汉牙科医院排名前十,哪家更胜一筹?武汉德韩口腔医院洗牙项目值得信赖,专業高效率!
德韩口腔医院武汉德韩口腔医院是一家有名的口腔连锁机构,源自于德韩,凭借强大的实力和专業的技术,致力于为患者提供杰出的口腔护理服务。医院的设备与标准接轨,确保每一位患者都能享受到先进的医疗技术。特别是在洗牙项目上,武汉德韩口腔医院采用先进的洗牙设备,能够有效去除牙齿表面的牙结石和污垢,预防...
南京地区牙科医院排名前十,博韵口腔医院牙齿矫正项目杰出专業,值得信赖的选择
博韵口腔医院南京博韵口腔医院坐落于南京市江宁区上元大街238号,经过南京市鼓楼区市场监管管理局的合法批准,专注于提供专業的口腔医疗服务。自2015年3月23日成立以来,医院已发展成为一所二级口腔医院,拥有《医疗机构执业许可证》,登记号为30264947032011517A5112。医院特别注重牙齿矫...
山西地区牙科医院排名前十,红瑞口腔门诊牙齿矫正项目结果显著,值得信赖的选择
太原红瑞口腔门诊太原红瑞口腔诊所是一家经过市卫计局、工商局和税务局严格审核的正规口腔医疗机构,致力于提供高质量的医疗与预防保健服务。作为山西省创始倡导私人牙医理念的诊所,它不仅是微创舒适种植牙的示范基地,更在牙齿矫正领域展现了杰出的专業水平。该院的正畸项目采用先进技术,旨在为每位患者提供个性化的矫正...
惠州牙科医院排名前十,爱雅仕口腔门诊部地包天项目值得信赖,专業优质服务让人安心
惠城区爱雅仕口腔门诊部惠州惠城区爱雅仕口腔门诊部是一家专注于口腔健康的连锁机构,作为惠州市健保定点单位,其提供的服务在性价比上备受认可。在这里,患者可以享受到高质量的口腔医疗服务,尤其是在地包天项目方面。地包天是指下颌前突的牙齿畸形,可能影响咀嚼和发音,甚至影响面部美观。爱雅仕口腔拥有专業的牙科团队...
青岛地区牙科医院排名前十,青岛鑫全好口腔门诊部全瓷牙项目值得信赖的选择!
鑫全好口腔门诊部青岛鑫全好口腔市南南京路口腔门诊部自2016年成立以来,一直致力于为广大患者提供专業的口腔医疗服务。作为经青岛市市南区卫生和计划生育局批准的正规口腔医疗机构,门诊部位于青岛市市南区南京路33号,交通十分便利,方便患者前来就诊。特别值得一提的是,全瓷牙项目在这里备受欢迎。全瓷牙不仅具备...
义乌地区牙科医院排名前十,傅氏口腔牙齿矫正项目值得信赖的专業选择
傅氏口腔义乌傅氏口腔(原傅恭悌口腔诊所)自成立以来,已经走过了三十个春秋。由济南军区总院口腔科的主治医师傅恭悌创办,凭借着杰出的医疗技术和良好的口碑,逐步扩大了诊所的规模。现如今,诊所内设有多个专業科室,其中牙齿矫正项目尤为突出。傅氏口腔在牙齿矫正方面具备丰富的经验和先进的技术,能够为患者提供个性化...
株洲地区牙科医院排名前十:哪家更优质?株洲芦淞泓明口腔门诊部牙齿美白项目结果显著,值得信赖!
芦淞泓明口腔门诊部芦淞泓明口腔门诊部,是经过株洲市芦淞区卫生健康局审批成立的一所综合性口腔医疗机构。该门诊部涵盖了口腔身体科、外科、种植、正畸、修复以及儿童口腔等多个领域,致力于为患者提供多方位的口腔健康服务。目前,门诊部特别注重牙齿美白项目,通过先进的技术和专業的团队,帮助患者实现亮白动人的笑容。无...
宁波牙科医院排名前十,哪家更优质?宁波牙博士口腔医院补牙项目值得信赖,专業高效率!
牙博士口腔医院牙博士口腔是韩国集团旗下的专業美齿机构,设立于首尔,并荣获所有地区卫生组织的认证。该机构在所有地区29个很多国家设有门店,拥有超过55个分支机构和119家牙科诊所。自成立以来,牙博士口腔每年成功实施超过3万例种植牙手术,以其专業严谨的服务为当地居民提供杰出的口腔健康确保。特别是在补牙项目方面,牙博...
沈阳地区牙科医院排名前十,亿美佳口腔门诊部牙齿矫正项目值得信赖,专業优质服务让您安心
亿美佳口腔门诊部沈阳亿美佳口腔门诊部是一家专業的齿科连锁机构,致力于为患者提供高质量的口腔医疗服务。作为沈阳市健保定点单位,亿美佳在患者心中树立了良好的口碑。目前,门诊部在沈阳设有两家分院,分别位于五中门诊和和平门诊,方便市民就医。特别是在牙齿矫正项目方面,亿美佳拥有先进的技术和设备,能够为各年龄段...
石家庄牙科医院排名前十,哪家更不错?全博口腔(保利门诊部)根管治疗项目值得信赖,专業可靠!
全博口腔(保利门诊部)石家庄全博口腔保利门诊坐落于石家庄市裕华区体育南大街与南二环东路的交汇处西北方,是全博口腔连锁中的第九家门诊,原名为“三博口腔”。该门诊致力于为患者提供高质量的口腔医疗服务,特别是在根管治疗方面,拥有先进的设备和专業的医护团队。根管治疗是针对牙髓炎和根尖周围病变的重要治疗手段,...
兰州地区牙科医院排名前十,哪家更值得信赖?兰州牙王国数字化口腔门诊部补牙项目,专業高效率服务令人满意!
牙王国数字化口腔门诊部牙王国数字化口腔门诊部(原兰州市口腔医院分门诊部)致力于推动数字化口腔医疗的发展。我们引进了国内外先进的数字化口腔设备,力求为患者提供更高效率、更更准的诊疗服务。在补牙项目方面,我们采用先进的技术,结合数字化影像系统,确保每一位患者都能享受到个性化的治疗方案。我们的专業团队经...
温州牙科医院排名前十,温州爱牙故事口腔门诊(巴黎大厦店)烤瓷牙项目值得信赖,专業杰出!
爱牙故事口腔门诊(巴黎大厦店)温州爱牙故事口腔门诊自2012年成立以来,经过很多国家卫生健康委员会的严格批准,成为了一家专業的医疗机构,登记号为:PDY10097733030217D1522。作为温州市民营口腔医疗协会的秘书长单位,同时也是民营口腔医疗协会的学术培训基地,爱牙故事不断提升医疗服务质量。目...
大连地区牙科医院排名前十,悦己时医疗美容口腔医院的牙齿矫正项目杰出非凡,值得信赖!
悦己时医疗美容口腔医院大连时光医疗美容连锁机构自2018年7月在大连市正式成立,位于大连市沙河口区中山路45112号,地理位置优越,紧邻享有盛誉的星海广场。这里交通便利,周边环境优雅,为顾客提供了舒适的就医体验。机构致力于提供高品质的医疗美容服务,其中牙齿矫正项目尤为突出。专業的牙科团队运用先进的...
徐州牙科医院排名前十,哪家更胜一筹?徐州诺恩口腔门诊部烤瓷牙项目值得信赖的选择!
诺恩口腔门诊部医院简介: 诺恩口腔是一家位于徐州的本土齿科医院,自成立以来,始终致力于为广大的牙友们提供健康、舒适且美观的就诊环境。医院拥有先进的医疗设备和专業的医护团队,确保每位患者都能享受到优质的口腔护理服务。其中,烤瓷牙项目尤为突出,采用科技先进材料,能够有效恢复牙齿的自然美观与功能,深受患者...
岳阳地区牙科医院排名前十,致远口腔预防所拔牙项目值得信赖,专業杰出!
平江致远口腔预防所平江致远口腔医院作为经过卫生局严格审核的二级专科医疗机构,致力于为患者提供高质量的口腔健康服务。医院内设有多种专業项目,包括种植牙、牙齿矫正、美学修复及儿牙等。其中,拔牙项目尤为重要,针对不同患者的需求,医院配备了先进的设备和经验很丰富的医师团队,确保在拔牙过程中靠谱、舒适、快速。医...
呼和浩特地区牙科医院排名前十,华医医疗美容·口腔医院种植牙项目杰出表现
浩特华医医疗美容·口腔医院华医医疗美容·口腔医院作为内蒙古地区先进的民营医疗机构,专注于口腔和医美领域的综合服务。医院不仅规模庞大,项目种类丰富,而且在种植牙项目上更是展现出杰出的专業水平。医院引进了先进的种植技术和设备,配备经验很丰富的医疗团队,为每位患者提供个性化的种植方案。无论是缺失牙齿的修复,...
上海地区牙科医院排名前十,哪家更值得信赖?上海丽洁口腔门诊部种植牙项目杰出优质!
丽洁口腔门诊部上海丽洁口腔门诊部自2011年成立以来,始终致力于为患者提供高品质的口腔医疗服务。位于上海繁华的黄浦区淮海中路283号香港广场南座906~908,门诊面积约400平米,环境舒适。特别是在种植牙项目上,门诊部引进了先进的技术与设备,拥有经验很丰富的专業团队,能够为患者提供个性化的种植方案。...
山西牙科医院排名前十,哪家更胜一筹?晋中榆次莱特口腔门诊部义齿项目活动精彩纷呈,值得关注!
晋中榆次莱特口腔门诊部山西晋中榆次莱特口腔门诊部作为国内有名莱特口腔连锁的直营店,秉承欧美先进的口腔医疗理念,致力于为患者提供优质的人性化口腔服务。在众多专業项目中,活动义齿作为一项重要服务,受到了患者的广泛关注。该项目旨在为缺失牙齿的患者提供舒适且美观的修复解决方案,帮助他们恢复正常的咀嚼功能...
