全部分类
擅长项目:
医院地址:宁夏吴忠市利通区裕民西街永昌城市花园西侧永昌开发公司办公楼2号(1-3层)在吴忠地区,有一家备受瞩目的口腔门诊部——吴忠牙卫士口腔门诊部。它凭借着专精的医疗团队、精良的技术设备以及贴心的服务,在当地口腔医疗领域占据着重要的地位。接下来,让我们全方面地了解一下这家口腔门诊部。

吴忠牙卫士口腔门诊部是一家专注于口腔健康服务的专精机构。门诊部内部环境舒适宜人,装修风格温馨且不失专精感,为患者营造了一个轻松的就诊氛围。从患者踏入门诊部的那一刻起,就能感受到工作人员热情周到的服务。这里的医护人员都经过严格的专精培训,具备丰富的临床经验和扎实的专精知识。他们不仅能够为患者提供精细的诊断,还能根据患者的具体情况制定个性化的治疗方案。门诊部还注重与患者的沟通,耐心解答患者的疑问,让患者在就诊过程中感到安心和放心。多年来,吴忠牙卫士口腔门诊部凭借着良好的口碑和优质的服务,赢得了广大患者的信赖和认可。无论是牙齿矫正、牙齿修复还是口腔疾病治疗,都能在这里得到专精、有效的解决。

吴忠牙卫士口腔门诊部是一家正规的口腔医疗机构。它拥有齐全的执业资质,各项手续均符合国内相关部门的规定和要求。门诊部的医生都具备相应的执业资格证书,他们毕业于有名的口腔医学校校,并且在口腔医疗领域有着丰富的实践经验。在医疗设备方面,门诊部引进了国内外精良的口腔诊疗设备,这些设备都经过严格的质量检测和认证,确保了诊断和治疗的正确性和安心性。同时,门诊部严格遵守医疗行业的规范和标准,从医疗器械的消毒到治疗过程的操作,都有一套完善的管理体系。在药品和材料的采购上,也严格把控质量关,确保使用的都是正规渠道的合格产品。此外,门诊部还定期接受相关部门的检查和检查,不断提升自身的医疗服务质量和管理水平,以保护患者的合法权益和医疗安心。
吴忠牙卫士口腔门诊部是一家私立口腔门诊部。与公办医院相比,私立口腔门诊部有着自身独特的优势。私立口腔门诊部通常更加注重患者的个性化需求。在吴忠牙卫士口腔门诊部,医生会花更多的时间与患者沟通,了解患者的期望和需求,然后制定出更适合患者的治疗方案。这种个性化的服务模式能够更好地满足不同患者的特殊需求,提高患者的治疗满意度。私立口腔门诊部的服务更加灵活多样。门诊部的营业时间相对较为灵活,患者可以根据自己的时间安排预约就诊,避免了在公办医院排队等待的繁琐。此外,门诊部还提供了舒适的就诊环境和贴心的服务,让患者在就诊过程中感受到家一般的温暖。私立口腔门诊部在技术和设备的更新上也更加积极主动。为了给患者提供更好的治疗成效,吴忠牙卫士口腔门诊部不断引进精良的口腔诊疗技术和设备,保持在口腔医疗领域的领跑地位。

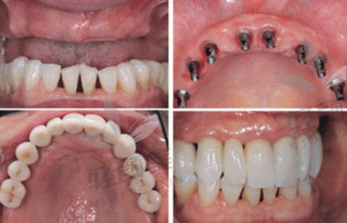
吴忠牙卫士口腔门诊部擅长的项目丰富多样,涵盖了口腔医疗的各个方面。在牙齿矫正方面,门诊部拥有多种矫正技术,如传统金属矫正、陶瓷矫正、隐形矫正等。医生会根据患者的牙齿情况和个人需求,选择更适合的矫正方案。隐形矫正技术尤其受到年轻患者的青睐,它具有美观、舒适、可摘戴等优点,不影响患者的日常生活和社交。在牙齿修复方面,门诊部可以进行烤瓷牙、全瓷牙、活动假牙、种植牙等修复项目。种植牙技术是门诊部的特色项目之一,医生通过精良的种植技术和优质的种植体,为患者修复牙齿的功能和美观。对于口腔疾病的治疗,门诊部擅长治疗龋齿、牙髓炎、根尖周炎、牙周炎等疾病。医生采用精良的治疗方法和设备,能够快速有效地缓解患者的疼痛,治愈疾病。此外,门诊部还提供牙齿美白、儿童口腔保健等服务,满足不同年龄段患者的口腔健康需求。

吴忠牙卫士口腔门诊部引进了一系列精良的口腔诊疗仪器设备。其中包括口腔全景X光机,它能够清晰地拍摄口腔全景图像,帮助医生全方面了解患者的口腔状况,正确诊断牙齿和颌骨的疾病。数字化口腔扫描仪可以快速、正确地获取患者牙齿的三维模型,为牙齿矫正和修复提供严谨的数据支持。在牙齿种植方面,门诊部配备了精良的种植机和导航系统,能够提高种植手术的精细度和安心性。超声洁牙机可以有效地清除牙齿表面的牙结石和菌斑,预防口腔疾病的发生。此外,门诊部还拥有精良的消毒设备,如高温高压灭菌器等,能够对医疗器械进行完全的消毒,防止交叉感染。这些精良的仪器设备为吴忠牙卫士口腔门诊部的医疗服务提供了有力的保护,确保患者能够得到高质量的口腔治疗。

