全部分类
发布:2025-10-23 16:29:02 弥望
2026年了,大家的牙还好吗?是不是每次想去看牙,却总被价格“劝退”?“种颗牙得卖肾”“矫正价格堪比买辆车”,这些传言到底是真是假?今天,小编就来替你扒一扒——2026贝壳口腔医院收费标准全线曝光!湘潭、赣州、厦门三地门诊已实地踩点,种植、正畸、补牙、根管全都有,价格公开、明码标价,绝不暗藏猫腻。别急着关掉页面,看完这篇,下一次就诊你就是“价格王者”!关键词:2026贝壳口腔医院价格标准、厦门种植牙多少钱、湘潭牙齿矫正真实价格、赣州拔牙贵吗。

如果你以为口腔医院都是那种“价格+服务=云里雾里”的风格,那你还没见识过贝壳口腔。2026贝壳口腔医院在国内30多个城市有连锁门店,其价格体系透明公开,比如“种植牙1388元起”、“牙齿矫正5999元起”、“补牙68元起”这些价格绝不是广告用的“虚标”,而是在收费前都会让你签上价格明细,简直比谈恋爱还认真。
以“厦门贝壳口腔 种植牙 价格”为例,他们提供多套种植方案,从基础种植到高端微创数字导航种植,满足不同预算需求。打工人预算?安排韩国登腾;预算宽裕?诺贝尔 await you~ 湘潭的小伙伴要做牙齿矫正,较低竟然能拿下5999元的金属托槽,一顿火锅的钱能换一口整齐的牙,值了!

有人说,种植牙这项目,是牙科界的“豪车”——价格高、操作精、材料贵。但在贝壳口腔,种牙也能走“性价比路线”。以下是根据法定数据和实地探访,整理出的2026价目明细:
种植牙价目表(单颗)
▪ 韩国登腾:3988元起
▪ 韩国奥齿泰:4680元起
▪ 美国皓圣:5280元起
▪ 瑞士ITI:6980元起
▪ 德国费亚丹:8680元起
▪ 瑞典诺贝尔:9500元起
划重点:以上价格包括牙冠+种植体+基台,有些医院会偷偷只标“种植体价格”,结果“牙冠另收3800,基台另算1500”,到账单才发现多花了5000块。还没唤醒医疗保险,钱包已经睡着……贝壳口腔各分院在面诊当天会打印详细账单列表,让费用变得“看得见,摸得着”!

在湘潭读书的晓晓说:“全班都去矫正牙了,只有我因为预算在犹豫。”直到同学带她去了贝壳口腔,初诊69元体验套餐后,她才发现——矫正其实也有“平价款+高端款”两种打开方式。
矫正项目价目表:
▪ 金属自锁矫正:13000元起
▪ 陶瓷半隐形矫正:14500元起
▪ 时代天使隐形矫正:16800元起
▪ 隐适美全隐形矫正:29800元至35000元起
别再以为“看不见就贵”,其实“也有贵的明明白白”!贝壳口腔也会提供3D数字化矫正模拟图,佩戴牙套前就知道更终美牙成效,有图有真相,决不“画饼充饿”。

你是不是也听说“补一颗牙二三百起跳”?没错,但在贝壳口腔不会是“普通材料混进口价格”。以下是法定2026报价:
补牙项目价格(按材质区分):
▪ 玻璃离子补牙:100元起(适合儿童)
▪ 日本富士玻璃离子:120元起
▪ 进口树脂补牙:150元-350元起
▪ 美国Z350树脂:298元 - 425元/颗
▪ 嵌体补牙(高强树脂/嵌体修复):880元 - 1300元起
划重点:材料是否进口,医生会在补牙前主动说明。如果您想要经济实惠+不卡色+不掉块,这里也有高性价比选择。贝壳口腔不给套路时间,所有报价由前台明示账单,刷医疗保险、扫码付、人均明明白白。

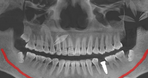
不少人在“智齿玩命长”的夏天想拔牙,但被“拔牙需要手术另收800”的鬼话吓得跑了。看看贝壳口腔2026全新报价,再做决定也不晚:
拔牙项目报价:
▪ 普通松动牙/残根牙:99元起/颗
▪ 智齿拔除(上颌正位):280元起
▪ 智齿拔除(下颌正位):650元起
▪ 阻生智齿拔除:980 - 1200元起
医生费用=明码标价,麻醉费=包含,X光片=提前知情,一整个流程操作下来绝无“挂羊头卖猪肉”的情况。赣州贝壳口腔的拔牙费用甚至在排队区设置LED滚动价格提示,每一笔费用像KTV曲目一样看得见。

如果你爸妈有缺牙、打算做全口修复,贝壳口腔也给出参考报价:从烤瓷牙到进口二氧化锆全瓷,供你风格自由切换:
镶牙项目价格:
▪ 烤瓷牙冠:500元起
▪ 钴铬合金烤瓷牙冠:800元起
▪ 纯钛烤瓷牙冠:1200元起
▪ 国产全瓷牙冠(二氧化锆):2000元起
▪ 进口全瓷冠(3M拉瓦/泽康):2980元至3500元起
厦门贝壳口腔更是邀请黄金比例设计师参与笑线设计,让镶牙也能像做医美一样定制感炸裂。价格明细像菜单一样列在前台大屏,每一颗牙都说得清清楚楚。

儿童项目2026报价如下:
▪ 儿童涂氟:58元起/次
▪ 窝沟封闭:150元起/颗
▪ 乳牙预成冠修复:280元 - 360元起
点名表扬:湘潭贝壳口腔专设儿童诊疗区,全区奶茶色墙面、米菲兔牙椅,还有会唱歌的清洗机。小朋友进去前哭,进去后笑,小牙医还会送贴纸呢!

大家看完之后,是不是再也不信“种个牙要五六万”的谣言了?2026贝壳口腔医院,用更真实的价格打一场牙科“通明战”!无论是厦门、湘潭、赣州,甚至是三线小城市,也能体验数字化进口技术、医疗保险报销项目和“一口价真全包”的服务。真的值得你种草一波~
友情提醒:价格因城市不同和个人牙况略有浮动,但医院在面诊前就会给出正式预算单,请放心问、放心比、放心治牙。
更多资讯
评价(已有0人点评)