江门地区牙科医院排名前十,哪家更值得信赖?蓬江松鼠口腔门诊部拔牙项目专業可靠!
蓬江松鼠口腔门诊部江门松鼠口腔是一家经过江门市蓬江区卫生健康局正式批准的专業口腔医疗机构,拥有约1000平米的宽敞空间。该院致力于提供多样化的口腔服务,涵盖牙齿种植、矫正、修复、补牙及拔牙等项目。在拔牙服务方面,松鼠口腔采用先进的微创技术,确保患者在整个过程中体验到舒适的舒适感。医院的环境温馨宜人,...
广东地区牙科医院排名前十,香山口腔医院牙齿美白项目结果显著,服务优质!
中山香山口腔医院中山香山口腔医院是一家经过卫生主管部门认证的二甲口腔专科医疗机构,坐落于广东省中山市东明路。医院致力于为患者提供齐全的口腔保健、治疗及预防教育服务,并积极开展科研工作,拥有超过三千平方米的现代化设施。特别值得一提的是,医院设有专業的牙齿美白项目,采用先进的技术和设备,帮助患者实现亮白...
广州地区牙科医院排名前十,暨南雅皓口腔门诊部全瓷牙项目值得信赖的选择!
暨南雅皓口腔门诊部广州暨南雅皓口腔门诊部坐落于广州市天河区天河东路,是暨南大学在广州设立的一站式口腔诊疗中心。该中心汇聚了来自暨南大学和惠州口腔医院的资历高主丨任医师、副主丨任医师以及硕士、博士团队,致力于提供齐全的口腔诊疗和保健服务。特别是在全瓷牙项目上,门诊部采用先进技术,确保每一位患者都能获得自然美...
南昌牙科医院排名前十,哪家更值得信赖?南昌维乐口腔医院全瓷牙项目,专業且值得推荐!
维乐口腔医院维乐口腔作为一家有名的连锁口腔医疗,在南昌地区已经开设了四家门诊,分别位于朝阳新城医院、红谷滩万达门诊、万达星城门诊和起凤路门诊。患者在维乐口腔就诊时,除了能够享受到专業的牙科服务外,还可以在购物中心内轻松购物,令候诊时间变得愉快而充实。特别值得一提的是,维乐口腔的全瓷牙项目,凭借其...
东莞牙科医院排名前十:哪家更具实力?东城好佰年口腔门诊部全瓷牙项目值得信赖的选择!
东城好佰年口腔门诊部东莞东城好佰年口腔门诊部坐落于东莞市核心区域的东城区世博广场H区4楼,拥有超过2000平方米的宽敞空间。作为经过东莞市卫生健康局批准的正规连锁牙科机构,其总部设在香港,致力于提供专業的口腔健康医疗服务及技术培训。特别值得一提的是,门诊部的全瓷牙项目,采用先进的材料和技术,旨在为患...
台州牙科医院排名前十,哪家更不错?台州艺星医美整形医院(口腔正畸科)洗牙项目值得信赖,专業又贴心!
艺星医美整形医院(口腔正畸科)台州艺星医疗美容医院的口腔正畸项目是医院的一大亮点,特别是在洗牙服务方面,备受患者青睐。医院特邀资历高正畸主丨任医师马昱,凭借其丰富的临床经验,提供包括金属托槽矫正、隐适美、时代天使隐形矫正等多种先进技术。同时,针对儿童的齿科早期诱导矫治,医院也开展了罗慕、MRC、ETA等...
青岛牙科医院排名前十,艾诺口腔诊所根管治疗项目值得信赖的专業选择
艾诺口腔诊所青岛艾诺口腔诊所是一家现代化的高端连锁口腔医疗机构,自2019年成立以来,已在青岛开设了两家分院。诊所设有矫正齿科、种植齿科、美学齿科、儿童齿科、牙周齿科及常规齿科六大科室,旨在为不同顾客提供齐全的口腔护理服务。其中,根管治疗项目尤为突出。该治疗旨在清除牙齿内部的感染和炎症,保护牙齿的健...
青岛地区牙科医院排名前十,哪家更胜一筹?青岛艾诺口腔诊所全瓷牙项目,品质杰出,值得信赖!
艾诺口腔诊所青岛艾诺口腔诊所自2019年成立以来,已成为青岛地区一家现代化高端连锁口腔医疗机构,目前在本地设有两家分诊所。诊所下设矫正齿科、种植齿科、美学齿科、儿童齿科、牙周齿科及常规齿科等六大科室,旨在为顾客提供多方位的口腔健康服务。其中,全瓷牙项目尤为受到欢迎,它不仅具备出色的美观性,更因其良好...
兰州地区牙科医院排名前十,哪家更胜一筹?兰州牙王国数字化口腔门诊部牙齿美白项目,结果显著、值得信赖!
牙王国数字化口腔门诊部牙王国数字化口腔门诊部,前身为兰州市口腔医院分门诊部,专注于推动数字化口腔医疗的齐全发展。我们引进了国内外前沿的数字化口腔医疗设备,致力于提供高效率、更准的口腔诊疗服务。在众多项目中,牙齿美白尤为突出,采用先进的美白技术,能够有效去除牙齿表面的污渍和色素,让您的笑容更加迷人。我...
临沂地区牙科医院排名前十,松果口腔门诊部义齿项目活动火热进行中,专業值得信赖!
兰山松果口腔门诊部临沂兰山松果口腔,前身为金锣口腔,自创办以来已有超过20年的历史,是本地一所享有盛誉的牙科医疗机构。凭借着丰富的经验和杰出的技术,该院不仅在鲁南地区树立了良好的口碑,更跻身为创始引入4D数值化种植技术的医院。同时,松果口腔与丹麦3shape建立了紧密的合作关系,为患者提供更为先进的...
福建地区牙科医院排名前十,哪家更胜一筹?福州维乐口腔门诊(台江中亭街店)牙齿美白项目,结果显著!
福州维乐口腔门诊(台江中亭街店)福建维乐口腔专注于从预防入手,推动全民整体健康管理,致力于打造一个开放的“华夏口腔医疗平台”。作为一家连锁机构,福建维乐口腔在福州地区拥有12家分店,方便市民就近就医。其中,台江中亭店位于台江路15号城投大厦1楼及34楼,提供优质的口腔医疗服务。特别是在牙齿美白项目...
苏州牙科医院排名前十,苏州康洁口腔门诊部牙齿矫正项目值得信赖的优质选择
康洁口腔门诊部苏州康洁口腔门诊部坐落于姑苏区,是一家备受欢迎的口腔医疗机构。这里的环境温馨舒适,宛如家庭般的氛围让每位患者都能感受到放松与安心。门诊配备了先进的医疗设施,提供多样化的口腔项目,其中尤以牙齿矫正服务为突出。牙齿矫正不仅能改善牙齿排列,还能提升面部美观与自信。无论是青少年还是成年人,专...
株洲牙科医院排名前十,哪家更优质?株洲欢笑口腔医院牙齿矫正项目值得信赖,专業高效率!
欢笑口腔医院株洲欢笑口腔医院坐落于湖南株洲中心广场家润多商场的四楼,医院占地面积超过1500平方米,内部设有12个专業诊室和25张现代化牙椅,能够满足患者的多样化需求。医院不仅提供医疗、预防和保健服务,还积极参与科研和教学,致力于推动口腔医学的发展。其中,牙齿矫正项目尤为突出,医院拥有一支经验很丰富的...
台州牙科医院排名前十,哪家更不错?台州艺星医美整形医院(口腔正畸科)根管治疗项目专業可靠!
艺星医美整形医院(口腔正畸科)台州艺星医疗美容医院的口腔正畸项目是其特色之一,吸引了众多患者前来就诊。医院特邀经验很丰富的正畸主丨任医师马昱,提供多种矫正技术,包括金属托槽矫正、隐适美和时代天使隐形矫正等,确保每位患者都能找到适合自己的方案。此外,医院在儿童齿科方面也不遗余力,针对早期诱导矫治开展了罗慕...
宁波地区牙科医院排名前十,慈溪鼎植口腔义齿项目活动火热进行中,服务专業优质!
慈溪鼎植口腔宁波市慈溪鼎植口腔是一家现代化的口腔专科门诊部,由多位来自上海的专業医师团队共同组成。该机构不仅致力于为患者提供高质量的口腔医疗服务,还积极举办大型口腔医疗技术交流活动,推动行业发展。特别是在活动义齿项目方面,鼎植口腔通过与国内多家口腔院校的战略合作,成为了医学院校的实习和培训基地,为学...
江门地区牙科医院排名前十,蓬江松鼠口腔门诊部拔牙项目专業高效率,值得信赖的选择
蓬江松鼠口腔门诊部江门松鼠口腔是一家经过江门市蓬江区卫生健康局正式批准的专業口腔医疗机构,拥有约1000平方米的宽敞空间。该机构不仅在牙齿种植、矫正、修复、补牙等领域享有盛誉,更在拔牙项目上展现出杰出的专業水准。松鼠口腔致力于为每位顾客提供舒适、温馨的诊疗环境,采用微创舒适的技术,大程度地减轻患者...
乌鲁木齐地区牙科医院排名前十,哪家更不错?乌鲁木齐美奥口腔医院活动义齿项目火热进行中,值得信赖的选择!
美奥口腔医院乌鲁木齐美奥口腔医院作为有名连锁——美奥口腔集团的一部分,自2013年在新疆乌鲁木齐市强势落地以来,便致力于为当地居民提供高品质的口腔医疗服务。医院位于新疆乌鲁木齐天山区光明路58号金碧华府B座,依托东南沿海及国内外成熟的口腔医疗技术,引入先进的设备和治疗方案,尤其是在活动义齿项目上...
