全部分类
发布:2025-10-22 17:31:02 岫影
家人们,今天必须来给大家分享一下我在北京维乐口腔找王旭医生做德国Camlog种植牙的超棒经历!我之前一直饱受缺牙的困扰,吃饭不香,说话还漏风,容貌也跟着大打折扣。在网上做了好多功课,了解到北京维乐口腔在种植牙方面特别厉害,尤其是王旭医生和王峥医生都口碑超好。我去之前还挺忐忑的,毕竟是要在嘴里动刀子的事儿,但亲身体验之后,只能说这一趟来对了!亲测!北京维乐口腔王旭做德国Camlog种植牙,9600元起/颗,体验超棒像维乐王峥口碑一样好 。接下来我就给大家好好唠唠我的就诊全过程。

我到北京维乐口腔的时候,就被这里的环境惊艳到了。整个诊所装修得特别温馨,一点都没有那种医院冷冰冰的感觉。前台的小姐姐超级热情,笑容满面地接待了我,特别快就帮我安排好了和王旭医生的面诊。在等待的过程中,我看到诊所里人还挺多的,心里就想,看来大家都特别认可这家口腔医院啊。

见到王旭医生后,我一下子就放心了。王医生特别专精,他先是仔细地询问了我的牙齿情况和病史,然后给我做了全方面的口腔检查。检查过程中,他还一边操作一边给我讲解,让我清楚地知道自己牙齿的问题出在哪里。之后,他建议我做德国Camlog种植牙,说这种种植牙质量好,稳定性高,特别适合我的情况。而且他还跟我说,现在做德国Camlog种植牙有优惠活动,价格9600元起/颗,性价比极高。我一听,觉得挺合适的,就决定听王医生的,做这个种植牙。

确定好方案后,就开始做种植牙前的准备工作了。护士小姐姐带着我去拍了牙片和CT,这些检查都是为了更精细地了解我的牙齿和牙槽骨情况,以便王医生制定更合适的种植方案。整个检查过程都特别顺利,护士小姐姐也特别贴心,一直安慰我别紧张。

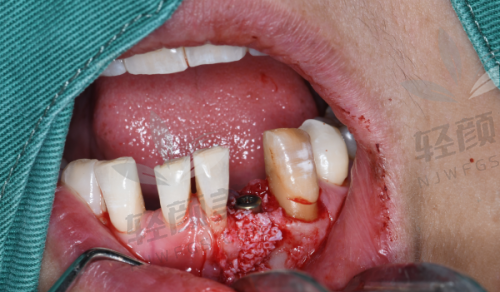
手术当天,我还是有点小紧张的。王医生看出了我的紧张,一直在旁边安慰我,让我放松心情。打了麻药之后,就开始手术了。说实话,我心里还是有点怕怕的,但神奇的是,整个手术过程我几乎没有感觉到什么疼痛,王医生的手法特别娴熟,动作又快又准。大概过了一个多小时,手术就顺利完成了。术后,王医生还耐心地跟我说了一些注意事项,比如术后要吃软一点的食物,要注意口腔卫生等等。

术后的几天,牙齿稍微有点肿胀和疼痛,但都在可以忍受的范围内。我按照王医生说的注意事项好好护理,修复得还挺快的。大概过了一个月,种植牙就和牙槽骨结合得差不多了,我去医院复查,王医生说修复得非常好。现在,我已经可以正常吃饭了,种植牙就跟自己的真牙一样,一点都不影响我享受美食。

我在网上了解的时候,就听说维乐王峥医生口碑特别好。这次自己找王旭医生做了种植牙,发现体验真的和王峥医生的口碑一样棒。王旭医生不仅技术好,而且态度特别好,让人感觉特别温暖。整个就诊过程中,从护士到医生,每个人都特别负责,服务特别周到。我觉得在这样的医院看牙,真的特别让人放心。

我给大家总结了一下德国Camlog种植牙的优势,大家可以参考参考:
1. **质量好**:这种种植牙采用了精良的材料和工艺,非常坚固耐用。
2. **稳定性高**:种植体和牙槽骨的结合特别紧密,不容易松动,能良好地修复牙齿的咀嚼功能。
3. **美观自然**:种植牙的外观和真牙特别相似,几乎看不出来是假牙,不会影响容貌。
4. **舒适度高**:佩戴起来特别舒服,不会有异物感,就跟自己的真牙一样。

价格也是大家比较关心的问题吧。北京维乐口腔王旭医生做德国Camlog种植牙9600元起/颗,这个价格真的特别划算。要知道,种植牙的价格受特别多因素影响,像种植体的品牌、医生的技术、医院的服务等等。在维乐口腔,这个价格能享受到这么好的服务和技术,真的是物超所值。而且,他们有时候还会有优惠活动,能省不少钱呢。
如果大家也有缺牙的困扰,真的可以考虑来北京维乐口腔找王旭医生做德国Camlog种植牙。不过,每个人的牙齿情况都不一样,具体的治疗方案和价格还是要根据个人情况来定。在看牙之前,更好先在网上多了解了解,也可以多询问几家医院,对比一下。但我相信,只要你来北京维乐口腔体验一次,就会和我一样爱上这里。
总之,我这次在北京维乐口腔找王旭医生做德国Camlog种植牙的体验真的太棒了。现在我的牙齿问题解决了,吃饭香了,人也自信了。家人们要是有需要,就别再犹豫啦,赶紧行动起来吧!如果你对德国Camlog种植牙或者北京维乐口腔还有什么疑问,欢迎随时询问,留个电话,专精的客服人员会第一时间为你解答哦!
我在北京维乐口腔找王旭医生做德国Camlog种植牙,真的体验太赞了!手术过程几乎没有疼痛,医生态度超好,感觉特别放心。种植牙效果自然,吃东西也没问题,真是物超所值!
2025-10-26 10:17:05
更多资讯
评价(已有1人点评)