全部分类
擅长项目:
医院地址:同心县团结北街与建设路交叉口西50米在宁夏吴忠同心县,张学亮口腔诊所是当地备受瞩目的口腔医疗机构。它凭借自身的诸多优势,为当地居民提供了优质的口腔医疗服务,接下来我们就对这家诊所进行全方面的了解。

吴忠同心张学亮口腔诊所是同心县比较推荐的牙科之一,在当地人气较高。诊所规模较大,为患者营造了舒适的就诊环境,其内部干净整洁,让人一进入就感觉放松。该诊所开展项目齐全,能满足不同患者的口腔需求。它的位置十分优越,位于临街处,处于两个街道交叉口,门面显眼,特别容易找到,并且门口还设有停车位,方便患者前来就诊。自2017年成立以来,它不断提升自身的医疗水平和服务质量,深受当地居民的信赖。

吴忠同心张学亮口腔诊所是一家正规的口腔医疗机构。它是一家以从事卫生为主的企业,拥有行政许可1个,这表明它经过了相关部门的审核和批准,具备合法开展口腔科服务的资质。目前诊所处于开业状态,经营范围明确为口腔科服务,严格按照相关规定和标准进行运营,在为患者提供口腔诊疗服务时,遵循正规的医疗流程和规范,保护患者的权益和安心。

吴忠同心张学亮口腔诊所是私立口腔诊所。与公办医院相比,私立诊所往往更加注重服务质量和患者体验。张学亮口腔诊所会根据患者的具体情况,提供个性化的口腔诊疗方案。诊所的经营者张学亮会带领团队不断提升服务水平,从患者进入诊所开始,就会有专人引导,解答患者的疑问。在诊疗过程中,医生会耐心地与患者沟通,让患者了解自己的口腔状况和治疗方案。而且私立诊所的运营更加灵活,可以及时引进新的技术和设备,为患者提供更好的治疗成效。

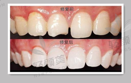
虽然具体擅长项目未详细提及,但从其开展项目齐全的特点来看,它应该涵盖了常见的口腔项目。比如牙体牙髓病的治疗,能够有效解决牙齿疼痛、龋齿等问题;口腔修复方面,可能包括补牙、镶牙、全瓷牙修复等,帮助患者修复牙齿的功能和美观;口腔正畸项目,可对牙列不齐、反牙合等错牙合畸形进行矫正;还有牙周病的治疗,维护口腔牙周组织的健康;以及复杂牙的拔除等项目,为患者解决各种口腔难题。

该诊所的仪器设备较新,它能为医生提供便利的操作条件,满足不同口腔治疗的需求。还有口腔X光机,通过它可以清晰地看到牙齿内部和周围组织的情况,帮助医生正确诊断病情。另外,可能配备有牙齿美白仪器,为有牙齿美白需求的患者提供服务;在口腔正畸方面,或许有精良的模型制作设备等,用于制作精细的牙齿模型,制定合适的矫正方案。

吴忠同心张学亮口腔诊所营业时间是早上9点到晚上6点左右。这样的营业时间优势在于方便不同工作和生活节奏的患者前来就诊。上班族可以在下班后或者周末来诊所看牙,学生也可以在课余时间进行口腔检查和治疗,无需专门请假,提高了患者就诊的便利性。

吴忠同心张学亮口腔诊所的技术特点首先体现在仪器设备较新上,新的设备能够提供更精细的诊断和治疗。在诊疗过程中,医生可能会运用精良的技术和方法,比如在牙齿修复时,采用更精良的材料和工艺,使修复后的牙齿更加美观和耐用。在正畸方面,可能会引入新的矫正技术,减少患者的不适感和矫正时间。而且诊所的医生应该会不断学习和更新知识,参加各类学术交流和培训,将全新的口腔医学理念和技术应用到临床实践中,为患者提供更优质的治疗成效。

吴忠同心张学亮口腔诊所电话号码是400###986

该诊所地址有多个信息显示,分别为同心县团结北街与建设路交叉口西50米;银海家园二号营业房;吴忠市同心县建设街豫海新居东北侧约30米。关于乘车路线,由于不清楚具体的出发地,患者可以通过手机地图软件,输入诊所地址,根据自己的位置选择合适的公交路线或者驾车导航路线。一般来说,周边的公交线路应该能够满足大部分患者的出行需求,驾车的话也比较方便找到,因为其位置临街且门面显眼。

文中未提及具体的预约挂号方式。常见的预约挂号方式有多种,患者可以直接拨打诊所的电话进行预约,告知工作人员自己的就诊时间和需求;也可以通过线上平台,如微信公众号、美团等,在上面查找该诊所并进行预约挂号;还可以前往诊所现场,在前台进行预约登记,选择合适的医生和就诊时间。
限时优惠!全瓷牙仅需3500元起,原价5000元起,深圳合诺大冲口腔门诊部为您提供超值选择,实惠又令人心动!
2025-10-05 09:43:07
襄阳号尔口腔门诊部活动义齿现价仅需2980元起,原价3800元起,超值优惠,助您重拾自信笑容,展现迷人魅力!
2025-10-08 07:41:05
江西康泰拜博口腔医院烤瓷牙价格表:现优惠仅需2500元起,原价3000元起,优异机会,性价比超高!
2025-10-16 08:40:07
限时优惠!株洲荷塘唯美口腔门诊部(伟大店)牙齿美白现仅需588元起,原价688元起,超值优惠,机会难得!
2025-10-19 09:18:08
超值优惠!东莞寮步致上口腔门诊部烤瓷牙价格仅需2500元起起,原价3000元起,确实划算!
2025-10-24 09:16:06
李新民执业医师
所属医院:长沙雅家馨口腔门诊部
诊疗项目:烤瓷牙、颌面外科、全瓷牙、洗牙、拔牙
2025-10-05 09:47:11
苏怡文主治医师
所属医院:北京京都惠美口腔诊所
诊疗项目:种植牙、牙齿矫正、龋齿、牙套、地包天
2025-10-07 08:44:08
郭志歌执业医师
所属医院:洛阳维乐口腔(长申店)
诊疗项目:牙齿美白、活动义齿、烤瓷牙、颌面外科、龋齿
2025-10-19 08:08:03
徐嫱青少年及成人错颌畸形的矫治、咬合创伤的预防与判断、隐裂牙的保留、残冠残根
所属医院:广州诚飞港大口腔门诊部
诊疗项目:牙齿美白、烤瓷牙、洗牙、根管治疗、地包天
2025-10-19 09:12:05
吴珊珊执业医师
所属医院:上海科瓦口腔门诊部
诊疗项目:种植牙、儿童齿科、洗牙、根管治疗、地包天
2025-10-24 09:47:11
评价(已有0人点评)