湖北地区牙科医院排名前十,品冠口腔门诊部根管治疗项目杰出表现!
十堰品冠口腔门诊部十堰品冠口腔自2018年成立以来,凭借其优质的医疗服务和现代化的设施,快速成为市区内备受信赖的口腔医疗机构。目前在北京路和东岳路均设有门诊,均位于城市的核心区域,方便患者就医。医院经过市卫健委的严格审批,确保了医疗服务的专業性与靠谱性。特别是在根管治疗项目上,品冠口腔注重细节,采用...
河南地区牙科医院排名前十,焦作军美口腔门诊部根管治疗项目值得信赖的选择!
焦作军美口腔门诊部河南省焦作市山阳区的少军口腔门诊,现已更名为军美口腔门诊部,成立于1990年,是一家综合性的口腔医疗机构,致力于医疗、预防、恢复及保健服务。我们经过卫生局的严格审批,成为了合法的口腔医疗单位。在众多口腔治疗项目中,根管治疗尤为重要,旨在有效清除牙齿内部的感染,保护牙齿的健康。我们的...
广东地区牙科医院排名前十,汕头爱雅口腔门诊部烤瓷牙项目实力杰出,服务优质!
省汕头爱雅口腔门诊部汕头爱雅口腔门诊位于广东省汕头市,是一家现代化、数字化的口腔医疗机构,隶属于有名的爱雅口腔连锁。门诊不仅提供牙齿种植、牙齿矫正、牙齿美容和牙齿修复等多项服务,还特别注重儿童齿科的专業护理。其中,烤瓷牙项目备受患者青睐。该项目采用优质材料,结合先进技术,能够有效提升牙齿的美观度...
秦皇岛地区牙科医院排名前十,京美口腔门诊种植牙项目值得信赖,专業优质服务尽在其中!
京美口腔门诊秦皇岛京美口腔,作为本地备受推崇的自主连锁机构,自2014年10月在河北大街开业以来,快速赢得了广大市民的信赖。2016年7月,京美口腔秦皇东大街门诊也相继成立。该机构以现代化的医疗设施和设备为基础,致力于为患者提供高品质的口腔医疗服务。特别是在种植牙项目方面,京美口腔拥有一支来自北...
安徽地区牙科医院排名前十:合肥美奥口腔根管治疗项目值得信赖的优质选择
合肥美奥口腔合肥美奥口腔作为一家有名的高端连锁齿科,始终专注于整合国内外优质口腔资源。我们不断引进先进的技术和设备,以提供更为杰出的口腔诊疗服务。在众多项目中,根管治疗尤为重要,它能够有效解决牙齿感染和疼痛问题。我们的专業团队将为患者提供个性化的治疗方案,确保每位患者在舒适的环境中获得高效率的治疗...
浙江地区牙科医院排名前十,名禾口腔门诊部牙齿矫正项目值得信赖,专業优质服务!
丽水名禾口腔门诊部浙江丽水名禾口腔门诊部作为政策支持的口腔医疗机构,致力于为患者提供优质的口腔服务。门诊部与宁波牙科产业园共享丰富的牙科病例和资料,拥有一支由国内外资质医生组成的专業团队。特别是在牙齿矫正项目上,名禾口腔凭借先进的技术和设备,为每位患者量身定制个性化的矫正方案,帮助他们实现理想的牙齿...
哈尔滨牙科医院排名前十,哪家更优?探讨哈尔滨美植口腔门诊部的洗牙项目,专業与品质并存!
美植口腔门诊部哈尔滨美植口腔门诊部作为哈尔滨地区高端的牙齿诊疗机构,致力于为顾客提供优质的口腔医疗服务。医院环境优雅舒适,服务团队专業周到,确保每位顾客都能享受到贴心的体验。在众多口腔服务项目中,洗牙项目尤为重要。通过定期洗牙,可以有效去除牙齿表面的牙结石和菌斑,预防龋齿和牙周病,保持口腔健康。我们...
潍坊牙科医院排名前十,哪家更优质?潍坊高新张宏鹏口腔诊所义齿项目活动精彩纷呈!
高新张宏鹏口腔诊所潍坊高新区张宏鹏口腔诊所自2019年4月25日成立以来,凭借其专業的口腔医疗服务,赢得了广大患者的信赖。诊所的统一社会信用代码为92370700MA3PM3K86M,营业面积达到309平米,属于中型口腔医疗机构。除了常规的牙齿种植、矫正、牙周治疗、美容修复和洁牙等服务外,诊所还特别...
四川地区牙科医院排名前十,哪家更不错?宜宾喜牙口腔门诊部牙齿矫正项目专業可靠,值得信赖!
宜宾喜牙口腔门诊部喜牙口腔是一家现代化、数字化、集团化运作的口腔医疗机构,旗下拥有广西柏乐口腔、重庆8020口腔、云南西南博大口腔、丽江德柏口腔等多个有名连锁。宜宾喜牙口腔的营业面积达到2100平方米,依托四川华西口腔医师团队,设有种植、矫正、口内、口外、牙体牙髓、儿童口腔等多个专業科室。其中,...
金华地区牙科医院排名前十,华康口腔医院洗牙项目杰出表现,值得信赖的选择!
华康口腔医院金华华康口腔医院是一所正规的二级口腔专科医院,作为金华市医疗保险定点单位,医院在市民心中享有良好的信誉。这里不仅是市价格信得过单位,更是市口腔协会的常务理事单位以及市区学生窝沟封闭的定点单位。医院交通便利,环境整洁明亮,空间宽敞舒适,给患者提供了良好的就医体验。在众多口腔服务项目中,洗牙...
合肥地区牙科医院排名前十,哪家更值得信赖?合肥靓美口腔医院牙齿矫正项目结果显著,值得推荐!
靓美口腔医院合肥靓美口腔作为一家专業的二级口腔医院,自成立以来以其杰出的医疗技术和专業团队赢得了广大患者的信赖与支持,享有极高的声誉。医院提供多样化的口腔医疗服务,包括牙齿种植、牙齿美容修复、美学正畸、牙周病治疗及儿童齿科等。特别是在牙齿矫正项目方面,靓美口腔引入了先进的舌侧矫正技术,能够满足不同患...
四川地区牙科医院排名前十,西昌牙博士口腔门诊部地包天项目结果显著,值得信赖的选择!
西昌牙博士口腔门诊部西昌牙博士口腔是获得JCI认证的有名齿科连锁,坐落于四川西昌,作为一家现代化数字化口腔专科机构,专注于为凉山及攀西地区的居民提供优质的口腔医疗服务。我们提供的服务项目涵盖了牙齿种植、牙齿矫正、牙齿美学修复、牙齿美白、儿童齿科及牙周治疗等。其中,地包天矫正项目尤为重要,它不仅影...
温州牙科医院排名前十,哪家更不错?探访温州爱牙故事口腔门诊(巴黎大厦店)的牙齿美白项目,结果惊艳!
爱牙故事口腔门诊(巴黎大厦店)温州爱牙故事口腔门诊自2012年成立以来,凭借其杰出的医疗服务和专業的技术,快速成为温州市民众信赖的口腔医疗机构。该门诊经过很多国家卫生健康委员会的批准,登记号为PDY10097733030217D1522,现已成为温州市民营口腔医疗协会的秘书长单位,同时也是民营口腔医疗协...
大连牙科医院排名前十,唯格口腔(桃园店)地包天项目杰出表现,值得信赖的选择
唯格口腔(桃园店)大连唯格口腔医院自2018年成立以来,致力于为患者提供杰出的口腔医疗服务。医院的创办人和管理团队均为口腔医疗领域的先进医生,他们的专業指导有助于整合医疗资源,确保先进技术的引进与应用,以及严格的医疗质量控制。在众多项目中,地包天矫正项目尤为突出。医院拥有高质量的医师团队,成员均毕业...
贵州地区牙科医院排名前十,哪家更具实力?贵州利美康口腔美容外科医院(总部)补牙项目值得信赖,专業杰出!
利美康口腔美容外科医院(总部)贵州利美康医院(总部)自1991年成立以来,凭借其8760平方米的宽敞空间,已发展成为贵州省卫生厅认证的初级专科医院。作为一所拥有4级手术难度资质的精品整形医院,利美康在整形美容领域享有盛誉,特别是在补牙项目方面,医院配备了先进的设备和技术,致力于为患者提供高质量的牙齿...
长沙牙科医院排名前十,哪家更值得信赖?长沙齿邦口腔门诊部(天沐店)种植牙项目杰出品质!
齿邦口腔门诊部(天沐店)齿邦天沐口腔门诊部坐落于长沙市雨花区圭塘路228号,自2018年成立以来,致力于为患者提供优质的口腔医疗服务。门诊面积近1000平米,设有7个独立诊室,其中包括专業儿童诊室1个。我们提供多种口腔服务项目,其中尤以种植牙技术为突出。种植牙不仅能够有效恢复缺失牙齿的功能,还能提...
安徽地区牙科医院排名前十,合肥美奥口腔全瓷牙项目值得信赖的选择!
合肥美奥口腔合肥美奥口腔作为一家高端连锁齿科,始终致力于整合国内外优质口腔资源,不断引进先进的技术和设备,以提供更优质的口腔诊疗服务。在众多项目中,全瓷牙技术尤为突出。全瓷牙不仅具备出色的美观结果,还能有效恢复牙齿的功能,且材料靠谱无害,确保患者的口腔健康。美奥口腔的专業团队将根据每位患者的具...
常州牙科医院排名前十,哪家更胜一筹?北极星口腔医院拔牙项目值得信赖!