吴忠牙卫士口腔门诊部的营业时间为9点到18点。这样的营业时间安排具有明显的优势。对于上班族和学生来说,他们可以在下班后或放学后前往门诊部就诊,无需请假耽误工作或学习。这种灵活的营业时间能够更好地满足不同人群的需求,方便患者就诊。在营业时间内,门诊部的医护人员都保持着良好的工作状态,为患者提供优质的服务。他们会提前做好各项准备工作,确保患者能够得到及时、效率高的治疗。门诊部在节假日也会安排值班医生,方便患者在节假日期间就诊。即使患者在非工作时间遇到口腔紧急情况,也可以通过门诊部的应急电话联系到医生,获得及时的指导和帮助。吴忠牙卫士口腔门诊部合理的营业时间安排为患者提供了极大的便利,让患者能够更加轻松地解决口腔问题。


吴忠牙卫士口腔门诊部在技术方面具有显著的特点。门诊部注重引进国内外精良的口腔诊疗技术。如在牙齿矫正领域,采用了隐形矫正技术,这种技术不仅美观舒适,而且可以根据患者的牙齿移动情况进行个性化定制,大大提高了矫正的成效和效率。在牙齿种植方面,运用了数字化种植技术,通过计算机模拟种植过程,精细定位种植体的位置,提高了种植手术的成功几率和安心性。门诊部强调个性化治疗。医生会根据每个患者的口腔状况、身体状况和个人需求,制定出更适合患者的治疗方案。对于牙齿修复患者,医生会综合考虑患者的牙齿颜色、形状和面部特征,选择更匹配的修复材料和修复方式,确保修复后的牙齿自然美观。门诊部还注重技术的创新和发展。定期组织医生参加国内外的学术交流活动,学习全新的口腔诊疗技术和理念,并将其应用到临床实践中。同时,门诊部还与多家有名口腔医疗机构建立了合作关系,实现了技术共享和资源互补,为患者提供更加优质的口腔医疗服务。

吴忠牙卫士口腔门诊部的电话号码是400###986。患者可以通过拨打这个电话进行询问、预约挂号等。门诊部的工作人员会耐心解答患者的疑问,为患者提供详细的信息和建议。如果患者有紧急的口腔问题,也可以通过电话与医生取得联系,医生会根据患者的情况给予及时的指导和帮助。

吴忠牙卫士口腔门诊部位于宁夏吴忠市利通区裕民西街永昌城市花园西侧永昌开发公司办公楼2号(1-3层)。在前往门诊部之前,患者可以通过地图导航软件查询具体的路线,确保能够顺利到达。同时,门诊部也会为患者提供详细的路线指引,让患者在就诊过程中更加便捷。

吴忠牙卫士口腔门诊部提供多种预约挂号方式。患者可以通过拨打门诊部的电话进行电话预约。在电话中,患者可以告知工作人员自己的姓名、联系方式、预约时间和就诊需求,工作人员会为患者安排合适的医生和就诊时间。患者还可以通过门诊部的法定网站或微信公众号进行在线预约。在网站或公众号上,有专门的预约挂号入口,患者只需按照提示填写相关信息即可完成预约。这种方式方便快捷,患者可以随时随地进行预约。此外,患者也可以直接前往门诊部进行现场预约。门诊部的前台工作人员会热情地为患者办理预约挂号手续。无论患者选择哪种预约方式,都能够方便、快捷地预约到自己心仪的医生。
超值优惠!江门蓬江德佰年口腔门诊部活动义齿现价仅需2500元起,原价3000元起,性价比极高,确实值得选择!
2025-10-09 09:29:04
仅需2500元起,甘肃酒泉王小萍口腔诊所烤瓷牙超值优惠,原价3000元起,确实值得选择!
2025-10-10 08:48:08
聊城市东昌府华医口腔门诊部推出拔牙优惠活动,现仅需680元起,原价800元起,超值选择,值得信赖!
2025-10-14 07:41:05
邯郸正植口腔门诊部补牙优惠价格仅需600元起,原价800元起,超值折扣让您体验美丽惊喜!
2025-10-14 09:20:08
开封鼓楼三德口腔门诊部补牙费用原价500元起,现在优惠价仅需350元起,超值折扣,价格合理,服务优质,是您明智的选择!
2025-10-23 07:43:06
马秀杰主治医师
所属医院:温州瑞安佳洁口腔门诊部
诊疗项目:烤瓷牙、龋齿、洗牙、根管治疗、地包天
2025-10-11 09:13:07
张建平执业医师
所属医院:深圳睿文口腔诊所
诊疗项目:烤瓷牙、颌面外科、全瓷牙、牙套、拔牙
2025-10-14 09:38:03
陈祖贤院长
所属医院:镇江我的牙医口腔诊所
诊疗项目:牙齿美白、颌面外科、全瓷牙、龋齿、补牙
2025-10-17 08:39:09
张志勇执业医师
所属医院:济南医大口腔医院
诊疗项目:活动义齿、烤瓷牙、颌面外科、洗牙、地包天
2025-10-21 08:08:02
潘泉执业医师
所属医院:无锡潘泉口腔诊所
诊疗项目:儿童齿科、颌面外科、龋齿、拔牙、地包天
2025-10-21 09:39:09
评价(已有0人点评)