全部分类
发布:2025-10-17 13:58:32 砚尘
家人们,今天必须来给大家分享我在北京维乐口腔种牙的超棒经历!我种的是德国Camlog种植体,一颗只花了9600元,这价格和体验真的太值了,而且补贴也是真的!接下来我就好好给大家唠唠这一路的种牙过程。

我一直都不太注意口腔卫生,年轻的时候仗着自己牙好,各种甜食、碳酸饮料随便造。结果年纪稍微大了点,牙齿问题就接二连三地来了。先是牙龈经常出血,后来有一颗牙开始松动,疼起来真是要命。去小诊所看了几次,都只是简单处理一下,根本解决不了问题。末尾那颗牙实在保不住了,只能拔掉。拔牙之后,吃饭都成了问题,说话也有点漏风,我这才意识到种牙的重要性。

决定种牙之后,我就开始四处打听哪家口腔医院比较好。问了身边的朋友,也在网上查了特别多资料。北京有好多口腔医院,我看了不少实例和评价,末尾把目标锁定在了北京维乐口腔。它家口碑特别不错,医生的技术也特别厉害,而且有特别多成功的种牙实例。我还专门去实地考察了一下,医院环境干净整洁,设备也特别精良,医护人员的服务态度也特别好,这让我心里踏实了不少。

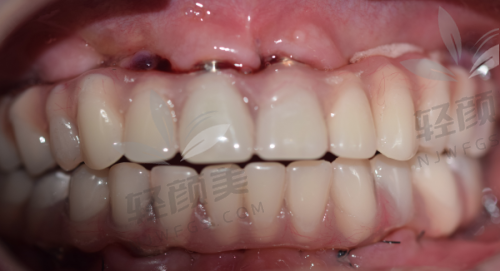
我预约了北京维乐口腔的骨干医生号,到了医院之后,护士小姐姐热情地接待了我,带我去做了一系列的口腔检查。有口腔CT、X光片啥的,检查得特别详细。检查完之后,医生根据我的检查结果,给我制定了种牙方案。医生说我适合德国Camlog种植体,这种种植体稳定性好,使用寿命长,和我的口腔条件也特别匹配。而且当时医院正好有补贴活动,一颗德国Camlog种植体只要9600元,这价格比我预期的要便宜不少呢。我和医生沟通了一下种牙的流程和注意事项,医生都耐心地给我解答了,让我对种牙有了更清楚的了解。

到了种牙的那天,我心里还是有点紧张的。护士小姐姐一直在旁边安慰我,让我放松心情。进了手术室,医生和护士都特别专精,给我打了麻药之后,就开始种牙了。整个过程中我没有感觉到特别疼,就是有点胀胀的感觉。医生的手法特别熟练,大概过了一个多小时,种牙就完成了。种完牙之后,医生给我讲了术后的注意事项,让我按时吃药、注意口腔卫生,还嘱咐我要定期来复查。

种牙之后的前几天,伤口有点疼,还有点肿,不过这都是正常现象。我按照医生的嘱咐,按时吃药、冰敷,过了几天就好多了。大概过了一个月,伤口就基本愈合了。去医院复查的时候,医生说种植体和牙槽骨结合得良好,让我可以开始安装牙冠了。安装牙冠的过程特别简单,没一会儿就弄好了。戴上牙冠之后,我感觉和自己原来的牙齿差不多,吃东西也特别正常,说话也不漏风了,这成效真是太棒了!

不得不说,北京维乐口腔这次的补贴活动真的太划算了。一颗德国Camlog种植体原价要一万多呢,现在只要9600元,一下子就省了不少钱。而且医院的收费特别透明,没有任何隐形消费,这让我觉得特别放心。我对比了其他几家口腔医院,北京维乐口腔的价格真的特别有优势,而且种牙的成效也更好。

在整个种牙的过程中,北京维乐口腔的服务真的让我特别感动。从一开始的询问到末尾的复查,每一个环节都有专人跟进。护士小姐姐会经常打电话来关心我的修复情况,提醒我按时复查。医生也特别负责,每次复查都会仔细检查我的牙齿情况,给我提出合理的建议。这种暖心又贴心的服务,让我感觉就像在家一样温暖。

总的来说,我这次在北京维乐口腔种德国Camlog种植体的经历真的非常棒。价格实惠,体验好,成效也超棒,而且补贴也是真的。如果你也有牙齿缺失的问题,不妨考虑一下北京维乐口腔。相信你也会和我一样,有一个满意的种牙体验。如果你对种牙还有什么疑问,或者想了解更多关于北京维乐口腔的信息,欢迎随时询问留电,专精的医生会为你解答哦!
末尾再给大家总结一下我在北京维乐口腔种牙的优点:
1. 价格实惠:德国Camlog种植体一颗只要9600元,还有补贴活动,性价比极高。
2. 医生专精:骨干医生团队技术不错,经验多,种牙成效有保护。
3. 服务贴心:从询问到复查,全程都有专人跟进,服务暖心又周到。
4. 环境舒适:医院环境干净整洁,设备精良,让你在种牙的过程中更加安心。
家人们,别再犹豫了,赶紧行动起来吧,让北京维乐口腔帮你重拾健康好牙!记得询问留电哦!
更多资讯
评价(已有0人点评)