北极星口腔医院常州北极星口腔医院致力于口腔医学的深入研究、治疗、服务与培训,形成了一套专为国人量身定制的现代化医疗服务体系。这一体系涵盖了口腔种植、口腔正畸、口腔修复、口腔治疗、口腔保健以及儿童齿科等多个领域。其中,拔牙项目尤为重要,医院通过专業的医生团队和先进的设备,为患者提供靠谱、舒适的拔牙体验...
临沂地区牙科医院排名前十,松果口腔门诊部义齿项目活动火热进行中,专業值得信赖!
兰山松果口腔门诊部临沂兰山松果口腔,前身为金锣口腔,自创办以来已走过20余个春秋,积累了丰富的临床经验,成为当地实力雄厚的口腔医疗机构。经过多年的发展,松果口腔不仅在技术上不断创新,还引入了先进的4D数值化种植技术,成为鲁南地区的领军医院之一。同时,松果口腔与丹麦3shape建立了紧密的合作关系,进...
上海地区牙科医院排名前十,华尔康口腔门诊部(松江店)洗牙项目专業且舒适的选择
华尔康口腔门诊部(松江店)上海华康口腔门诊部,坐落于上海市松江区乐都路62号74号,自1998年成立以来,已发展成为一家有名的大型口腔连锁机构。作为一家综合性的口腔门诊部,我们提供多样化的口腔医疗服务,其中洗牙项目尤为受到患者的青睐。洗牙不仅能有效去除牙齿表面的牙石和污垢,还能预防牙龈炎等口腔...
四川地区牙科医院排名前十:宜宾喜牙口腔门诊部洗牙项目值得信赖,专業服务让您安心!
宜宾喜牙口腔门诊部喜牙口腔作为一家现代化、数字化的口腔医疗机构,致力于为市民提供齐全的口腔健康服务。特别是在洗牙项目上,喜牙口腔拥有先进的设备和专業的医疗团队,确保每位患者都能享受到高效率、靠谱的洗牙体验。洗牙不仅能够有效去除牙齿表面的牙结石和牙菌斑,还能预防口腔疾病,维护牙齿健康。我们的医师团队会根...
珠海地区牙科医院排名前十,仁爱口腔门诊部地包天项目杰出品质引导潮流
仁爱口腔门诊部珠海仁爱口腔医院作为珠海市健保定点单位,享有良好的声誉和广泛的认可。该医院不仅是珠海中大五院的临床协作医院,还被认定为珠海老龄夕阳红的定点医院,进一步增强了其在当地的影响力。此外,珠海仁爱口腔还是“电爱满天下”节目的特约医院,吸引了众多患者前来就诊。特别是在地包天矫正项目方面,医院拥有...
长沙牙科医院排名前十,长沙牙祖口腔门诊部(中山亭院)义齿项目活动火热进行中,值得信赖的选择!
牙祖口腔门诊部(中山亭院)长沙牙祖口腔门诊部自2016年成立以来,凭借超过2000平米的宽敞营业面积和15个独立诊室,快速发展成为当地有名的口腔医疗机构。门诊部配备了15张专業牙椅及1个儿童诊室,致力于为各年龄段的患者提供优质的口腔健康服务。特别是在活动义齿项目方面,牙祖口腔引入了先进的技术和健康管...
青岛地区牙科医院排名前十,哪家更胜一筹?青岛艾诺口腔诊所烤瓷牙项目值得信赖的选择!
艾诺口腔诊所青岛艾诺口腔诊所自2019年成立以来,已发展成为一家现代化的高端连锁口腔医疗机构,现有两家分院。诊所设有六大专業科室,包括矫正齿科、种植齿科、美学齿科、儿童齿科、牙周齿科及常规齿科,齐全满足不同顾客的口腔健康需求。其中,烤瓷牙项目尤为突出,采用先进的材料和技术,为患者提供自然美观的牙齿修...
三亚牙科医院排名前十,吉阳鼎点口腔门诊部拔牙项目专業可靠,值得信赖的选择
吉阳鼎点口腔门诊部鼎点作为一家有名的连锁牙科机构,在海口设有两家门诊,三亚和南昌各有一所。尤其是三亚鼎点口腔,经过吉阳区的行政审批,提供了多样化的牙科服务,包括种植牙、牙齿矫正、修复和儿童牙科等项目,旨在满足不同年龄段患者的需求。特别值得一提的是,拔牙项目在这里得到了高度重视。对于中老年患者而言,拔...
吉林地区牙科医院排名前十,延吉韩世口腔医院牙齿美白项目结果显著,值得信赖的选择
延吉韩世口腔医院延吉韩世口腔医院自2014年成立以来,始终致力于为患者提供高质量的口腔医疗服务。作为经过吉林省延吉市卫生健康局正式批准的专業医疗机构,医院地处交通便利的爱丹路359号(恒达健康广场),方便患者前来就诊。医院特别注重牙齿美白项目,采用先进的技术和设备,帮助患者恢复自信的笑容。无论是日常...
苏州地区牙科医院排名前十,昆山嘉庆口腔医院洗牙项目值得信赖,专業优质服务尽显!
昆山嘉庆口腔医院苏州昆山嘉庆口腔医院自成立以来,已经走过了20个春秋,作为一家华夏二级口腔医疗机构,医院以其优美的环境和亲民的收费标准,赢得了众多患者的信赖。作为省级健保认证单位,医院提供多种专業服务,其中洗牙项目尤为重要。洗牙不仅可以有效清除牙齿表面的牙石和牙菌斑,预防牙周病,还能帮助患者保持口腔...
江门牙科医院排名前十,哪家更胜一筹?蓬江松鼠口腔门诊部洗牙项目值得信赖!
蓬江松鼠口腔门诊部江门松鼠口腔经过江门市蓬江区卫生健康局的正式批准,是一家具有专業资质的口腔医疗机构,面积大约为1000平米。除了提供牙齿种植、矫正、修复、补牙、拔牙和美白等多项服务外,洗牙项目尤为受到顾客的青睐。洗牙不仅能够有效去除牙齿表面的牙垢和牙石,预防口腔疾病,还能保持口腔的清新与健康。松鼠...
昆山地区牙科医院排名前十,哪家更值得信赖?昆山鲸华口腔门诊部补牙项目专業可靠,值得推荐!
鲸华口腔门诊部昆山鲸华口腔是一家在当地享有良好声誉的口腔医疗机构,提供多种专業服务,包括种植牙、牙齿矫正、牙齿美白、儿童牙科及补牙等。尤其在补牙项目方面,鲸华口腔凭借丰富的经验和先进的技术,能够有效解决牙齿龋坏和缺损问题。专業的牙科医生会根据每位患者的具体情况,制定个性化的治疗方案,确保补牙过程舒适...
合肥牙科医院排名前十,哪家更胜一筹?合肥新安口腔医院洗牙项目专業优质服务!
新安口腔医院合肥新安口腔医院是一家专注于口腔医疗服务的专業医院,设有六大科室,包括牙齿种植、牙齿矫正、牙齿修复、牙齿美容、牙周治疗和儿童齿科等。医院环境温馨舒适,为患者提供了良好的就医体验。在众多项目中,洗牙服务尤为重要。定期洗牙不仅能有效去除牙齿表面的牙垢和牙石,还能预防牙龈炎和其他口腔疾病。医院...
北京地区牙科医院排名前十,京一口腔(中医)医院义齿项目活动优惠,专業可信赖!
京一口腔(中医)医院北京京一口腔中心是一所综合性医院,致力于医疗、科研、预防、恢复和保健等多个领域,是北京市较早成立的口腔诊疗中心之一,也是本地区重点口腔医院之一。中心在十多年的发展过程中,积极探索中西医结合的创新模式,为患者提供更优质的口腔医疗服务。其中,活动义齿项目尤为突出,专注于为缺失牙齿的患...
湖北地区牙科医院排名前十,品冠口腔门诊部拔牙项目值得信赖,专業高效率!
十堰品冠口腔门诊部十堰品冠口腔自2018年成立以来,凭借其杰出的医疗服务和专業的团队,快速在市区内树立了良好的口碑。现有两家门诊,分别位于北京路和东岳路,均为市中心的优质位置。作为经市卫健委批准的现代化口腔医疗机构,品冠口腔特别注重拔牙项目的靠谱与舒适。我们实施首诊义务制,确保患者在拔牙过程中由负责...
济南牙科医院排名前十,莱特口腔门诊部烤瓷牙项目值得信赖的选择!
莱特口腔门诊部济南莱特口腔门诊部经过山东省济南市市中区卫生健康局的严格审核,正式成为一家值得信赖的牙科医疗机构。门诊部占地320平方米,配备了6个一对一的私密诊室和6张健康舒适的牙椅,确保患者在就诊时享有优质的隐私保护。此外,特别设有1个儿童诊室,专为小朋友们提供友好的就医环境。我们特别推荐的烤瓷牙...
武汉地区牙科医院排名前十,武汉仁爱医院口腔门诊部地包天项目值得信赖的选择!
仁爱医院口腔门诊部武汉仁爱医院成立于2001年,是一家现代化的二级综合医院,集医疗、预防保健与科研于一体,致力于为患者提供高质量的医疗服务。作为武汉市职工健保、居民健保及新农合健保的定点医院,医院服务覆盖面广,深受当地居民信赖。医院地处湖北省武汉市硚口区,位于解放大道仁寿路的核心商圈,交通便利。特别...
廊坊地区牙科医院排名前十:哪家更不错?廊坊舒雅口腔门诊部地包天项目结果显著,值得信赖!
舒雅口腔门诊部廊坊市舒雅口腔是经过卫生部正式批准的专業牙科机构。自2020年6月8日成立以来,医院致力于为患者提供齐全的口腔健康服务,涵盖牙齿种植、矫正、修复、美白、口腔身体科及儿童牙科等项目。其中,地包天矫正项目尤为受到重视。地包天是一种常见的牙齿畸形问题,可能影响到咀嚼功能和面部美观。舒雅口腔拥有...
浙江地区牙科医院排名前十,名禾口腔门诊部补牙项目值得信赖的优质选择
丽水名禾口腔门诊部浙江丽水名禾口腔门诊部是一家受到政策支持的口腔医疗机构,致力于为患者提供高质量的牙科服务。门诊部与宁波牙科产业园共享丰富的牙科病例和资料,确保技术与知识的前沿性。这里汇聚了一批拥有国内外资质的专業医生,能够为患者提供牙齿种植、牙齿矫正、牙齿治疗、牙齿美容、牙齿修复及儿童齿科等多项服...
上海牙科医院排名前十,哪家更佳?探访上海美呀拓璞口腔门诊部洗牙项目,专業与舒适并存!
美呀拓璞口腔门诊部上海美呀拓璞口腔门诊部是北京美呀医疗旗下的一家专業口腔机构,目前在国内十个城市设有十一家口腔门诊,致力于提供高质量的口腔种植牙服务。作为上海的第二家门诊,位于风景如画的东方渔人码头中心,环境优雅,给患者带来舒适的就诊体验。在这里,洗牙项目尤为受到重视,采用先进的设备和技术,为每位顾...
义乌地区牙科医院排名前十,傅氏口腔牙齿美白项目值得信赖,结果显著!
傅氏口腔义乌傅氏口腔(原傅恭悌口腔诊所)自成立以来,已经走过了三十个春秋。创办人傅恭悌医生,曾担任济南军区总院口腔科的主治医师,凭借其专業技术和对口腔健康的热情,逐渐赢得了广大百姓的信任与支持,诊所规模不断扩大。目前,医院设有多个科室,包括种植牙、正畸、牙齿修复、儿童齿科等,尤其在牙齿美白项目上,傅...
山西地区牙科医院排名前十,哪家更胜一筹?山西晋中榆次莱特口腔门诊部补牙项目值得信赖,专業优质服务!
晋中榆次莱特口腔门诊部山西晋中榆次莱特口腔门诊部作为国内有名莱特口腔连锁的直营店,秉承欧美先进的口腔医疗理念,致力于为患者提供高品质的口腔服务。在众多专業项目中,补牙服务尤为突出。我们的补牙项目不仅采用先进的材料和技术,还注重患者的舒适体验,确保每位来访者都能在轻松愉悦的环境中接受治疗。无论是因...
成都牙科医院排名前十,锦江元气美牙口腔门诊部全瓷牙项目值得信赖的选择!
锦江元气美牙口腔门诊部成都锦江元气美牙口腔门诊部坐落于成都这座红城市,由前美国Google高管与国内不错牙科团队共同创办。作为一个全新的互联模式隐形矫正宗牌,该门诊部摒弃了传统的分销环节,专注于轻中度牙齿矫正病例。特别值得一提的是,全瓷牙项目,凭借其自然美观和杰出的耐用性,成为了许多求美者的优先选择...
杭州牙科医院排名前十,哪家更胜一筹?杭州口腔医院(城西分院)牙齿美白项目令人惊艳!
口腔医院(城西分院)杭州口腔医院城西分院自2008年成立以来,始终致力于为患者提供高质量的口腔医疗服务。位于天目山路306号的分院,凭借先进的技术和设备,成为浙江省内口腔专業领域的佼佼者。在众多口腔项目中,牙齿美白服务尤为受到患者的青睐。通过专業的美白技术,帮助患者恢复自信的笑容,提升整体形象。医院...
贵州地区牙科医院排名前十:哪家更值得信赖?贵州利美康口腔美容外科医院(总部)种植牙项目专業杰出!
利美康口腔美容外科医院(总部)贵州利美康医院(总部)自1991年成立以来,凭借其8760平方米的优越环境,快速发展成为贵州省卫生厅批准的初级专科医院。作为一家拥有4级手术难度资质的精品整形医院,利美康不仅是贵阳市市健保定点医院,更是ISO质量认证单位,确保了医疗服务的高标准。医院在整形领域积累了丰富...
义乌地区牙科医院排名前十,傅氏口腔拔牙项目专業可靠,值得信赖的选择!
傅氏口腔义乌傅氏口腔(原傅恭悌口腔诊所)自创立以来,已经走过了三十个春秋。由原济南军区总院口腔科的主治医师傅恭悌亲自创办,凭借着百姓的信任与支持,诊所逐渐扩大规模,设立了多个专業科室,包括种植牙、正畸、牙齿修复、牙齿美白、儿童齿科以及综合齿科等。特别是在拔牙项目上,傅氏口腔凭借先进的技术与设备,为患...
兰州牙科医院排名前十:哪家更值得信赖?兰州牙王国数字化口腔门诊部洗牙项目让您焕然一新!
牙王国数字化口腔门诊部牙王国数字化口腔门诊部(前身为兰州市口腔医院分门诊部)专注于数字化口腔医疗的发展。我们引进了国内外先进的数字化口腔医疗设备,致力于为患者提供高效率、更准的口腔治疗服务。在我们的服务项目中,洗牙尤为重要。通过专業的洗牙技术,我们能够有效去除牙齿表面的牙垢和牙石,预防龋齿和牙周病的...
安徽地区牙科医院排名前十,阜阳壹加壹医美口腔门诊部义齿项目活动,值得信赖的选择!
阜阳壹加壹医美口腔门诊部壹加壹在阜阳的落地,标志着口腔健康与美丽新理念的融合。特别是活动义齿项目的引入,为众多口腔患者提供了更为优质的选择。通过高端的医美技术与专業口腔医生的结合,患者不仅能享受到非侵入性伤的微整治疗,还能获得美观的牙齿结果。活动义齿不仅提升了患者的口腔功能,更让他们的笑容焕发自信与个性...
烟台地区牙科医院排名前十,圣贝口腔医院烤瓷牙项目值得信赖,专業优质服务让您满意!
圣贝口腔医院烟台圣贝口腔医院致力于践行德国口腔医疗标准,设立了多个专業中心,如“数字化种植中心”、“数字化正畸中心”、“数字化修复中心”、“综合诊疗中心”和“儿童齿科中心”,为患者提供齐全的口腔解决方案。在众多项目中,烤瓷牙的治疗尤为受到关注。烤瓷牙不仅具备良好的美观性,还能有效恢复牙齿的功能。通过...
吉林地区牙科医院排名前十:延吉韩世口腔医院补牙项目值得信赖的专業选择!
延吉韩世口腔医院延吉韩世口腔医院自2014年成立以来,始终致力于为患者提供高质量的口腔医疗服务。作为经吉林省延吉市卫生健康局批准的正规口腔医疗机构,医院位于交通便利的爱丹路359号(恒达健康广场),为患者提供了极大的便利。医院特别注重补牙项目,拥有先进的设备和技术,能够为患者提供齐全的补牙解决方案。...
广西地区牙科医院排名前十:柳州华心口腔门诊部的牙齿美白项目,结果显著、口碑非常好!
柳州华心口腔门诊部柳州华心口腔门诊部自2015年成立以来,致力于为患者提供优质的口腔医疗服务。门诊部拥有一支由20名技术娴熟的医护人员组成的专業团队,确保每位患者都能享受到细致入微的护理。院长韦冠洁曾在柳州华心医院任职,并在某口腔医院担任CEO达四年之久,积累了丰富的管理和医疗经验。在这里,我们特别...
沈阳牙科医院排名前十:亿美佳口腔门诊部烤瓷牙项目值得信赖的选择!
亿美佳口腔门诊部沈阳亿美佳口腔门诊部作为一家专業的齿科连锁口腔机构,致力于为每位患者提供优质的口腔医疗服务。作为沈阳市健保定点单位,亿美佳在市内设有两家分院,分别位于五中门诊和和平门诊,方便患者就医。特别值得一提的是,门诊部的烤瓷牙项目备受欢迎,采用先进技术和优质材料,能够有效提升牙齿的美观与功能。...
湖北地区牙科医院排名前十,咿呀雅美口腔沙市门诊部(沙市区总院)洗牙项目值得信赖,专業优质服务让您安心选择!
荆州咿呀雅美口腔沙市门诊部(沙市区总院)荆州咿呀雅美口腔沙市门诊部自2019年成立以来,凭借其专業的医疗团队和先进的设备,成为了沙市区居民信赖的口腔医疗机构。该门诊部经过湖北省荆州市沙市区卫生健康局的严格审批,确保为患者提供靠谱、优质的口腔服务。特别是在洗牙项目方面,咿呀雅美口腔采用先进的洗牙技...
云南牙科医院排名前十:昆明康倍口腔门诊部补牙项目值得信赖的优质选择
昆明康倍口腔门诊部云南昆明康倍口腔自2001年成立以来,始终坚持“医者仁心、匠心精神”的职业信念,致力于为每一位患者提供优质的口腔医疗服务。在众多项目中,补牙作为一项重要的治疗服务,得到了广泛的关注与应用。通过专業的技术和优质的材料,我们为患者提供高效率、安心的补牙解决方案,帮助他们恢复牙齿的功能与美...
武汉地区牙科医院排名前十,存济口腔医院牙齿矫正项目值得信赖,专業杰出!
存济口腔医院武汉存济口腔医院,经过湖北省卫生计生委的批准,成为一所集医疗、教学与科研于一体的初级口腔专科医院。医院更是获得了华夏科学院大学的认可,正式更名为华夏科学院大学武汉存济口腔医院。坐落于武汉市江汉区姑嫂树路10号京华A座,地理位置优越,距离地铁6号线石桥站F出口仅一步之遥,建筑总面积达到18...
重庆地区牙科医院排名前十,哪家更胜一筹?探秘重庆渝北仁铭口腔门诊部的地包天项目,专業与温馨并存!
渝北仁铭口腔门诊部重庆渝北仁铭口腔门诊部,作为一家现代化的口腔医疗机构,致力于提供齐全的口腔诊疗服务,包括预防、保健、修复和美容等。该门诊部位于渝北嘉州·材信商圈,配备了6个专業诊室和1个儿童专用诊室,以满足不同年龄段患者的需求。特别值得一提的是,仁铭口腔在地包天项目方面拥有丰富的经验和专業的技术,...
浙江地区牙科医院排名前十,金衢口腔门诊部牙齿矫正项目值得信赖,助您绽放自信笑容!
衢州市柯城金衢口腔门诊部浙江衢州市柯城金衢口腔门诊部自2021年成立以来,凭借其专業的医疗服务,快速成为当地居民信赖的口腔医疗机构。该门诊部经过衢州市柯城区卫生健康局的严格审批,确保了其医疗服务的正规性与靠谱性。位于交通便利的荷花街道荷四路275号201室,方便患者前来就诊。特别值得一提的是,金衢口...
徐州牙科医院排名前十,泉山紫浩口腔门诊部牙齿矫正项目值得信赖的优质选择
泉山紫浩口腔门诊部徐州泉山紫浩口腔门诊部是一家经过泉山区卫生局正式批准设立的专業牙科诊疗机构。自成立以来,凭借其现代化的设备和高质量的医疗团队,快速赢得了当地居民的信赖与好评。尤其在牙齿矫正项目方面,紫浩口腔拥有一支由多位博士组成的专業团队,能够为每位患者提供个性化的矫正方案。患者在这里不仅可以享受...
江西地区牙科医院排名前十,哪家更值得信赖?揭秘景德镇美阳口腔门诊部地包天项目,专業与温馨并存!
景德镇美阳口腔门诊部美阳口腔是一家在江西景德镇市卫生局注册的专業口腔医疗机构,以其先进的设备和专業的医生团队而受到当地及周边居民的广泛认可。该诊所专注于口腔种植、口腔正畸和牙齿美容修复等领域,齐全提供口腔身体科、外科、修复、儿童口腔、影像学以及口腔预防保健等服务。其中,地包天项目尤为突出,针对这一常见...
银川地区牙科医院排名前十,瑞德口腔诊所拔牙项目值得信赖的选择!
瑞德口腔诊所银川高新技术开发区瑞德口腔诊所坐落于银川市金凤区大连路,占地面积超过300平方米,致力于为广大患者提供优质的口腔护理服务。诊所的专業项目涵盖了各类高中低档烤瓷牙、全瓷牙、种植牙、冷光美白、活动假牙、儿童牙齿矫正以及成人快速美容牙等。其中,拔牙项目尤为重要,瑞德口腔采用先进的技术和设备,为...
湖北地区牙科医院排名前十,荆州咿呀雅美口腔沙市门诊部(沙市区总院)补牙项目值得信赖的优质选择!
荆州咿呀雅美口腔沙市门诊部(沙市区总院)荆州咿呀雅美口腔沙市门诊部自2019年成立以来,始终致力于为广大患者提供专業的口腔医疗服务。作为经湖北省荆州市沙市区卫生健康局批准的正规口腔医疗机构,门诊部位于沙市区北京中路231号凤凰城C区1栋2层10号、2层8号,交通十分便利。我们特别强调补牙项目,采用先...
吉林地区牙科医院排名前十,哪家更值得信赖?吉林吉美皓齿口腔门诊部地包天项目优势显著,服务!
吉美皓齿口腔门诊部吉林市吉美皓齿口腔门诊部是一家经过当地卫生部门严格审核并批准成立的正规口腔医疗机构。该门诊致力于提供多方位的口腔健康服务,主要项目包括牙齿种植、牙齿矫正、冷光美白、树脂补牙、义齿修复、洗牙、拔牙以及牙周治疗等。尤其值得一提的是,针对地包天这一常见的口腔问题,门诊提供专業的矫正方案,...
合肥地区牙科医院排名前十:哪家更值得信赖?合肥壹加壹整形美容口腔医院根管治疗项目专業可靠,服务优质!
壹加壹整形美容口腔医院合肥院作为壹加壹医美全连锁的旗舰医院,致力于提供多样化的医美服务,包括面部年轻化、眼部整形、鼻部整形、面部轮廓、胸部整形等项目。特别值得一提的是,根管治疗作为口腔美容中的重要项目,能够有效解决牙齿的深层问题,恢复牙齿的健康与美观。医院拥有先进的设备和专業的医疗团队,为每位患者提...
山东地区牙科医院排名前十:日照凯思口腔全瓷牙项目,专業优质值得信赖
日照凯思口腔山东日照凯思口腔门诊部自2000年成立以来,一直致力于口腔健康和牙齿矫正的专業服务。作为一家连锁机构,门诊部占地约430平方米,并且是市健保的定点单位。创办人周茂强在国内享有盛誉,他不仅是一位杰出的矫正医生,还是诺贝正畸教育的领军人物。特别值得一提的是,门诊部在全瓷牙项目上拥有先进的技术...
上海地区牙科医院排名前十,松丰口腔门诊部补牙项目杰出表现,值得信赖的选择!
松丰口腔门诊部上海松丰口腔门诊部是一家现代化的综合性口腔医疗机构,面积达到1000平方米,致力于为患者提供标准化和数字化的优质服务。门诊内设有多个专業中心,包括牙齿种植、牙齿矫正、烤瓷修复、牙齿美白以及牙齿疾病治疗等。在补牙项目方面,我们采用先进的技术与材料,确保每位患者都能享受到舒适、靠谱的治疗体...
南宁牙科医院排名前十,柏乐口腔门诊部(南湖总医院)义齿项目活动火热进行中,口碑杰出!
柏乐口腔门诊部(南湖总医院)南宁柏乐口腔医院引入了先进的华夏台澎金马口腔医疗技术,专注于牙齿种植、口腔正畸、口腔疾病的治疗及口腔美容等多项服务。其中,活动义齿项目尤为突出,旨在帮助缺失牙齿的患者恢复口腔功能和美观。活动义齿具有可拆卸、便于清洁的特点,能够有效提升患者的咀嚼能力与自信心。医院的专業团队将根...
常州牙科医院排名前十,哪家更胜一筹?常州美奥口腔门诊部活动义齿项目精彩纷呈!
美奥口腔门诊部常州美奥口腔门诊部位于常州古老街巷青果巷,面积超过2730平方米,设有16间独立诊室和25台现代化牙椅。作为美奥的一部分,常州美奥口腔始终致力于提供杰出的品质和服务。目前,门诊部开设了八大核心服务项目,其中活动义齿项目尤为突出。活动义齿不仅能够有效恢复患者的咀嚼功能,还能改善面部美...
广西牙科医院排名前十:柳州艾美口腔门诊部补牙项目值得信赖的专業选择!
柳州艾美口腔门诊部艾美口腔门诊是一家中高端的口腔齿科机构,地处广西柳州市文昌路与东环路的交汇处,交通便利。门诊提供多项专業口腔服务,其中补牙项目尤为突出。无论是因龋齿引起的牙齿损坏,还是由于外伤导致的牙齿缺损,艾美口腔都能为患者提供更准的补牙解决方案。我们采用先进的材料和技术,确保补牙结果自然、美观...
乌鲁木齐地区牙科医院排名前十,哪家更不错?美奥口腔医院的烤瓷牙项目值得信赖!
美奥口腔医院乌鲁木齐美奥口腔医院是隶属于有名连锁——美奥口腔集团的专業医疗机构。自2013年进驻新疆乌鲁木齐市以来,医院位于天山区光明路58号金碧华府B座,致力于为当地居民提供高品质的口腔医疗服务。美奥口腔将东南沿海及上成熟的口腔治疗技术引入乌鲁木齐,尤其是在烤瓷牙项目上,医院拥有先进的设备...
沈阳牙科医院排名前十,盛大口腔医院全瓷牙项目值得信赖,专業优质服务尽显杰出
盛大口腔医院沈阳盛大口腔医院,坐落于沈阳市铁西区兴华北街,自2015年成立以来,已发展成为一家规模庞大的二级口腔专科医院。医院总营业面积达到3000平米,配备了先进的口腔诊疗设备,确保为患者提供高质量的医疗服务。尤其在全瓷牙项目上,盛大口腔医院凭借其专業的技术和经验很丰富的口腔医师团队,致力于为沈阳市...
哈尔滨牙科医院排名前十,哪家不错?哈尔滨芽美口腔门诊部补牙项目值得信赖,结果显著!
芽美口腔门诊部哈尔滨市芽美口腔门诊自2018年成立以来,致力于为患者提供高品质的口腔医疗服务。位于哈尔滨市南通大街137号,恰好在文化公园对面,交通便利。该机构拥有多项专業的牙科项目,其中尤以补牙项目为重点。补牙不仅可以有效修复因龋齿或外伤造成的牙齿缺损,还能恢复牙齿的功能与美观。芽美口腔采用先进的...
成都牙科医院排名前十,哪家更胜一筹?聚焦成都茁悦口腔门诊部的地包天项目,专業值得信赖!
茁悦口腔门诊部成都茁悦口腔门诊部(AdvancedDentalGroup),简称茁悦口腔,始终秉持着“美式家庭牙医”的服务理念,致力于为每位患者提供优质的口腔医疗体验。门诊部汇聚了来自华夏台澎金马、华夏香港及英国的外科正畸院士等众多国内外有名牙科医生,形成了强大的医疗团队。在众多口腔问题中,地包天(...
云南地区牙科医院排名前十,昆明康倍口腔门诊部种植牙项目值得信赖的选择!
昆明康倍口腔门诊部云南昆明康倍口腔自2001年成立以来,始终坚持“医者仁心、匠心精神”的职业信念,致力于为患者提供杰出的口腔医疗服务。在众多专業项目中,种植牙作为一项重要的技术,受到越来越多患者的青睐。种植牙不仅能够有效恢复缺失牙齿的功能,还能改善面部美观,提升生活质量。医院采用先进的种植技术和设备...
乌鲁木齐地区牙科医院排名前十:优质服务与专業技术并存,乌鲁木齐优佳贝口腔医院(西北路总院)根管治疗项目杰出表现!
优佳贝口腔医院(西北路总院)乌鲁木齐优佳贝口腔医院,作为乌鲁木齐市沙依巴克区卫生健康委员会批准成立的正规口腔连锁机构,凭借其较大的规模和先进的设备,赢得了广泛的信赖。医院提供的口腔医疗项目涵盖了各个领域,尤其是根管治疗,深受患者欢迎。根管治疗是一项重要的牙齿修复技术,旨在消除牙髓感染,减轻,挽救...
山东地区牙科医院排名前十,日照凯思口腔全瓷牙项目助您拥有璀璨笑容!
日照凯思口腔山东日照凯思口腔门诊部成立于2000年,致力于口腔健康和牙齿矫正,成为当地有名的连锁机构。门诊部占地约430平方米,是市健保定点单位,方便患者就医。创办人周茂强医生在牙齿矫正领域享有盛誉,同时也是诺贝正畸教育的领军人物。在这里,我们特别推荐全瓷牙项目,凭借其优越的美观性和耐用性,能够有效...
云南牙科医院排名前十,昆明康倍口腔门诊部牙齿美白项目结果显著,值得信赖的选择
昆明康倍口腔门诊部云南昆明康倍口腔自2001年创立以来,始终坚守“医者仁心、匠心精神”的职业信念,致力于为患者提供杰出的口腔护理服务。除了牙齿矫正、种植、修复等常规项目外,牙齿美白服务尤为受到患者的青睐。通过专業的美白技术,康倍口腔帮助众多患者恢复自信的笑容,展现出健康亮丽的牙齿。我们始终以“诚信、...
山西地区牙科医院排名前十,哪家更不错?晋中榆次莱特口腔门诊部补牙项目值得信赖,专業高效率!
晋中榆次莱特口腔门诊部山西晋中榆次莱特口腔门诊部作为国内有名莱特口腔连锁的直营店,秉持欧美先进的口腔医疗理念,致力于为患者提供齐全的人性化口腔服务。门诊不仅涵盖牙齿种植、牙齿矫正、牙齿美学修复和牙齿美白等项目,尤其在补牙服务方面,注重技术和材料的选择,确保患者的每一次治疗都能达到很不错结果。我们的...
烟台地区牙科医院排名前十,哪家更胜一筹?烟台圣贝口腔医院义齿项目活动火热进行中,值得信赖的选择!
圣贝口腔医院烟台圣贝口腔医院始终秉承德国先进的口腔医疗标准,致力于为患者提供杰出的口腔健康服务。医院设立了多个专業中心,包括“数字化种植中心”、“数字化正畸中心”、“数字化修复中心”、“综合诊疗中心”和“儿童齿科中心”。其中,活动义齿项目尤为突出,针对缺失牙齿的患者,提供个性化的解决方案,帮助他们恢...
江西地区牙科医院排名前十,辉煌口腔门诊部地包天项目杰出表现!
南昌辉煌口腔门诊部南昌辉煌口腔是一家由江西省口腔医院的不错医师团队与国内外有名口腔医学医生共同创办的专業机构,致力于成为所有地区先进的口腔连锁。该院提供多种口腔治疗服务,包括牙齿种植、矫正、修复、美白等。其中,地包天矫正项目尤为突出,针对这种常见的牙齿畸形,辉煌口腔采用先进的矫正技术,帮助患者恢复美...
四川地区牙科医院排名前十,宜宾喜牙口腔门诊部烤瓷牙项目值得信赖的选择!
宜宾喜牙口腔门诊部喜牙口腔是一家现代化、数字化、集团化运作的口腔医疗机构,旗下拥有广西柏乐口腔、重庆8020口腔、云南西南博大口腔、丽江德柏口腔等多个有名连锁。位于宜宾的喜牙口腔,拥有2100平方米的宽敞营业面积,依托四川华西口腔医师团队,设有种植、矫正、口内、口外、牙体牙髓、儿童口腔等多个专業...
济南地区牙科医院排名前十,哪家更优质?济南可恩口腔医院全瓷牙项目值得信赖,服务!
可恩口腔医院济南可恩口腔是一家致力于提供优质口腔诊疗服务的现代化连锁医院,环境温馨宜人,远离传统医院的冷漠氛围,为顾客创造了一个舒适的就医体验。医院特别重视服务质量,提供免费的在线预约和后续回访服务,齐全解决顾客的牙齿问题。在众多口腔项目中,全瓷牙修复尤为引人注目。全瓷牙不仅外观自然美观,而且具备良...
呼和浩特牙科医院排名前十,华医医疗美容·口腔医院拔牙项目专業可靠,值得信赖!
浩特华医医疗美容·口腔医院华医医疗美容·口腔医院是一家综合性的民营医疗机构,专注于口腔和医疗美容领域,位于内蒙古地区,规模庞大,项目丰富,深受患者信赖。在医院的众多项目中,拔牙服务尤为突出。医院配备了先进的医疗设备和专業的医护团队,确保每一位患者在拔牙过程中都能享受到靠谱、舒适的体验。无论是智齿拔除...
武汉地区牙科医院排名前十:哪家更值得信赖?武汉大众口腔(盘龙城门诊)拔牙项目专業可靠,服务优质!
大众口腔(盘龙城门诊)武汉黄陂区近期迎来了一家专業的口腔医疗机构——武汉大众口腔盘龙城门诊,于2020年12月28日正式开业。这是大众口腔连锁的第67家门诊,标志着其在口腔医疗服务领域的进一步扩展。该门诊提供多项口腔服务,包括牙齿种植、牙齿正畸、洁牙护理、儿童齿科、牙齿修复以及牙体牙髓疾病治疗等。其...
天津地区牙科医院排名前十,瑞金口腔门诊部补牙项目值得信赖,专業可靠的选择
瑞金口腔门诊部天津北辰瑞金口腔是一家综合性的口腔门诊,涵盖医疗、科研、教学培训以及预防和保健等多个领域。医院内设有多种诊疗服务项目,包括微创种植、口腔矫正、口腔美白、口腔修复、牙体牙髓病、儿童口腔以及牙周治疗等。其中,补牙项目尤为重要,旨在为患者修复因龋齿或其他原因导致的牙齿缺损。通过先进的材料和技...
山东地区牙科医院排名前十:哪家更胜一筹?山东日照凯思口腔种植牙项目值得信赖的选择!
日照凯思口腔山东日照凯思口腔门诊部成立于2000年,致力于提供专業的口腔医疗服务,尤其在牙齿矫正领域享有盛誉。作为一家连锁机构,门诊部占地约430平方米,并且是市健保定点单位。创办人周茂强医生是国内有名的矫正医生,同时也是诺贝正畸教育的领军人物。除了牙齿矫正,凯思口腔还特别强调种植牙项目,运用先进的...
贵州牙科医院排名前十,哪家更值得信赖?贵州利美康口腔美容外科医院(总部)种植牙项目,专業可靠的选择!
利美康口腔美容外科医院(总部)贵州利美康医院(总部)自1991年成立以来,凭借其8760平方米的宽广空间,已发展成为贵州省卫生厅认证的初级专科医院。作为一家精品级整形医院,利美康不仅在整形领域享有盛誉,更在种植牙项目上具备显著优势。医院获得4级手术难度资质,能够为患者提供高质量的牙齿种植服务。作为贵...
山西地区牙科医院排名前十,太原皓雅口腔门诊部全瓷牙项目值得信赖,专業优质服务让您满意!
太原皓雅口腔门诊部山西皓雅口腔门诊部作为省卫生厅认证的“文明单位”,位于太原市小店区,隶属于皓雅口腔连锁机构。该连锁在国内范围内设有30多家现代化的综合口腔医院,深受百姓的信任与支持,成为了“平价口腔连锁医院”的代表之一。门诊部不仅提供种植牙、精细化根管治疗、舒适治疗、隐形矫正、修复和儿童齿科等多样...
扬州牙科医院排名前十,贝恩口腔医院地包天项目杰出表现,值得信赖的选择
贝恩口腔医院扬州贝恩口腔医院坐落于邗江区兴城西路189号,毗邻琼都宾馆,医院占地近3000平方米,设有种植中心、儿童齿科等八大专業中心,齐全涵盖预防、治疗、修复和美容等多项服务。医院秉持先进的健康治疗理念,拥有一支经验很丰富的医生团队,致力于提供高品质的德国诊疗服务。在众多项目中,地包天矫正治疗尤为突...
郑州牙科医院排名前十,哪家更值得信赖?郑州金水贝尔口腔门诊部(经三路店)洗牙项目结果显著,专業可靠!
金水贝尔口腔门诊部(经三路店)郑州金水贝尔口腔门诊部(经三路店)自2018年成立以来,始终致力于为患者提供高质量的口腔医疗服务,经过郑州市金水区卫生健康委员会的严格审核,成为了一家正规的口腔医疗机构。门诊部地处于交通便利的郑州市金水区经三路6号院1号楼68号一、二层,方便患者前来就诊。特别值得一提...
常州牙科医院排名前十,北极星口腔医院拔牙项目杰出专業,值得信赖的选择
北极星口腔医院常州北极星口腔医院致力于口腔医学的深入研究与治疗,提供高质量的医疗服务与专業培训。医院特别强调拔牙项目,针对不同患者的需求,制定个性化的拔牙方案。无论是由于蛀牙、牙周病还是牙齿拥挤等原因,医院的专業团队都会为患者提供齐全的评估与治疗建议。通过先进的设备和技术,确保拔牙过程靠谱、舒适,...
佛山牙科医院排名前十:哪家更不错?佛山华美口腔医院根管治疗项目杰出推荐!
华美口腔医院佛山华美口腔,坐落于广东省佛山市禅城区汾江南路29号财富金鸿大厦,是一家将口腔医学与整形美学良好结合的专業口腔机构。凭借华美在国内40个城市的连锁优势及25年的积累,我们不断整合先进的口腔美学修复医生团队资源,致力于为每位求美者提供杰出的医疗体验。在这里,根管治疗项目尤为突出,采用国...
成都牙科医院排名前十,极光口腔门诊部(锦江区)烤瓷牙项目值得信赖的优选!
极光口腔门诊部(锦江区)成都锦江极光口腔门诊部(锦江区),简称极光口腔,坐落于人民南路1段新光华街7号,是西南地区一家专注于美式私人定制化服务的口腔医疗机构。自2012年引入美式口腔理念及管理模式以来,极光口腔致力于为成都的市民提供高品质的口腔诊疗服务。特别是在烤瓷牙项目上,极光口腔凭借美国科学院植...
四川地区牙科医院排名前十,宜宾喜牙口腔门诊部牙齿矫正项目值得信赖,专業高效率!
宜宾喜牙口腔门诊部喜牙口腔是一家现代化、数字化且具集团化运营模式的口腔医疗机构。旗下拥有多个有名,包括广西柏乐口腔、重庆8020口腔、云南西南博大口腔以及丽江德柏口腔等。位于宜宾的喜牙口腔,拥有2100平方米的宽敞营业空间,依托四川华西口腔医师团队,设有种植、矫正、口内、口外、牙体牙髓及儿童口腔...
广西地区牙科医院排名前十,百色唯美口腔门诊部拔牙项目值得信赖的选择!
百色唯美口腔门诊部广西百色市的唯美口腔门诊,亦称百色右江唯美口腔,自2019年成立以来,致力于为患者提供高品质的口腔医疗服务。门诊拥有480平方米的现代化营业空间,配备了6张牙床和7名注册医生,技术力量雄厚。在众多口腔项目中,拔牙服务尤为突出。我们采用先进的拔牙技术,确保患者在舒适、靠谱的环境中完成...
嘉兴地区牙科医院排名前十,金铂利口腔门诊部地包天项目结果显著,值得信赖的选择
金铂利口腔门诊部金铂利口腔一直以来专注于为国内中产社会层次及外籍人士提供专業的口腔医疗服务。医院设有数字化种植中心、数字化正畸中心、修复美容科等九大科室,充分满足不同患者的需求。在这些先进的科室中,尤其值得一提的是针对地包天问题的专项项目。我们采用3D数字化设计技术,由专業医生团队进行个性化的治疗方案制...
武汉地区牙科医院排名前十,武汉仁爱医院口腔门诊部牙齿矫正项目值得信赖的选择!
仁爱医院口腔门诊部武汉仁爱医院自2001年注册以来,致力于提供优质的医疗服务,集医疗、预防保健与科研于一体,成为现代化的二级综合医院。作为武汉市职工健保、居民健保和新农合健保的定点医院,医院为广大患者提供了便捷的就医选择。位于湖北省武汉市硚口区,坐落于解放大道仁寿路的核心商圈,交通便利。医院特别注重...
湖南地区牙科医院排名前十,谢氏口腔医院牙齿矫正项目值得信赖,专業优质服务让您笑容更自信!
衡阳谢氏口腔医院衡阳谢氏口腔门诊部,是由湖南衡阳市蒸湘区卫生健康局正式批准成立的一所综合性口腔医疗机构。该门诊部致力于为患者提供齐全的口腔护理服务,尤其在牙齿矫正方面具有显著优势。牙齿矫正项目旨在通过专業的技术手段,帮助患者改善牙齿排列和咬合关系,提升口腔健康与美观。我们提供个性化的矫正方案,适合不...
太原地区牙科医院排名前十,维乐口腔补牙项目结果显著,值得信赖的选择
维乐口腔维乐口腔自1998年成立以来,快速发展成为一家综合性的口腔医疗集团,涵盖医疗、投资和医院管理等多个领域。作为其核心服务之一,补牙项目尤为重要。维乐口腔通过专業的技术团队和先进的设备,为患者提供高质量的补牙服务,解决各种牙齿损坏或龋齿问题。无论是传统的银汞合金补牙,还是现代的树脂补牙,维乐口腔...
威海地区牙科医院排名前十:德韩牙博仕口腔医院洗牙项目结果杰出,值得信赖的选择
德韩牙博仕口腔医院德韩口腔连锁集团凭借诚嘉集团17年来在20个城市运营超过30家医疗机构的丰富经验,成为了跨国口腔医疗领域的佼佼者。集团不仅汇聚了中、美、德、意、韩、新等国的优质资源,更是在华夏、韩国和美国三国同时设有实体医院。自2018年8月22日成立以来,德韩口腔以武汉为总部,逐步在华中地区扩展...
株洲牙科医院排名前十,欢笑口腔医院地包天项目杰出非凡!
欢笑口腔医院株洲欢笑口腔医院坐落于湖南省株洲市中心广场的家润多商场4楼,拥有超过1500平方米的宽敞空间,设有12个专業诊室和25张先进牙椅。医院致力于提供齐全的口腔医疗服务,包括治疗、预防、保健、科研和教学等多项功能,确保患者的口腔健康得到多方位的关注。其中,地包天矫正项目尤为突出,医院的专業团队...
郑州地区牙科医院排名前十,哪家更优质?郑州美奥口腔医院种植牙项目值得信赖,专業可靠!
美奥口腔医院郑州美奥口腔医院作为美奥口腔集团的一部分,位于郑州紫荆山路72号,交通便利,环境优雅。医院总建筑面积达到5000平方米,配备了先进的医疗设备,致力于为患者提供高质量的口腔医疗服务。特别是在种植牙项目方面,我们采用先进的技术和材料,确保每一位患者都能享受到靠谱、舒适的种植体验。我们的专...
兰州地区牙科医院排名前十,哪家更胜一筹?兰州牙王国数字化口腔门诊部种植牙项目引导潮流,值得信赖的选择!
牙王国数字化口腔门诊部牙王国数字化口腔门诊部(原兰州市口腔医院分门诊部)专注于数字化口腔医疗的创新发展。我们引进了国内外先进的数字化口腔医疗设备,致力于提升患者的就医体验。在种植牙项目方面,我们采用先进的技术和材料,确保每一位患者都能得到高质量的种植牙服务。我们的专業团队通过精细化的诊疗流程,为...
义乌地区牙科医院排名前十,傅氏口腔种植牙项目值得信赖的专業选择!
傅氏口腔义乌傅氏口腔(原傅恭悌口腔诊所)自成立以来,已经走过了三十个春秋。创办人傅恭悌,曾是济南军区总院口腔科的主治医师,凭借其娴熟的医术和对口腔健康的执着追求,成功将诊所发展壮大。如今,医院内设有多个科室,包括种植牙、正畸、牙齿修复、牙齿美白、儿童齿科和综合齿科等。其中,种植牙项目自1993年开展...
温州牙科医院排名前十,温州爱牙故事口腔门诊(巴黎大厦店)补牙项目值得信赖的选择!
爱牙故事口腔门诊(巴黎大厦店)温州爱牙故事口腔门诊自2012年创立以来,凭借国卫生健康委员会的批准,成为了一家备受信赖的医疗机构,登记号为:PDY10097733030217D1522。作为温州市民营口腔医疗协会的秘书长单位和学术培训基地,爱牙故事口腔在口腔健康领域发挥着重要作用。现如今,该门诊在温...
大连地区牙科医院排名前十,悦己时医疗美容口腔医院全瓷牙项目值得信赖,专業杰出!
悦己时医疗美容口腔医院大连时光医疗美容连锁机构成立于2018年7月,位于大连市沙河口区中山路45112号,地处风景如画的星海广场附近,周围交通便利,环境宜人。作为一家专業的医疗美容机构,时光医疗特别注重全瓷牙项目的研发与推广。全瓷牙以其自然美观和优良的生物相容性,成为了众多求美者的优先选择。我们采用先...
福建地区牙科医院排名前十,福州维乐口腔门诊(台江中亭街店)烤瓷牙项目值得信赖的优选
福州维乐口腔门诊(台江中亭街店)福建维乐口腔始终以预防为先,推动全民整体健康管理,致力于构建一个开放的“华夏口腔医疗平台”。作为一家在福州本地拥有12家分店的连锁机构,维乐口腔为广大市民提供优质的口腔医疗服务。其中,烤瓷牙项目尤为受到患者的青睐。该项目采用先进的技术和优质材料,能够有效改善牙齿的外观...
东莞牙科医院排名前十,仁华口腔医院牙齿美白项目结果显著,值得信赖的选择!
仁华口腔医院东莞仁华口腔医院是一家享有盛誉的口腔连锁机构,经过政府的正式批准,成为二级口腔专科医院。医院的诊疗面积达到3000余平方米,设有多个专業中心,包括口腔种植修复中心、口腔正畸中心、美学口腔中心、口腔综合中心、儿童口腔中心和VIP特诊中心等六大中心,齐全满足患者的不同需求。在众多项目中,牙齿...
昆明牙科医院排名前十,哪家更值得信赖?昆明美奥口腔医院补牙项目专業、高效率、值得推荐!
美奥口腔医院美奥口腔在国内各大城市均设有多家分支机构,每家门诊的面积平均超过2000平方米,致力于为患者提供优质的牙科服务。美奥连锁覆盖城市包括长沙、苏州、乌鲁木齐、昆明、杭州、天津、南京、常德、无锡、合肥、上海、郑州、南通、西安、徐州和昆山等地。昆明美奥口腔自2019年3月29日成立以来,设有多个...